生活|从尿不出到肾损伤,被尿憋也是很危险的一件事!
“差点被尿憋坏了!”这绝对不是夸张 , 而是真实的发生在广东清远的冯姐身上 , 因排尿困难折磨了三年之久 , 导致双肾受损 , 休克晕厥 , 近日 , 广州医科大学附属第一医院泌尿外科团队为冯姐开展了骶神经调控二期电极置入手术 , “对于神经源性膀胱患者 , 如果不及时治疗 , 甚至有可能发展为尿毒症 。 ”医生提醒 , “排尿困难需重视 , 切勿拖延成大患!”
【生活|从尿不出到肾损伤,被尿憋也是很危险的一件事!】排不出尿 , 每天插尿管五六次
3年前 , 家住清远的冯姐开始出现频频跑厕所 , 总是感觉很尿急 , 但每次能排出来的尿液却不多 , 不足20ml , 而且尿液还是一滴一滴的出 , 有时实在被尿憋急了 , 她就跑到附近医院去进行“导尿” 。
去年年初 , 冯姐腰痛的症状越来越明显 , 她到当地医院检查发现 , 双肾有大量积液 , 尽管通过置入输尿管内支架管的方法 , 症状有所缓解 , 但她没有充分重视排尿困难这个问题 , 没有进一步明确其发生的原因 。 “总感觉这个问题很隐私 , 不太好意思讲 。 ”冯姐因为“排尿难”的问题 , 尽量少喝水 , 但每天仍需间歇性导尿 , 每天要插五六次尿管 , 生活质量受到严重影响 , 有时因为操作不当还会出现感染 。
直到今年6月25日 , 冯姐因为腰痛伴发热 , 一直排不出尿来 , 甚至出现休克晕厥 , 她到医院后诊断为尿源性浓度血症、脓毒性休克 , 生命安全受到威胁 , 经一系列的治疗 , 病情暂时得到控制 , 当地医院建议她尽快到上级医院接受更详细的诊断和治疗 。 经多方打听 , 冯姐来到广州医科大学附属第一医院泌尿外科 。
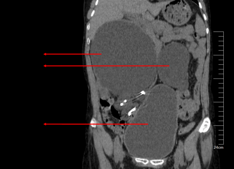
双肾重度积水 , 出现“水滴型”大膀胱
接诊的泌尿外科主任古迪仔细询问了冯姐既往的患病史、具体症状、相关的治疗情况 , 经尿路CT检查显示 , 患者双肾重度积水 , 膀胱明显增大像“水滴型” , 明确诊断为这是由于膀胱肌肉受到破坏 , 逼尿肌无力收缩引起的病症 。
古迪主任说 , 由于尿不能从下面排出去 , 肾脏产生的尿液就被憋在体内 , 才导致了肾脏严重积液、膀胱明显增大 , 因而肾脏功能受到损害 , 导致发生尿毒症、休克等严重并发症 , “她的膀胱肌肉不断受到损害 , 尿液更难排出去 , 形成恶性循环 。 ”
泌尿外科团队针对这个患者的病情进行了全科病例讨论 , 刘永达主任表示 , 以前像冯姐这样的患者 , 如果在对症支持治疗和药物治疗无效的情况下 , 只能通过间歇性导尿或者做膀胱造瘘才能解决排尿的问题 , 但是这两种方法都会给患者的生活造成极大的困扰 。
“我们建议通过骶神经调控术 , 将特定电刺激施加于特定骶神经来抑制和兴奋神经通路调节异常骶神经反射弧 , 进而影响并调节膀胱、尿道或肛门括约肌以及盆底骶神经支配的靶器官功能 , 从而起到治疗效果 。 ”据刘永达主任介绍 , 这种技术具有可逆、可调节、微创及耗时短等优点 , 可以有效改善患者的生活质量 , 对于功能泌尿外科的疾病起到了很好的治疗效果 。
文章图片
骶神经调控术
骶神经调控术治疗分为两个阶段 。 第一阶段:先植入骶神经调控电极 , 术后进行体外测试体验 , 如果疗效理想就可以进行第二阶段的治疗:植入骶神经永久刺激器 。
文章图片
两期治疗效果好 , 排尿不再是“难题”
征得患者同意后 , 泌尿外科团队为她制定了详细的治疗方案 。 在第一阶段手术治疗后 , 冯姐的排尿情况明显好转 , 自主排尿时一次排尿的尿量从10ml左右增加至150ml至300ml , 从手术前每天跑厕所近百次 , 逐渐恢复到每两三个小时排一次小便 , 而且排尿时也不再是艰难“滴答滴答” , 恢复了久违的顺畅 。
- 患上糖尿病|隔代也会遗传糖尿病?关于糖尿病的5个冷知识,你了解多少?
- 治疗|糖尿病服药后,出现的低血糖比较严重怎么办?
- 进行|尿毒症多半是“吃”出来的?3种食物尽量少碰,肾或许“感谢”你
- 健康生活 薯条一个月最多吃两次
- 生活|提醒:肝病多数是“拖”出来的,出现6种表现,最好查一下肝功
- 饮食|正糖名家提醒,糖尿病这些误区不可不知!
- 一喝水,尿就多,是代表肾脏好还是不好?听听医生的分析
- 肾功能|与尿蛋白升高有关的5个信号是尿毒症的前兆,肾友要当心
- 糖尿病的小零食,预防血糖多吃开心果
- 光吃菜不吃饭是不是真的得糖尿病机率大增
