|呼吸科主任:开水中扔一把,没事天天坚持喝,冲走结节,肺感激你

文章图片

文章图片

文章图片

体检发现肺结节 , 别担心 , 结节不等于肺癌 , 其实肺结节它是用来描述病变的名称 , 肺结节可以分为良性和恶性两种 , 直径小于三公分的病变称为肺结节 。
在5毫米以下的结节几乎都是良性的 , 国内外专家一致认为 , 无论是磨玻璃结节还是实性结节 , 肺内五毫米以下的微小结节都是良性的 , 我们只需要定期随访观察 。
病例:
王大爷66岁 , 腰疼半年 , 以前是吃点止痛药 , 歇一歇 , 这几天疼得特别厉害 , 甚至影响晚上的睡眠 。
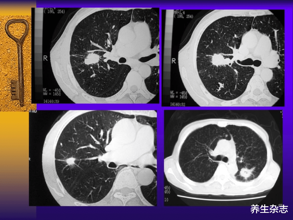
经过腰椎和肺部的检查 , 发现肺癌 , 胸腰椎多发骨转移 。 检查肺部的 CT片 , 这是一个实性结节 , 2.8厘米 , 贴近肺叶间的叶间胸膜 。 在接近胸膜或较粗的肺血管(中轴间质)时 , 实性结节若为恶性 , 则有早期转移的危险 。
这种情况就是王大爷 , 癌细胞沿胸膜脉管扩散 , 至胸椎、腰椎内发生转移 , 从图片可以明显看到 , 脊椎骨被癌细胞咬出很好孔洞 。
医生提醒大家:结节是否会恶化 , 主要从这三个方法来辨别
1、看结节的大小
做肺部检查时 , 如果发现自己肺部有结节 , 最好的办法是再次做进一步的检查 , 医生会根据结节的大小 , 对结节的大小进行系统的检查 , 医生会对结节的大小做一个比较系统的检查 , 医生认为结节小于30毫米是正常的现象 , 医生也会根据检查结果判断到底是良性还是恶性 。
2、看结节的形状
【|呼吸科主任:开水中扔一把,没事天天坚持喝,冲走结节,肺感激你】恶性结节的形状是不规则的 , 并且边缘模糊 , 毛刺比较长 , 与旁边组织有牵连 , 那么就需要引起重视 。
3、结节形成因素
假如你的肺里长出了一个结节 , 是因为长期吸入一些灰尘或一些有害气体 , 那么这些结节就很有可能变坏了 。 为避免肺部长出结节 , 如果周围的环境被严重污染 , 日常生活中要多吃一些清肺、减肥的食物 , 以此来排除肺部的毒素和垃圾 , 从而减轻肺部的负担 , 是比较健康的 。
但其实肺结节变成癌症的概率它并没有你想象的那么高 , 据临床统计 , 十个肺结节的患者当中只有一个可能是肺癌 , 所以请大家还是理性的去看待肺结节 , 不要查出肺结节就把它和肺癌画上等号 。 但体检发现肺结节后 , 一定要重视肺部的养护 。
呼吸科主任:开水中扔一把 , 没事天天坚持喝 , 冲走结节 , 肺感激你
对于未达到手术治标的肺结节而言 , 可以采用中药食疗的方式 , 调补肺脾肾 , 扶正以抑瘤 , 主要从化痰、祛瘀、行气、散结等方法来治疗 。 把体质调整好 , 结节往往可以稳定 , 有些甚至可缩小或消失 。
最后肺结节患者还应该注意2件事
1、重视体检:要注重平时健康检查 , 每3个月或者遵医嘱进行1次复查 , 如有不适要到医院检查 。
2、保持良好心态:病人还要加强治疗的信心和耐心 , 大部分肺结节可以通过治疗或自然缓解 , 但其康复过程往往需要多年 , 因此一定要有足够的耐心和信心 。
- 鲁南制药集团|菏泽医学专科学校“鲁南制药产业学院”揭牌
- 收发|一图读懂 | 科学收取快递 做好健康防护
- 脏腑|重庆肿瘤专科医院:中医帮你调和气血,平衡阴阳
- 心脑血管|大荔中医医院脾胃肺病科“妙手回春”受到患者的称赞
- 相关|【中国实用外科杂志】肥胖代谢病合并甲状腺癌外科治疗中国专家共识(2021版)
- 救治|丨绿色通道丨多学科通力合作抢救无保护左主干前壁心梗患者
- 成都|健康科普|被列为明确致癌物!一半胃癌与它有关…
- 常崇旺|【视频回放】脑瘫患者常用外科术式及适应症
- 疾病|永州中心医院消化科成功开展内镜下内痔套扎术
- 中藏医院|四川省骨科医院与松潘县中藏医院专科联盟
