造影剂|胃肠也能做B超?专家:有其特有优势,适合七大类情况
据世界卫生组织统计 , 中国现有1.2亿肠胃病患者 , 每年新增胃癌人数为40万 , 占世界胃癌发病人数的42% 。 胃癌的隐蔽性大、往往发现时已是中晚期 , 防治形式十分严峻 , 已成为我国面临的重大公共卫生问题之一 。
文章图片
天津市第三中心医院放射科主任医师于长路介绍说 , 大众普遍认为胃是空腔脏器不能做超声检查 , 通常诊断以胃镜为主 , 辅以放射钡餐检查 。 而近年来 , 随着超声仪器的不断改进和超声医师技术的提高、检查经验的积累 , 特别是胃肠超声造影剂的应用和改进 , 使超声不仅可以诊断胃部疾病 , 而且准确率也得到了很大的提高 。
文章图片
早在2018年 , 胃超声检查已被写入我国胃癌诊疗规范 , 该规范指出:超声检查简便易行、灵活直观、无创无辐射等特点 , 可作为胃癌患者的常规影像学检查手段 。
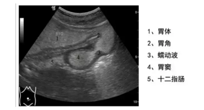
于长路主任说 , 胃肠充盈超声造影检查 , 是通过一种造影剂充盈胃肠腔的检查 , 该类造影剂充盈胃肠腔后在声像图上显示类似于实质性组织的回声 , 消除了胃腔内的气体及黏液干扰 , 和胃肠壁及肝、胆、脾、胰之间产生明显的对比效应 , 清晰地显示胃肠壁的层次结构 , 从而使胃肠内腔产生良好的声学造影效果 。
文章图片
胃肠充盈超声造影使用的助显剂主要采用薏苡仁、淮山药、陈皮等中药加工制造而成 , 无任何副作用 。
文章图片
文章图片
(正常胃壁声像图)
【检查优势】
·准确、无痛、无创 , 无交叉感染 , 无麻醉伤害 , 无射线伤害 , 适应人群广泛 。
·不需要特殊的准备和要求 , 可用以大规模的胃疾病的普查及筛查 。
【造影剂|胃肠也能做B超?专家:有其特有优势,适合七大类情况】·可实时、多次从不同角度对胃肠进行扫查,同时观察胃张力、蠕动及排空情况 , 并适合进行长期随访、复查 。
·不仅能够显示胃腔内的病变 , 而且能清晰显示胃粘膜下肿瘤 , 观察肿瘤内的结构特征及病变范围、浸润深度 。
·提高对邻近组织器官(胰腺、肝外胆管、腹腔和腹膜后淋巴结)的超声显示能力 。
【适用于以下疾病】
·肿瘤
(1)良性肿瘤:胃息肉 , 平滑肌瘤 , 其他间叶组织良性肿瘤(如纤维瘤、血管瘤、脂肪瘤等) 。
(2)恶性肿瘤:胃癌 , 胃平滑肌肉瘤 , 胃恶性淋巴瘤 , 胃转移癌等 。
·炎症急、慢性胃炎 , 胃溃疡 , 胃内炎性肉芽肿 , 胃壁内脓肿 。
·胃黏膜病变、胃黏膜脱垂症、巨大胃黏膜肥厚症等 。
·先天性病变:先天性肥厚性幽门狭窄、胃囊肿、胃壁胰腺异位症、胃反位等 。
·梗阻性疾病:贲门失驰缓症 , 各种原因(如肿瘤、炎症等)引起的幽门、贲门梗阻 。
·胃十二指肠周围脏器病变:总胆管下段结石、肿瘤 , 壶腹部肿瘤 , 胰腺肿瘤 , 左肾及肾上腺肿瘤 , 腹膜后淋巴结 , 腹膜后大血管病变等 。
·其他疾病:胃石症、胃内异物症、胃内蛔虫症、胃底静脉曲张、胃下垂 。
【禁忌症】
急性胃扩张、上消化道穿孔、上消化道活动性大出血等 。
【检查前准备】
- 患上糖尿病|隔代也会遗传糖尿病?关于糖尿病的5个冷知识,你了解多少?
- 小儿咳嗽可不都是肺热?小儿咳嗽也分好多种,你知道吗
- 肝胆疾病|女性晚上当零食吃几颗,美肤淡斑,大肚子也平了,越来越年轻
- 肝细胞|夏季来了,多吃以下3种食物,滋养皮肤,也可以淡化斑点
- 家人|除了头孢,吃这些药也千万别喝酒
- 感冒|维C过量也有危害!提醒:喝泡腾片不能成为日常
- 巧吃路边摊早餐 也能同样变健康
- 痛风也可吃火锅 但注意少吃肉食
- 伯伯|“ 等我长大了,也要当像您一样的医生 ”
- 湿气|冬瓜和此物一起煮来吃,湿气没了,便秘消失了,小肚子也不见了
