治疗|精选病例:典型的急性坏死性胰腺炎
精选病例:典型的急性坏死性胰腺炎
病史:女性 , 73 岁 , 既往有原发性高血压和Ⅱ型糖尿病 , 因发热和腹部剧痛来急诊室就诊 。 该患者在急诊室观察时休克昏厥 。
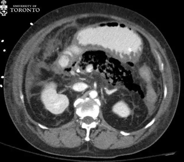
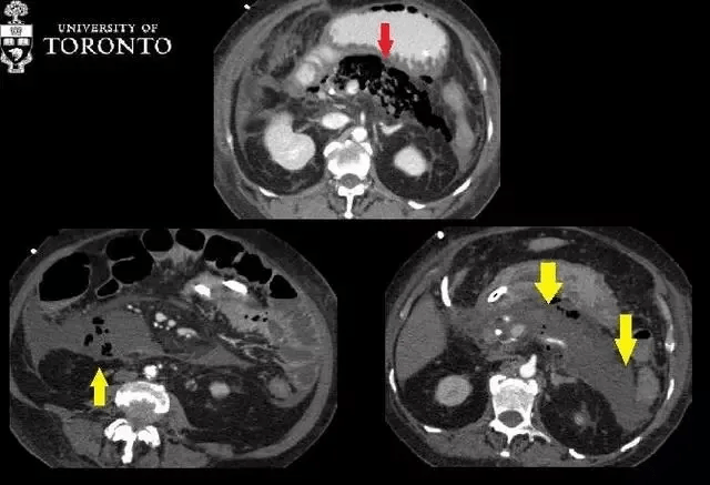
该患者被送入重症监护室 , 并给予高剂量抗生素静脉滴注 。 之后患者病情稳定 , 未进行手术治疗 。 两个星期后 , 患者白细胞计数升高 , 再次昏厥 。 入院当天的 CT 扫描显示广泛的胰腺坏死 。 胰腺组织几乎完全由气泡(红色箭头)所取代 。

文章图片

文章图片

文章图片

文章图片

文章图片

文章图片
诊断:患者被确诊为急性坏死性胰腺炎 , 且可能合并感染 。
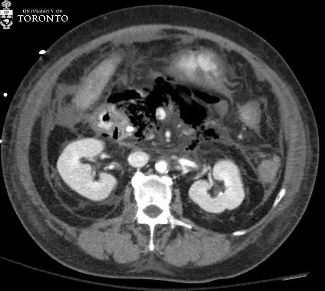
【治疗|精选病例:典型的急性坏死性胰腺炎】治疗:患者静脉用抗生素治疗了两个星期 , 之后患者出现了大量的混合性腹水 , 胰床上见 aeric 脓肿 , 位于钩突下方右侧可见另一个腹膜后脓肿(黄色箭头) 。
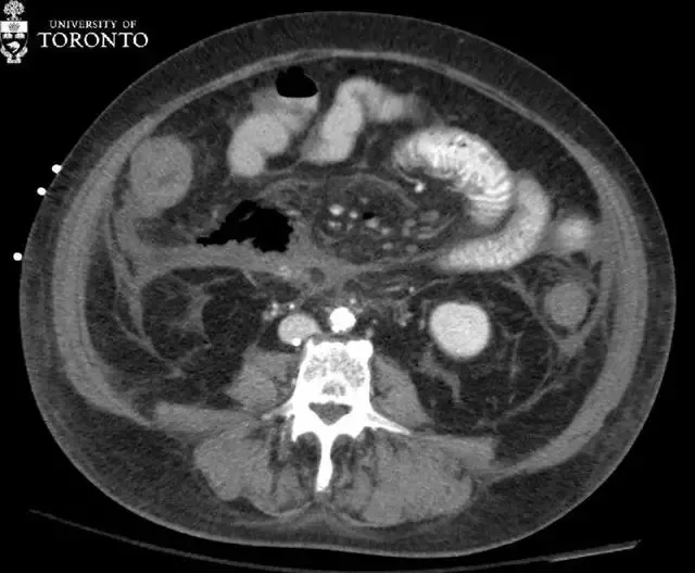
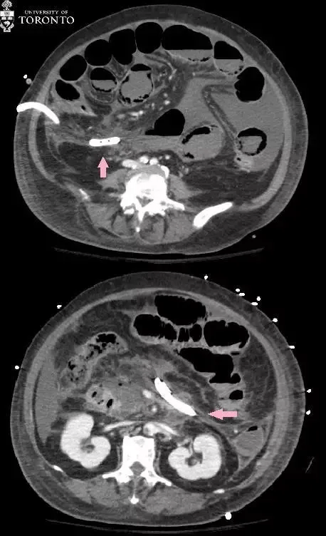
两处脓肿分别在超声引导(右)和 CT 引导(左)下行经皮穿刺引流术 。 16-Fr 多功能引流导管放置在脓肿中 , 吸出带碎屑的脓液 。 在随访的 CT 引导下引流中 , 排水管处于较好的位置(粉红色箭头) , 脓肿的大小也减少 , 但不幸的是 , 病人在出现肠系膜缺血不久后死亡 。
病例学习
急性胰腺炎的诊断主要靠临床症状和生化指标(脂肪酶和淀粉酶的升高)。 影像学对于查找病因(通常在超声排除胆总管结石后)或评估严重程度作用很大 。
为了评估胰腺炎的严重程度 , 通常应用多相流 CT (平扫 , 晚动脉期和静脉期) 。 急性胰腺炎的症状包括胰腺和胰周脂肪间隙的肿胀 。 其并发症包括静脉血栓形成 , 假性动脉瘤 , 腹膜后脓肿(可形成假性囊肿) , 胰腺坏死和感染 。
CT 是诊断胰腺坏死最好的方法 。 不增强的胰腺组织一般被认为是坏死 , 并且坏死的程度与疾病及预后的严重程度相关 。 胰腺坏死感染通常在症状发作后的前四个星期出现 。 约 40%到 70%的坏死性胰腺炎患者会发展为感染坏死 。 感染性胰腺坏死的患者通常病情较重且有中毒症状 , 预后较差 。
从历史经验上看 , 推荐早期积极进行手术清创 , 但延迟干预和导管引流已经表现出改善病情的效果 。 在 CT 上 , 出现气泡则提示感染 , 但仅有 15%的病例会出现 。 因此 , 对于感染坏死的诊断 , 临床和影像相结合是很有必要的 。
胰腺脓肿可使坏死或非坏死性胰腺炎变的更复杂 , 通常在出现症状四周后才确诊 。 治疗方法是经皮或手术引流 。 在 CT 上 , 表现为包裹性积液 , 周围可见强化;内可能含有气泡(20%) 。 感染性假性囊肿需要与其相鉴别 , 它出现较晚 , 且往往与非感染假性囊肿具有相同的表现 。
---END---
来源:UNIVERSITY OF TORONTO
【版权声明】本平台属公益学习平台 , 转载系出于传递更多学习信息之目的 , 且已标明作者和出处 , 如不希望被传播的老师可与我们联系删除
- 隔离|如何帮治疗、隔离中的孩子做好心理调适?专家给出建议
- 穆罕默德|伊朗首次通报“奥密克戎”感染者死亡病例
- 治疗|糖尿病服药后,出现的低血糖比较严重怎么办?
- 检测|溯源结果公布!奥密克戎病例曾收到国际邮件
- 相关|【中国实用外科杂志】肥胖代谢病合并甲状腺癌外科治疗中国专家共识(2021版)
- 病例|河南省疾控中心提醒:应对奥密克戎,这件事很重要!
- 治疗|治疗运动神经元的方法有哪些呢?
- 国人历来重视精神对治疗疾病、养生保健的重要作用|心平气和,有益健康的“良药”
- 救治|广东珠海:奥密克戎感染后症状相对较轻 新增病例年轻人偏多
- 德尔塔|珠海:奥密克戎感染后症状相对较轻,新增病例年轻人偏多
