支气管|成排假牙掉进气道,肿瘤堵塞支气管……支气管镜开路悉数疏浚
七旬老伯整排假牙掉进支气管内、宫颈癌患者肿瘤压迫右主支气管“命悬一线”……在中山大学孙逸仙纪念医院支气管镜室 , 林小玲副主任医师通过支气管镜介入术 , 成功地解决了多起类似的呼吸道疏浚难题 。
整排假牙掉进支气管 ,
医生巧手化解罕见“难题”
近日 , 七旬患者邝伯从中山大学孙逸仙纪念医院康复出院 。 早前 , 邝伯因为卧床休息时不慎吞入从口腔掉落的一排假牙 , 出现了明显的气促症状 。 在附近医院就诊时 , 邝伯通过接受CT检查发现其假牙掉落在了左侧支气管内 , 诊断为支气管异物 , 并转到中山大学孙逸仙纪念医院呼吸与危重症医学科病房 。
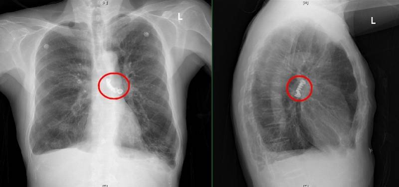
文章图片
邝伯的胸片显示假牙掉落在支气管内
【支气管|成排假牙掉进气道,肿瘤堵塞支气管……支气管镜开路悉数疏浚】林小玲副主任医师为邝伯进行了支气管镜介入手术 , 经过支气管镜检查 , 确认邝伯的假牙位于左主支气管内 , 堵塞了左侧支气管 。 由于假牙较大且表面光滑坚硬 , 钳子难以将其夹出 。 支气管镜介入经验丰富的林小玲副主任医师马上想到可以借用胃镜中套扎息肉用的圈套器进行异物套取 , 最终巧妙地将假牙取出 , 整个过程仅用几分钟就完成 。
取出假牙后 , 邝伯的呼吸困难症状得到了明显的缓解 , 恢复良好 , 顺利出院 。
文章图片
团队配合完成支气管镜介入术
助力林小玲副主任医师为邝伯“快速”解决问题的支气管镜检查及介入术在中山大学孙逸仙纪念医院呼吸与危重症医学科每天都在进行 。 林小玲副主任医师透露 , 邝伯所接受的是常规支气管镜介入手术 , 病人不需要进行全身麻醉 , 操作时间短 , 恢复快 , 风险低 , 效果好 。 而在各种支气管镜介入手术中 , 在硬质支气管镜下对肿瘤进行消融及植入支架手术难度更大 , 对医生手术能力要求更高 。
文章图片
支气管镜介入术后取出来的假牙
肿瘤堵塞气管 ,
高难度支气管镜介入挽救危急患者
日前 , 这样一例“惊心动魄”的支气管镜介入术在中山大学孙逸仙纪念医院呼吸与危重症医学科支气管镜室开展 。
一个多月前 , 林小玲副主任医师接到一位特殊的患者 。 这位原就诊于该院妇科的44岁女性阿云(化名)两年多前患上了宫颈癌 , 并于近日不幸复发且出现了肺部转移 , 且在近一个月来病情恶化程度极快 。 考虑到患者明显的气促和呼吸困难症状 , 在胸部CT检查提示气管下段重度狭窄、右主支气管被肿瘤堵塞导致右肺几乎完全不张的情况下 , 患者被转入呼吸与危重症医学科进行治疗 。
文章图片
阿云术前CT显示其气管下段重度狭窄、右主支气管被肿瘤堵塞导致右肺几乎完全不张(红圈处为气管仅剩的狭窄通路)
对阿云的病情进行了详细了解后 , 林小玲副主任医师立刻对她进行了严密的术前评估 , 经过慎重考虑 , 团队决定为患者实施硬质支气管镜下气道肿瘤消融和支架植入术 。
术前 , 林小玲副主任医师和患者家属进行了详细的谈话沟通病情 , 并得到了家属的信任和支持 。 医院也为患者提供绿色通道 , 设备科立即联系厂家送来合适的支架和推送装置 , 麻醉科也派来经验丰富的医生到支气管镜室协助手术的麻醉工作 。 呼吸科支气管镜室全员出动 , 准备好所有设备和器械 , 在合理的手术方案、配合默契的团队、完善的设备和器械 , 多重保证下 , 手术如期进行 。
- 慢性支气管炎|上海凯宝:目前暂无关于幽门螺旋杆菌方面的治疗产品
- 慢性支气管炎|喉咙里总是有痰,痰多“咳不完”?提醒:不一定都是肺的“问题”
- 呼吸病中心|东直门医院呼吸病中心运用支气管镜技术成功救治一例异物坠积患者
- 灵芝的功效与作用 治疗慢性支气管炎
- 武汉市肺科医院|吸烟饮酒三四十年为肿瘤“铺就温床”,手指粗的肉瘤突然疯长进男子支气管
- 支气管|合肥京东方医院:支气管镜下介入治疗改变以往取肿瘤需“开膛破肚”的境况
- 患者Z先生(化名)|东直门医院呼吸病中心运用支气管镜技术成功救治一例异物坠积患者
- 老人|七旬老人咳嗽一个月不见好,竟是假牙掉到支气管里了
- 支气管炎的饮食治疗方法
- 支气管哮喘的中医食疗最有效的食疗方法
