济南南郊医院已成功开展冠状动脉CT强能力,促提升| 冠状动脉
为进一步提高CT设备性能,为广大患者提供更高质量的诊疗平台,济南南郊医院影像中心成功开展了增强CT(全身器官)、CTA(动脉血管)、CTV(静脉血管)、CTU(泌尿系统)检查。可以发现普通检查不能发现的病灶,同时精确显示病变范围、病变性质等方面的重要信息,具有普通传统影像检查方式无法比拟的优势和不可替代性,而且具有操作方便、快速、准确、安全,图像清晰等优点,对患者后期治疗可起到非常重要的指导治疗作用。

文章插图
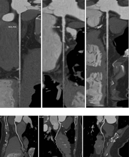
其中,冠状动脉CTA是一项无创性血管检查技术,该技术在冠心病的筛查、术前病情评估、冠脉变异和畸形的评价、心功能分析等方面发挥着重要作用,冠状动脉CTA检查已成为排除冠心病的重要手段,成功率在95%以上。冠状动脉CTA不但“无创”,而且其检查费用要比常规冠状动脉造影低得多,CT检查流程于门诊即可完成,无需住院。

文章插图
冠状动脉CTA可以用于诊断冠心病、冠状动脉粥样硬化板块及管腔狭窄程度分析、血管走行分析(浅肌桥-壁冠状动脉分析);心脏肿瘤诊断、粘液瘤、室壁瘤、瓣膜疾病、房缺、室缺等室血管病变。
【济南南郊医院已成功开展冠状动脉CT强能力,促提升| 冠状动脉】

文章插图
头颈部动脉CTA能准确地对头颈部血管病变作出诊断,适用于头颈部血管畸形、血管壁斑块及血栓形成、动脉血管狭窄闭塞、动脉瘤及颅内肿瘤的发现。

文章插图
腹部CTA适用于肝、胰、脾、肾等实质性脏器的疾病诊断,尤其是在小病灶和早期肿瘤的发现及病变范围的显示上具有极大的优势。
该技术的开展,可为临床诊断和治疗提供重要依据,有效提升了济南南郊医院医疗服务能力,进一步满足了广大患者的就诊需求。
- 射线|北京北城甲状腺医院提醒:甲状腺疾病高发要如何预防?这5件事要做好
- 脏腑|重庆肿瘤专科医院:中医帮你调和气血,平衡阴阳
- 心脑血管|大荔中医医院脾胃肺病科“妙手回春”受到患者的称赞
- 需求|预约诊疗 | 齐齐哈尔市中医医院1月17日—1月23日医生出诊一览表
- 变化|邵东市中医医院:血压很“善变” 怎么办?
- 疾病|永州中心医院消化科成功开展内镜下内痔套扎术
- 解读|《浙江省医院门诊管理办法》政策解读
- 齐鲁壹点|济南市历下区五家药店被责令停业整顿
- 中藏医院|四川省骨科医院与松潘县中藏医院专科联盟
- 脊柱|邵阳学院附属第一医院脊柱骨病科、康复科携手让26岁瘫痪小伙再行走
