直肠|「放射沙龙Spark病例挑战41期」女性,87岁,因咳嗽气急1周、入院
「放射沙龙Spark病例挑战41期」女性 , 87岁 , 因咳嗽气急1周、入院
40期病例挑战答案:A
病例分析思路精选:(精选答对用户提供的分析思路 , 仅供学习参考 , 如有错误欢迎批评指正 , 十分感谢老师们的思路分析)
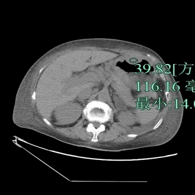
孙林志:CT:直肠右后壁不规则增厚 , 增强明显强化 , 其边缘欠光整 , 脂肪间隙模糊 。 MRI:直肠右后壁不规则增厚 , T1WI稍低信号 , T2稍高信号 , DWI弥散受限 , ADC低信号 。 考虑直肠癌可能 。
159****1345:临床和影像可以符合直肠癌 , 主要鉴别是直肠淋巴瘤 , 这例在影像上很难鉴别 , 直肠受累 , 旁可见结节 , 包括强化和dwi都是可以的 , 直肠壁感觉还是比较软 , 可有腹壁结节及溃疡形成 , 从发病例来讲直肠癌远高于直肠淋巴瘤 , 直肠淋巴瘤好发小肠 , 回盲部 , 个别直肠淋巴瘤是合并有回盲部的淋巴瘤 , 还有周边淋巴结的肿大 。 直肠炎dwi不符合 , 脓肿这么大要有感染症状 , 局限性脓腔dwi受限 , 血吸虫必须要有病史 , 不然就是耍流氓
温馨提示
公众号病例打卡有效期为次日早上10点前
10点后可以答题但不进行打卡考勤统计
【Spark病例挑战第41期题目】
患者 , 女性 , 87岁 , 因咳嗽气急1周、发热4天入院 。 查体:未见明显异常 。 影像检查如下 , 以下哪个诊断最有可能?

文章图片

文章图片

文章图片
A.胃癌
B.肥厚性胃炎
C.淋巴瘤
D.神经内分泌肿瘤
E.间质瘤
以上你选择哪个答案呢?
你的解析思路是?欢迎评论区讨论
下期【病例挑战】公布答案!
【直肠|「放射沙龙Spark病例挑战41期」女性,87岁,因咳嗽气急1周、入院】【版权声明】本平台属公益学习平台 , 转载系出于传递更多学习信息之目的 , 且已标明作者和出处 , 如不希望被传播的老师可与我们联系删除
- 就怕“过节肥”?一波动作解救你「健康幸福过新年」(12)
- 痛风|痛风发作真「要命」,7 个要点远离它
- ▼每一个周日晚上|小南与你说晚安文|符志刚原文刊载于2022.|「小南夜读」腌冬菜
- 数据|《胃肠病学》:减肥防早发肠癌,要从20岁开始!科学家发现,20、30岁和约45岁时肥胖,与结直肠癌发病风险上升88-156%有关
- 病人|得癌症晚期的病人,信西医的,使用化疗,放射,手术的能活多久
- 阳春市石望镇大力实施“村村通”自来水全覆盖工程|「我为群众办实事」阳春市石望镇着力推进“村村通”自来水工程建设
- 直肠|提醒:若出现以下不适症状,或是溃疡性结肠炎,4种方法可以缓解
- 放射性物质|送烟等于送危害!
- 「保健品」这三个字|早就淘汰的垃圾,成为买回家的保健品
- 天府新青年你触手可及的朋友圈其实我们总会听到很多「睡不好身体会垮」「熬夜伤身」|今晚12点前睡!这次一定。
