夹层|真性动脉瘤、假性动脉瘤、夹层动脉瘤特点及表现
真性动脉瘤:最为常见 , 由许多因素引起 , 包括动脉粥样硬化、马凡综合征、感染、炎症等 。 真正的主动脉瘤仍然具有全厚度的血管结构 , 即外膜、中膜和内膜,为动脉壁全层扩张膨大的动脉瘤 , 血管壁仍完整 。 按压膨大处有搏动感 。
文章图片
血流呈花色涡流 , 腔内低回声考虑为血栓形成 , 超声提示:真性动脉瘤伴血栓形成 。
文章图片
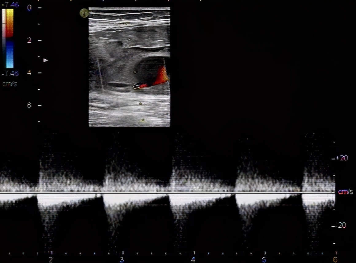
假性动脉瘤:通常发生在感染或血管损伤的患者中 , 由于血管腔破裂和血液流出 , 主动脉的三层结构不完整 , 主动脉破裂周围有组织 , 假性动脉瘤是比较危险的 , 它的瘤壁不是血管的结构 , 而是纤维素对血液的包裹 , 瘤腔内容物多为凝血块及机化物 , 但瘤腔仍与原动脉管腔相通 ,所以动脉瘤是比较脆弱的 , 很容易破裂导致大出血 , 使患者失血性休克 , 如果得不到及时有效的治疗 , 将会危及病人的生命。
文章图片
【夹层|真性动脉瘤、假性动脉瘤、夹层动脉瘤特点及表现】股动脉穿刺介入治疗后 , 股浅动脉管壁连续性中断 , 可见撕裂口有血流喷射 。 该病灶内探及动脉样频谱 , 超声提示:外伤后假性动脉瘤形成 。
文章图片
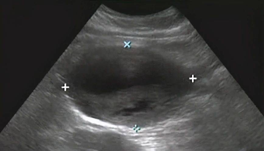
夹层动脉瘤:系指由各种原因造成的主动脉壁内膜破裂 , 血流进入主动脉壁内 , 导致血管壁分层 , 剥离的内膜片分隔形成“双腔主动脉” ,但Coady报道有8%~15%的病例并无内膜撕裂 , 这可能是由于主动脉壁中层出血所致 , 又称为壁间血肿(intramural hematoma) 。
文章图片
腹主动脉长轴切面 , 腔内局部可见膜样强回声 。 夹层动脉瘤内可见真腔和假腔 , 真假腔的鉴别要注意几点:
文章图片
1、不能单纯根据管腔的宽窄来判定真腔还是假腔 , 真腔可相对宽 , 也可窄 , 假腔亦如此 。
2、不能根据血流颜色判断真假腔 , 比如红色血流为真腔 , 蓝色血流为假腔是不对的 , 反之亦然
腹主动脉长轴切面 , 腔内可见膜样强回声 , 呈双腔征 。
文章图片
真腔血流通畅 , 血流速度较快 , 血流颜色较鲜艳明亮 , 血流方向收缩期呈正向血流;假腔因前方受阻而血流缓慢 , 血流颜色偏暗淡 , 收缩期正向血流减少或呈反向血流;真腔因流速较快不易形成血栓 , 假腔因流速缓慢而容易发现附壁血栓 。 主动脉夹层的自然经过十分凶险 , 如果未能及时诊断治疗 , 病死率极高 。
(健康体检中心 王晓燕 图片来源于网络)
- 血压|主动脉夹层可夺命?这五类人是高危人群,需高度重视
- 姚陈|腹主动脉瘤独爱中老年?四岁孩子也会中招
- 原标题:半年内完成介入手术治疗超100例!景谷县人民医院介入室再上新台阶主动脉夹层腔内支...|景谷县人民医院介入室再上新台阶
- 技术|神介骑士论坛第37期 精华回顾——复杂颅内动脉瘤的治疗策略
- 真性近视|家有近视娃的妈妈,这是你最不该错过的一篇文章
- 夹层|令人惋惜的“天才病”——马凡综合征
- 合并|哈尔滨市第一医院成功完成复杂腹主动脉瘤合并肠系膜动脉狭窄微创手术
- 安康|西安交大一附院开辟绿色通道十分钟救人 疫情期间已完成23台主动脉夹层手术
- 主动脉夹层主动脉是人身体中最粗的血管|胸痛不一定是冠心病,可能更要命!抓住这3个区别,关键时能救命
- 近日|神经内科医生提醒:上睑下垂莫轻视,警惕颅内动脉瘤
