病毒|环球深观察丨溯源美国:早期病例到底有多早?( 二 )
文章图片
△梅尔哈姆社交媒体截图
此事引发美国媒体广泛关注 , 一些美国卫生专家也支持梅尔哈姆的判断 。
去年3月11日 , 当时的美国疾控中心(CDC)主任雷德菲尔德在国会众议院一次听证会上就承认 , 美国确实有原本被诊断为流感、实际上却是因为感染新冠病毒而死亡的病例 。
文章图片
△美国有线电视新闻网(CNN)报道截图
美国公共卫生协会执行董事乔治·本杰明去年3月底也表示:“我们最终会发现 , 新冠病毒的到来可能比我们想象的要早得多 。 ”
文章图片
△乔治·本杰明
美国“零号病人”迷雾重重
值得注意的是 , 作为少有的敢于公开发声的政府官员 , 梅尔哈姆是一名无党派独立人士;而带党派色彩的新泽西州有关政府部门至今对此事保持着缄默 。
这也许就是造成美国早期病例一直成谜的主要原因 。 但即便政客们这么努力地转移视线 , 还是不断有关于美国早期病例的消息被媒体和研究机构捅出来 。
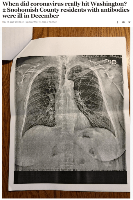
据《西雅图时报》去年5月14日报道 , 华盛顿州斯诺霍米什县的两位居民在2019年12月出现类似新冠肺炎的症状 , 之后对他们的新冠病毒抗体检测呈阳性反应 。 这一结果表明 , 新冠病毒可能比想象中更早在当地出现 。
文章图片
△《西雅图时报》报道截图(题图中的X光片显示其中一位斯诺霍米什县居民的肺部“过度充气”并出现“线性混浊” 。 医生认为 , 这可能是叠加上呼吸道肺部感染的表现 。 )
《洛杉矶时报》去年6月21日报道称 , 加利福尼亚州最早可追溯至2019年12月的40余起不明死亡病例或将改写新冠肺炎疫情在美国的时间线 。
文章图片
文章图片
△《洛杉矶时报》报道截图(题图为玛丽贝斯·科尔特斯和丈夫杰里 , 他们想知道39岁的儿子杰里米·德拉普是否在2020年1月初患病4天后死于新冠肺炎 。 )
加州大学洛杉矶分校去年9月10日宣布 , 该校与华盛顿大学合作研究发现 , 从2019年12月下旬开始并持续到2020年2月的呼吸道症状和疾病患者数量明显增加 , 表明新冠病毒在具有临床意识和检测能力之前就已经在美国的社区传播 。
文章图片
△加州大学洛杉矶分校官网截图
去年11月底 , 美国疾控中心(CDC)科学家发布的一份政府研究报告显示 , 新冠病毒早在2019年12月中旬就已出现在美国 , 比美国公共卫生部门发现第一例美国本土确诊病例要早一个月 。
文章图片
△《华尔街日报》报道截图
就在上个月15日 , 美国国立卫生研究院(NIH)最新公布的研究结果支持了CDC的研究发现:新冠病毒早在2019年12月就已在美国传播 。
该院研究人员对2020年1月2日至3月18日期间从全美50个州采集的2.4万多份血液样本进行检测后发现 , 有9份样本中出现新冠病毒抗体 。 其中 , 来自伊利诺伊等5个州的7份样本表明 , 这些州最初病例的出现均早于其公布首例确诊病例的时间 。
- 深圳|广东新增本土确诊病例9例:深圳2例、珠海5例、中山1例、梅州1例
- 接种|北京市累计报告接种新冠病毒疫苗5797.48万剂次
- 国家|全国累计报告接种新冠病毒疫苗293763.2万剂次
- 接种|北京累计接种新冠病毒疫苗2255.82万人
- “这将是疫情最后一个寒冬!”张文宏深夜发声,奥密克戎迎来克星
- 感染者|广东新增本土确诊9例!深圳出现新的独立疫情,系奥密克戎
- 深圳市|最新!深圳报告两例确诊病例
- 人员|本土确诊+163,在这些地方!深圳首次发现奥密克戎病例,为一起新的独立疫情
- 阳性|一地深夜通报:一确诊病例出院后,复查中检出标本阳性
- 病毒|海淀病例所感染病毒与北美和新加坡等地部分毒株相似度较高
