患者|高龄患者得肝癌就要放弃治疗?介入医生说“NO”!
文章转载自:深圳二院介入科
专家简介:杜端明 , 男 , 深圳市第二人民医院 (深圳大学第一附属医院)介入治疗科科主任 , 主任医师, 教授 , 硕士研究生导师 , 北京大学医学博士 。 从事介入治疗临床工作20余年 , 成功完成介入手术数千例 , 取得良好效果 , 部分患者长期存活至今 。 率先在深圳市开展了颌面部血管瘤的无水酒精注射硬化治疗、糖尿病足的介入治疗、腹腔内囊性病变的微创造瘘治疗等多项介入治疗新技术 。 尤其擅长原发性肝癌、肺癌、宫颈癌的综合治疗 , 肝脏及肺部恶性肿瘤的动脉化疗栓塞术及热消融术 , 各种实体肿瘤氩氦刀冷冻消融治疗 , 恶性梗阻性黄疸的经皮肝穿刺胆道引流术 , 下肢动脉硬化闭塞症的血管成形术等各种肿瘤和血管性疾病的介入微创治疗 。
【患者|高龄患者得肝癌就要放弃治疗?介入医生说“NO”!】患者刘老伯89岁 , 近期总感觉右上腹隐隐作痛 , 食欲不好 , 肚子胀胀的 , 起初以为是体虚、肠胃不好 , 没太在意 。 不久前社区体检时发现肝占位病变 , 紧急来到深圳市第二人民医院肝胆外科就诊 。
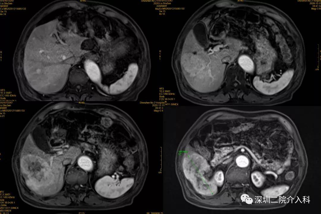
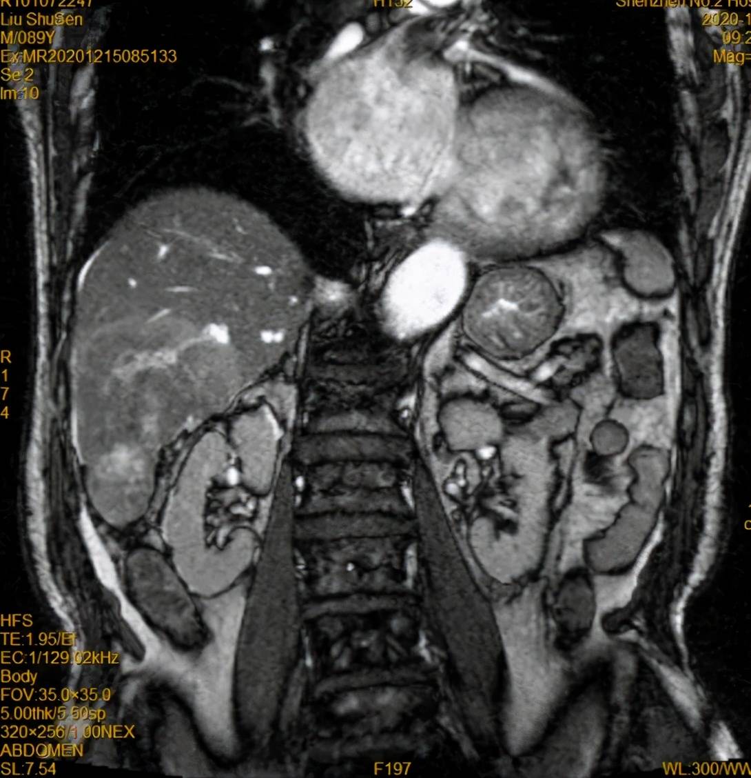
经过详细检查 , 患者甲胎蛋白升高 , 腹部MR增强示肝脏肿物 , 铅球样大小 。 诊断为原发性肝癌(BCLC B期) , 伴肝硬化 。
由于老人年龄大 , 既往“高血压”病史8年 , 心功能不全 , 外科手术切除肿瘤风险较大 。 患者经考虑后拒绝手术 , 邀请介入科会诊后同意进行微创介入治疗——载药微球栓塞(DEB-TACE) , 堵塞肿瘤血管 , “饿死”肿瘤细胞 。
经过详细的术前准备 , 介入科杜端明主任亲自手术 , 在团队成员密切配合下 , 历时1个多小时 , 手术顺利结束 。
文章图片
2020-12-15 术前MR增强
文章图片
2020-12-15 术前MR冠状位
治疗经过:2020-12-18 行TACE术
腹腔干造影
文章图片
文章图片
文章图片
肝固有动脉造影
可见肝右叶明确肿瘤染色
文章图片
文章图片
文章图片
超选至肝右动脉分支1造影+栓塞
栓塞材料:表柔比星60mg+载药
微球;明胶海绵
文章图片
超选至肝右动脉分支2造影+栓塞
栓塞材料:表柔比星60mg+载药
微球、碘油;明胶海绵
文章图片
复查造影:原肿瘤染色不复显影
文章图片
治疗后第2天 , 89岁的刘老伯就可以下床活动 。 术后3个月复查肿瘤标志物AFP明显下降 , 目前已正常 。 仅行介入治疗1次即达到CR(完全缓解 ) 。
文章图片
- 脂肪肝患者|脂肪肝能不药而愈?关于脂肪肝,这4个错误认知要避免
- 心脑血管|大荔中医医院脾胃肺病科“妙手回春”受到患者的称赞
- 救治|丨绿色通道丨多学科通力合作抢救无保护左主干前壁心梗患者
- 护发|吃“猕猴桃”好处多多,但有3类人不能多吃,现在知道还来得及!
- 丝瓜|常吃丝瓜对身体好,但丝瓜不能与一物同吃,爱吃的人得忌口了!
- 常崇旺|【视频回放】脑瘫患者常用外科术式及适应症
- 长寿|拥有这5个特征,说明你可能是“长寿体质”,值得恭喜
- 脚尖|养脾胃就是养命!学古人用最简单的方法来养护,值得收藏
- 运动神经元患者案例分享
- 人工心脏|山东首例人工心脏植入患者出院,需每天充电
