
文章图片

文章图片

文章图片

医院 , 病床上躺着一个年轻的姑娘 , 据了解 , 这位姑娘姓张 , 今年21岁 , 本应在青春年华努力学习的她 , 如今却饱受病痛的折磨 。
三年前 , 小张通过努力学习考上了心仪的大学 , 在她踏进校园的时候 , 小张期待着美好的大学生活 , 对未来充满了希望 。
【老寒腿|21岁少女疑似怀孕,却查出肝癌,医生:“2水”再不戒,肝或“烂如渣”】开始大学生活后 , 小张终于过上了无人约束的生活 , 想什么时候起床就什么时候起床 , 自己的时间也比较自由 , 下课后还可以和室友一起出去玩 。
但在一段时间后 , 小张感觉到身体不舒服 , 经常会出现疲劳乏力 , 精神状态也不好 , 她想着可能是这两天玩得太疯 , 但马上该放假了 , 回家休息几天估计也就没事了 。
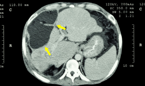
假期回到家后 , 妈妈发现小张一直在呕吐 , 肚子也一天天变大 , 这可把父母吓坏了 , 害怕自己的女儿未婚先孕 , 就赶紧带着女儿到医院检查 , 经过多项检查后 , 发现小张并没有怀孕 , 但却查出了肝癌 , 且肿瘤已经从肝内转移 , 遍布整个腹腔 。
这个消息让一家人愣住了 , 母亲坐在地上久久不能回神 , 小张年纪轻轻的 , 怎么会得了肝癌呢?医生了解她的生活情况后 , 发现与她平时经常喝的“水”有关 。
花季少女疑似怀孕 , 竟查出肝癌 , 医生:常喝“2水”或会导致肝脏报废
一、酒精
原来 , 小张经常会和朋友出去出去聚餐吃饭 , 餐后一定少不了酒局 , 但医生表示:长期摄入酒精 , 会增加对肝脏的伤害 。
世卫组织表明 , 酒对人体的危害非常大 , 尤其是肝脏 。 这是因为90%的酒在进入身体后 , 需经由肝脏代谢 , 而其中乙醇的代谢产物——乙醛 , 具有强烈致癌性 。 这种物质若是长期存于体内 , 不仅会影响肝功能的运转 , 还会造成肝部出现病变 , 肝细胞持续坏死 , 进一步增加患肝癌的几率 。
二、奶茶
现如今 , 奶茶深受年轻人的喜爱 , 小张也不例外 , 而且自从上了大学后 , 喝奶茶也更为方便了 , 每次从奶茶店路过都会买上一杯 。
但临床试验证明 , 奶茶中含有奶精以及大量的糖、添加剂等 , 如人工色素、糖浆 , 这些物质对人体百害无一利 。 如果长时间大量摄入 , 会增加肝脏的解毒、代谢负担 , 使得毒素在肝脏内长期累积 , 这就容易诱发肝脏病变 。
生活中坚持“2习惯” , 或许对肝脏健康有着不错的保护效果
一、补充养肝营养素
二、定期体检
定时的进行体检 , 可以清楚的了解身体各处的状况 , 以便于及早的发现问题 , 及早解决问题 , 对身体的健康有着很大的好处 。
参考资料:
《慢性酒精中毒与肝癌的发病关系》
- 哪些原因导致了腿抽筋现象发生?这5个原因,别不当回事儿
- 抑郁症|都21世纪了,还有人觉得老烂腿保不住,要“锯腿”?
- |胆结石怎么治疗才能更快排石?这个案例告诉你,不看拍大腿
- 不穿秋裤,会得“老寒腿”吗?真相是......
- 马来西亚健身达人兼模特,高颜值大长腿吸睛,秘诀是健身
- 抖腿的人心里都有一台缝纫机?抖腿之力势不可挡,揭秘抖腿的缘由
- 她体重虽130斤,却凭一双腿受众人追捧,肥胖有什么魅力?
- 天气变凉,警惕“老寒腿”来敲门!这些知识你需要知道!
- 腿抽筋时,这样做,或能帮你快速缓解不适感,建议看看
- 天冷了 当心“老寒腿”来敲门
