支气管|成排假牙掉进气道,肿瘤堵塞支气管……支气管镜开路悉数疏浚( 二 )
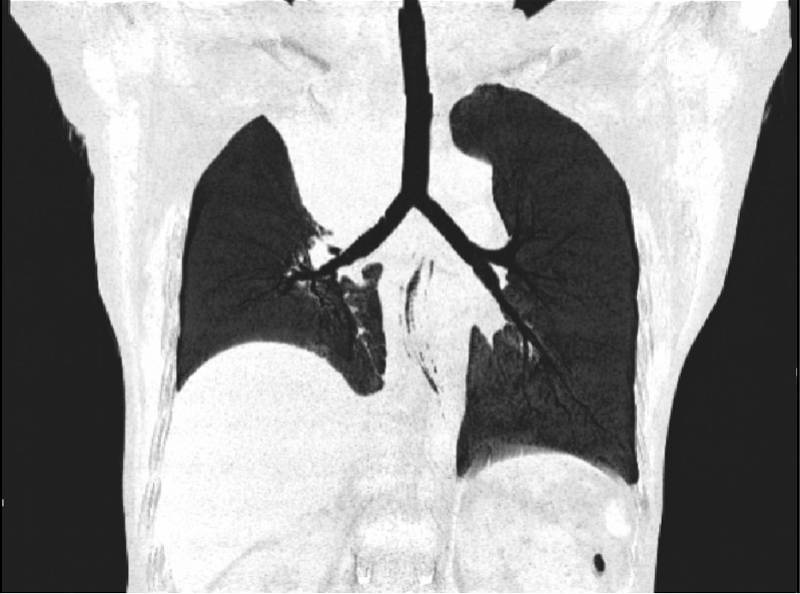
手术当天 , 林小玲副主任医师硬质支气管镜结合可弯曲支气管镜观察到阿云的肿瘤组织已经严重侵犯气管下段 , 隆突和右主支气管消失 , 左主支气管开口的黏膜也已经受到影响 , 情况比CT所见更加严重和棘手 。 林小玲副主任医师使用硬镜铲切部分气管内肿瘤后 , 再通过各种工具和器械小心翼翼地清除右主支气管腔内的肿瘤组织 , 最终重新暴露隆突和右主支气管开口 , 并打通右中间干支气管到达右中下叶支气管开口 , 在气管内置入一个Y型硅酮支架 , 在右主支气管—右中间干支气管置入一个金属半覆膜支架 , 成功重建气道 , 一方面保证了左肺通气 , 另一方面也恢复了右中叶和右下叶支气管的通气 。
手术顺利结束后 , 阿云转入ICU , 顺利拔管后转回妇科进行后续肿瘤治疗 , 目前病情稳定 。
文章图片
术后 , 阿云恢复了右肺右中叶和右下叶支气管的通气
支气管镜可实现多种呼吸道疏浚工作
专家提醒:咳嗽、气促勿大意
林小玲副主任医师透露 , 目前 , 在该院呼吸与危重症医学科 , 支气管镜室已开展各种内镜介入技术 , 包括支气管镜下困难异物取出 , 气管疤痕狭窄的球囊扩张和冷冻治疗 , 内镜下气道恶性肿瘤消融 , 硬质支气管镜下硅酮支架或金属支架植入术 , 内科胸腔镜等 , 这些治疗技术可让无法手术的患者有机会进行内镜下治疗从而改善病情 , 还可以让患者避免可能面临更大损伤的开胸手术 , 得到最好的治疗 。
另外 , 专家也特别提醒 , 如果出现咳嗽、气促等不适 , 需要尽快到医院就诊 , 在医师指导下选择适当的检查和正确的治疗方法 , 必要时进行支气管镜检查和介入治疗 , 守护呼吸健康 。
采写:南都采访人员 王道斌 实习生 叶影
通讯员 黄睿 张阳
- 慢性支气管炎|上海凯宝:目前暂无关于幽门螺旋杆菌方面的治疗产品
- 慢性支气管炎|喉咙里总是有痰,痰多“咳不完”?提醒:不一定都是肺的“问题”
- 呼吸病中心|东直门医院呼吸病中心运用支气管镜技术成功救治一例异物坠积患者
- 灵芝的功效与作用 治疗慢性支气管炎
- 武汉市肺科医院|吸烟饮酒三四十年为肿瘤“铺就温床”,手指粗的肉瘤突然疯长进男子支气管
- 支气管|合肥京东方医院:支气管镜下介入治疗改变以往取肿瘤需“开膛破肚”的境况
- 患者Z先生(化名)|东直门医院呼吸病中心运用支气管镜技术成功救治一例异物坠积患者
- 老人|七旬老人咳嗽一个月不见好,竟是假牙掉到支气管里了
- 支气管炎的饮食治疗方法
- 支气管哮喘的中医食疗最有效的食疗方法
