年成|养瘤三年成“巨患”,广州医生妙手摘除12公斤中骨盆肿瘤
盆骨骨折是所有骨折中最为复杂的修复手术之一 , 更何况是骨盆处长出了一个12公斤重 , 巨大如西瓜般的肿瘤 。
来自广西的老周 , 因为一直误信偏方养“瘤”成患后 。 硕大的肿瘤体已经膨胀到直径超过30厘米 , 严重挤压腹腔脏器、血管 , 手术根治难度极高的地步 , 方才痛下决心接受手术治疗 。 而此时 , 大多数医生已经望而却步 , 只因手术风险巨大到有五成概率下不了手术台 。
中山大学附属第一医院骨肿瘤科沈靖南教授、邹昌业主任医师联合多学科团队直面挑战 , 不仅完整切除了超大瘤体 , 还对肿瘤毁损的盆骨进行了重建 , 确保了患者的运动功能 。
养瘤三年 , 低恶度肿瘤长成硕大的西瓜
老周今年53岁 , 3年前 , 他就无意间发现了髂部肿物 , 此时手术摘除这一低度恶性的肿瘤 , 谈不上多复杂 , 人也不会多遭罪 。 可老周听信民间偏方外敷内服草药治疗 , 其身上的肿物不仅没有缩小 , 而且增长速度更加明显 , 并严重影响生活质量 。
他辗转两广、北京的多家医院骨科就诊 , 但由于手术难度较大 , 一直未能得到及时治疗 。 由于拖延治疗 , 患者的身体一天天逐渐消瘦 , 肿瘤不断增大 , 犹如怀胎10月 , 加之肿瘤压迫腰骶部神经 , 右下肢疼痛麻木逐渐加剧 。
文章图片
患者外观照 , 肿胀不是因为肥胖 , 是因为肿瘤 。
兜兜转转 , 老周在家人陪同下找到了邹昌业 , 门诊阶段就洞察了患者及家属的内心顾虑 , 他耐心安慰患者及家属:“虽然您体内的肿瘤很大 , 但考虑为低度恶性软骨肉瘤 , 转移风险相对较低 , 手术彻底切除后 , 治愈的机会还是很高的 。 ”
他随即带着这一超复杂的病历资料在骨肿瘤科进行科内讨论 , 沈靖南教授仔细研究患者影像资料后 , 认为患者为骨盆软骨肉瘤 , 肿瘤侵占半个多腹腔 , 肝肾、肠道、主动脉、下腔静脉等均受压移位明显 , 手术风险虽大 , 但有胃肠外科、血管外科、泌尿外科、麻醉科、手术护理等多学科团队保驾护航 , 肿瘤彻底切除的机会较大 。
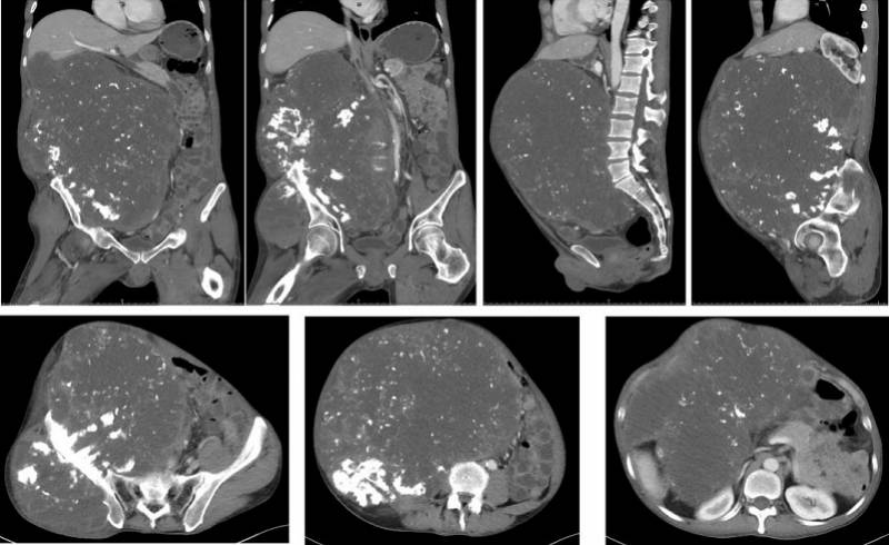
文章图片
CT检查提示 , 老周的肿瘤各个截面的直径都超过30厘米 。
短暂的等待之后 , 患者及家属收到了邹昌业的入院通知 。 沈靖南主任和邹昌业积极联合胃肠外科吴晖副教授、泌尿外科李晓飞主任医师、血管外科王冕副主任医师、麻醉科杨璐主任医师、手术室陈柳云护士长、输血科等多学科专家进行MDT讨论 , 从手术体位摆放、手术方案、并发症的预防等制定了详细方案 。
文章图片
怎么摘除巨瘤 , 医院集合了多学科团队进行集中头脑风暴 , 讨论出最稳妥的治疗方案
【年成|养瘤三年成“巨患”,广州医生妙手摘除12公斤中骨盆肿瘤】摘瘤重构骨盆 , 手术时患者是“漂浮”的
6月8日 , 老周终于上了手术台 。 接受了手术治疗 。 术中 , 医护团队在麻醉后先经输尿管逆行插管 , 行右半骨盆+盆腔+腹腔巨大软骨肉瘤整块切除+半骨盆假体重建术 。
由于患者肿瘤巨大 , 部分肿瘤浸润至皮下筋膜层 , 而且肿瘤质硬 , 操作空间较小 。 沈靖南主任、邹昌业、赵志强主治医师先分离保护髂外血管 , 凿断耻骨、坐骨支 , 切开骶髂关节 , 使肿瘤能够移动 , 随后包膜外分离肿瘤周围 , 同时将与腹膜粘连紧密的部分肿瘤一起切除 , 据悉 , 完整切除的肿瘤重达12公斤 。
- 排毒|想长寿要会吃,三种蔬菜,常吃清理肠胃,排毒润肠,不妨一试
- 鸡蛋清性|每天晚上不妨多吃三种食物,营养丰富,延缓衰老,好吃又不贵!
- 常常吃鱼 但你都会忽视三大点
- 幽门螺杆菌的“源头”找到了,奉劝一句:三类食物,能不碰就不碰
- 橙子是高血脂的发物吗?滋养血管,牢记“三吃、四不吃”
- 芹菜叶|失眠最怕它了,三天吃一回,一分钱不花,睡眠变好了,倒头就是一整夜
- 肝细胞|想长寿先养肝,多吃三种蔬菜,养肝护肝,滋补身体,脸色更红润
- 清晨起床 三类食物不宜吃
- 蜂蜜虽好 但三种人群不宜喝
- 肿瘤|健康大讲堂丨肿瘤专家袁芃:乳腺癌病因尚不明确 防治重在“三早”
