折翼天使们|2岁就查出肿瘤!这些让人心疼的折翼天使们,后来怎么样了?( 二 )
文章插图

文章插图
影像显示
经过新辅助化疗,复查CT等影像学检查提示肿瘤直径约为9厘米,较前缩小,手术切除可能性较前提高。泌尿外科刘卓炜教授、肝胆外科韦玮主任医师和手术麻醉科多学科会诊讨论,最后决定采用根治性手术的最佳方案,专家团队与患者及家属充分沟通,得到了他们的理解和支持。
5月17日,泌尿外科刘卓炜教授主刀,肝脏外科韦玮主任医师和泌尿外科李向东医生担任助手,共同为小睿进行手术。如同术前评估,术中见右肾大小约10*10cm的肿瘤且肿瘤内侧部分与下腔静脉粘连紧密。刘卓炜副院长和韦玮主任医师首先仔细松解肝肾韧带,钝性结合锐性分离肝肾间粘连,将肝脏推向左侧避免损伤。完整暴露肿瘤后,逐渐发现肿瘤与下腔静脉粘连过于紧密,分离肿瘤的过程不得已使下腔静脉产生了0.5cm裂口,刘卓炜教授沉着冷静,快速应对,仔细修补血管,避免了大出血。

文章插图
中肿外科团队一丝不苟进行手术
【 折翼天使们|2岁就查出肿瘤!这些让人心疼的折翼天使们,后来怎么样了?】历经3个小时的手术,小睿的肿瘤与肝脏、下腔静脉分离开,既完整切除肿瘤,清扫了淋巴结,同时保护了正常的肝脏。目前患者术后恢复良好,患者家人终于露出了久违的笑容。
这位“大头” 宝宝 ,舍不得给他精准拆弹的王伯伯来自广西的小烨(化名)一周来出现精神萎靡,变得没有以前活泼,随后逐渐出现走路不稳、头痛和呕吐等症状,遂被家人送到医院就诊。然而,经过在当地医院儿科检查,发现小烨脑内竟长了一个巨大的肿物,且怀疑是恶性脑瘤。一周以来付先生夫妻带着小烨辗转广西、广东多家医院,最终选择将中肿作为最后的希望。

文章插图
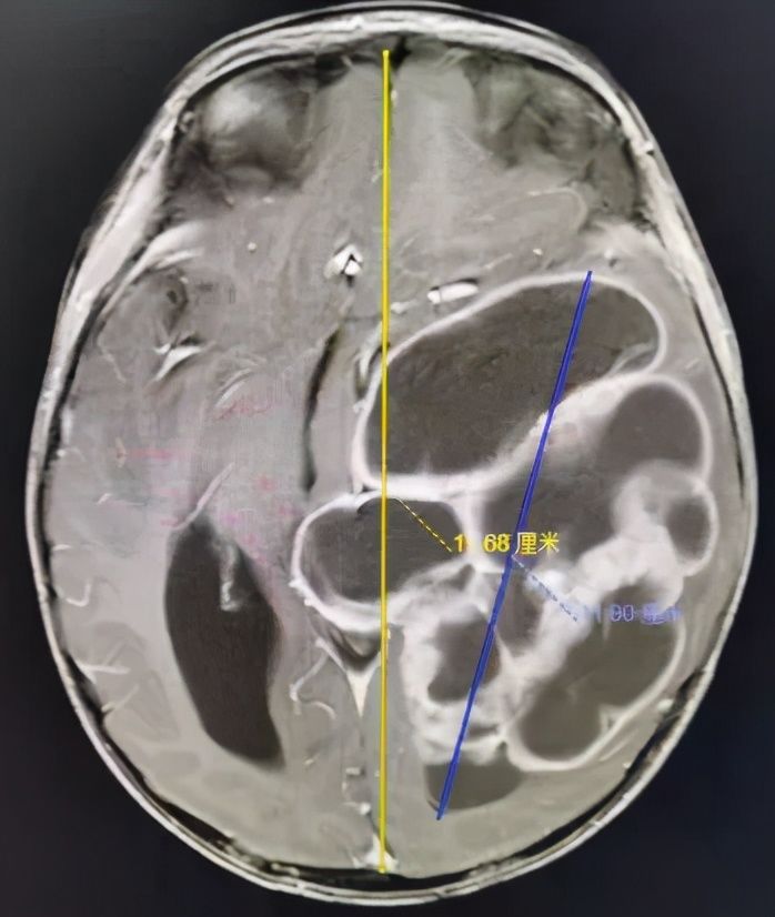
术前的小烨:小脑袋都被肿瘤撑大了(头围大于同龄2cm)
五一假期刚结束,付先生夫妻怀抱2岁儿子小烨,怀着最后一丝希望匆忙赶到中肿找到王翦主任医师。通过仔细检查,王翦主任医师初步判定小烨颅内巨大肿物位于左侧颞顶枕叶,性质考虑恶性室管膜瘤可能性大。肿物巨大,直径达11cm,除了破坏左侧颞顶枕叶脑组织,累及脑室系统并将呼吸和心跳中枢脑干往右侧推移2cm,颅高压明显,随时都可能有生命危险。
脑和心脏一样都是单器官,不同部位的脑有不同的功能,精准调控着人类大部分的身心活动。2岁的小烨头颅最长径15cm,而脑内的肿瘤侵犯了左侧颞顶枕叶等,直径达恐怖的11cm,几乎波及整个左侧大脑!手术是最关键的救命手段,但脑内肿瘤异常巨大,备受病痛折磨的小烨体重仅有11公斤,机体代偿功能非常不完善,手术面临出血性休克、失语和肢体肌力下降等巨大风险。但看着付先生夫妻渴望而无助的眼神,王翦主任医师又一次下决心收治了这一辗转两广多家医院的疑难病例。

文章插图

文章插图

文章插图
术前MR:头的最大直径15cm,而肿瘤直径达到了惊人的11cm
入院后,经过中肿神经外科、神经外科和儿童肿瘤科MDT联合讨论,中肿医生团队制定了尽可能完全切除肿瘤并保护好言语、肢体力量等功能的详细手术方案和后续综合治疗方案。
5月14日,王翦主任医师带领的外科团队、赖洁兰主治医师为主的麻醉团队、周怡主管护师为主的护理团队组成的10人手术团队,为小烨进行了长达7个小时的左侧颞顶枕叶巨大肿瘤显微切除术,成功通过精心设计的4cm皮层切口全切除了小烨脑内11cm大的肿瘤,术中出血100ml,整个过程小烨生命体征稳定!
- 潜伏在我们身边的这3种“致癌”蔬菜,看完你还敢继续吃吗?
- 人们身体缺乏营养脸上一点气色都没有,多吃家常菜,补血养肝
- 【天使小课堂】构音障碍训练方法和构音器官运动练习
- 预防|青少年如何预防白发?
- 核酸|龙华医院解除闭环管理加开周日门诊,“因为你们,相信我们的城市能始终跑在病毒前”
- 疫情|“接流调员电话”上热搜,他们不会问这7件事
- 居民|守护人间烟火 防疫一线,他们“为爱而战”
- 盘点:罗汉果的副作用
- 湖南人们在全国人们的心目中|湖南人的最爱!霉豆腐配糍粑,好吃到连舌头都要吞下去!
- 夏季吃虾子 虾的好处是什么
