核心|七八年前生吞蛇胆不下十次,而今脑内长虫险些破坏核心功能
七八年前因为应酬 , 广东男子王强(化名)每年都吃蛇肉、生蛇胆 , 类似的饕餮盛宴不下十次后 , 他从五年前开始出现突然间意识不清、肢体抽搐、浑身乏力症状 。 经系统的影像排查脑部 , 其颅内居然盘踞着一条长约6厘米的活虫 。 活虫入脑 , 则很可能与其之前的吃蛇肉、吞生蛇胆沾染了裂头蚴虫卵有关 。
脑子里进了个“挖洞狂” , 抽搐、眩晕频发
王强今年34岁 , 据他回忆 , 早在5年前 , 他就曾在深圳商场逛街时 , 突然一阵眩晕 , 随即摔倒在地 , 身体不停地抽搐 。 被朋友紧急送往附近医院后 , 又辗转了广州多家医院 , 他最终被告知颅内可能长了裂头蚴 。 这个寄生虫堪称宿主大脑区域的挖洞狂 , 只不过这一次它挖掘的区域位于王伟的功能区 , 手术风险高 , 医生建议他先保守治疗 。
两年前开始 , 患者发现自己讲话开始变得结巴 , 尤其是连续说话时 , 吐字更是变得异常不清晰 。 近一年来 , 他又发现右手手指变得不灵活了 。 一开始是拇指和食指不灵活 , 后来连尾指和无名指也变得不灵活了 。 从今年5月份开始 , 年轻力壮的王强时常莫名其妙感觉浑身乏力 , 看东西也变得模糊不清 。 “这五年 , 吃过打虫药 , 也坚持复诊 , 但是虫子就一直在功能区没有‘爬’出来 , 真是一条‘懒虫’ 。 ”
为寻求进一步诊疗 , 8月8日 , 王强来找广东三九脑科医院 。
文章图片
这支虫子赖在了王强的功能区不走了 , 而且盘踞了五年之久 。
抓捕裂头蚴 , 医生手术中唤醒了开颅患者
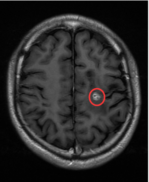
【核心|七八年前生吞蛇胆不下十次,而今脑内长虫险些破坏核心功能】该院接诊的神经外九科主任穆林森发现 , 患者左侧额叶有明显的占位病变且有肉芽肿形成 , 认为是裂头蚴感染的可能性较大 。 病灶位于功能区 , 稍有不慎就可能引起偏瘫 。
完善相关术前检查后 , 8月16日 , 穆林森团队在术中唤醒麻醉下为患者实施左侧额叶后部功能区寄生虫抓取术 , 将一条6cm长的活虫顺利“逮住” 。 “大约在皮下3cm的地方 , 可清晰看到有白色索条状的虫体在缓慢蠕动 。 ”穆林森说 。
“每年吃蛇肉、生蛇胆不下十次 。 ”原来 , 早在七八年前 , 王强因为应酬等原因 , 经常和朋友聚餐吃蛇 。 穆林森介绍 , 患者感染裂头蚴可能与吃蛇有关 。 “未煮熟的蛇肉和生的蛇胆都可能存在寄生虫及虫卵 , 而吞食后寄生虫及虫卵可通过血液循环进入人脑 , 并在人脑中游走 , 导致患者出现抽搐、肢体无力等症状 。 ”
文章图片
神经外科专家们手术抓虫 , 未避免给王强带来其他功能损害 , 甚至在手术过程中把他唤醒来配合做各种动作 。
“秋风起 , 三蛇肥 。 ”民间素有入秋吃蛇的传统 , 穆林森提醒 , 一定要注意饮食安全 , 千万不要食用未煮熟的蛇肉、蛇胆、青蛙等 。
采写: 南都采访人员 王道斌 实习生 叶影
通讯员 郑琳
- 全局|眼观全局耳听八方 2022年1月上
- 李大可|八成女性都有可能感染HPV!科学预防很关键
- 过了腊八就是年|虎年将至,青岛这些大集最有年味
- 八段锦的真正功效,比药更有效!调理五脏,打通全身经络~
- 接种|八成女性都有可能感染HPV!科学预防很关键
- 吃完饭不要做七点 保护肠胃很重要
- 盘点:八种隔夜绝不能吃的食物
- 关注 癌症的死亡率高、治愈率低|科普|八桂中医大讲堂(4):中西医结合治疗恶性肿瘤有哪些优势?
- 上火吃什么好 八种食物让你远离上火
- 七类人吃夜宵反而有益身体
