面神经|面瘫知多少?
来源丨西安市中医医院
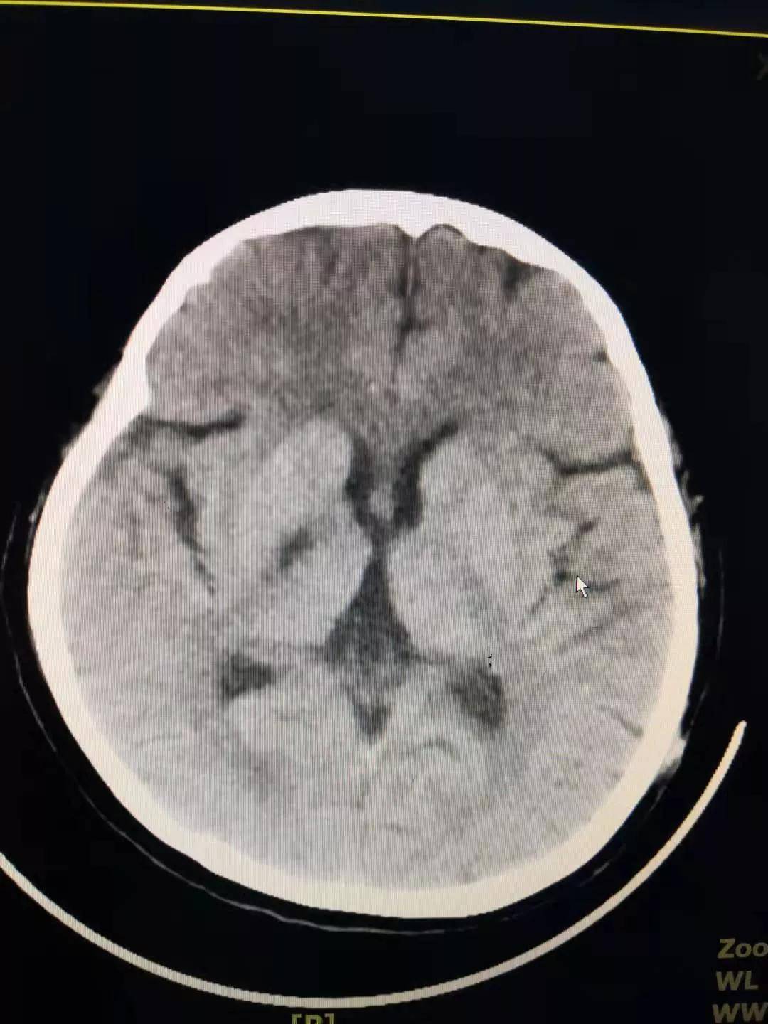
近日 , 60岁的徐女士经人介绍 , 在儿子的陪同下 , 来到西安市中医医院针灸推拿康复科安军明主任医师门诊就诊 。 据徐女士讲 , 自己两天前出现口角歪斜 , 说话不清 , 经多方打听 , 得知西安市中医医院针灸推拿康复科擅长针灸治疗面瘫 , 遂前来求治 。 安军明主任医师仔细询问徐女士病史 , 得知她有5年的糖尿病史和高脂血症病史 , 但否认患有高血压 。 在安军明主任医师耐心追问下 , 徐女士诉自己今晨起床时 , 曾有一过性眩晕、走路向一边倾斜的情况 , 目前现已无大碍 。 安军明主任医师经过望、闻、问、切四诊合参 , 结合患者即刻血压157/85mmHg , 初步诊断为:1.脑梗死 , 2.Ⅱ型糖尿病 , 3.高脂血症 , 4.高血压 。 在安军明主任劝说下 , 徐女士在儿子的陪同下做了头部CT检查 , 很快结果回示 , 正如安军明主任医师诊断的那样 , 徐女士的口角歪斜系基底节区脑梗死所致 , 随即安排其住院治疗 。
文章图片
安军明主任医师说 , 作为临床医生,面对面瘫患者时 , 首先要鉴别是中枢性面瘫还是周围性面瘫 , 再根据具体的病因及其临床表现 , 采取相应的治疗措施 , 帮助患者恢复健康 。 面瘫临床分型主要分为两种:一种为中枢性面瘫 , 另一种为周围性面瘫 。
中枢性面瘫主要因大脑皮质、内囊、脑桥等部位受损 , 患者出现病灶对侧颜面下部肌肉麻痹 。 主要表现为鼻唇沟变浅 , 露齿时口角下垂 , 不能吹口哨和鼓腮等 , 多见于脑血管病变、脑炎等 。 但患者的眼裂及额纹不受影响,这也是与周围性面瘫的主要区别 。 除面瘫外,中枢性面瘫还有其它表现 , 如肢体麻木、活动障碍、饮水呛咳,失语等 。
文章图片
【面神经|面瘫知多少?】周围性面瘫为面神经核或面神经受损引起 , 出现病灶同侧全部面肌瘫痪 , 表现为额纹消失、不能皱额、皱眉、眼裂闭合不全 , 患者表现的鼻唇沟变浅、不能露齿症状和中枢性面瘫是相同的 。 周围性面瘫多由于受寒、病毒感染等引起 。
文章图片
所以 , 面瘫本身只是症状 , 临床需根据病因治疗 。 如脑血管疾病所致面瘫 , 需治疗脑血管疾病本身 。 脑炎患者所致面瘫,首先控制脑炎进展,减轻炎性反应,并辅以对症治疗面瘫 。
- 卫生室|《乡村医生诊疗口袋书(先行本)》面世
- 两地|河南新安县两地调整为低风险地区,县域内全面解封
- 治疗|治疗运动神经元的方法有哪些呢?
- 运动神经元患者案例分享
- 人员|我国面临德尔塔奥密克戎双重挑战
- 方面|“四九”第一天,科学养生,健康过冬
- 想要吸收全面营养,吃多种蔬菜
- 进入腊月了|腊月发面蒸馒头的方法,30分钟就能发好面,香甜可口
- 神经元|吃得不对会“变笨”!饮食做到这几点,大脑更年轻!
- 慢性支气管炎|上海凯宝:目前暂无关于幽门螺旋杆菌方面的治疗产品
