冠脉|咸阳市第一人民医院:多科室密切协同,成功完成一例二尖瓣成形+冠脉搭桥术
近日 , 咸阳市第一人民医院心脏外科团队联合多学科成功为一名冠心病合并瓣膜病患者进行一例二尖瓣成形+冠脉搭桥术 , 患者现已康复出院 。 此次成功完成该手术 , 标志着市一院心脏大血管外科向更高难度、更高技术迈进一大步 。
文章图片
胸闷、气短 , 竟是严重冠心病!
“3年前 , 开始在干活的时候有了胸闷、气短的感觉 , 开始是难受几分钟就过去了 , 前段时间胸闷起来一直没办法缓解 , 根本没想到这么严重!”复查时 , 李叔(化名)回顾自己的就诊经历 。 他今年56岁 , 因高血压药物治疗十几年 , 这次本打算到医院打几天针就回去 , 没想到近来症状发作次数增加竟是对自己身体“亮红灯”的严重警告 。
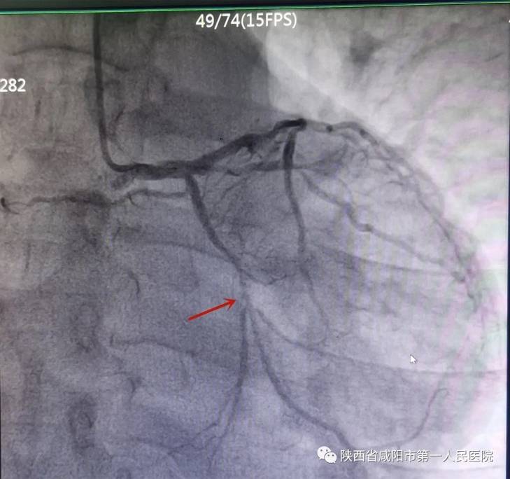
心脏面临“双重困境” 只有手术才能解决心病
心血管病院院长张宏考接诊后 , 为他做了详细检查 , 发现他的心脏问题非常严重, 面临“双重困境” , 不仅有冠心病 , 同时二尖瓣关闭不全 。 冠脉造影提示患者右冠、前降支等多支血管狭窄75%以上 。 而这些是心脏的主要供血血管 , 如今严重狭窄 , 心肌细胞严重受损 , 若不及时救治 , 随时有猝死的危险!
文章图片
文章图片
可以说 , 李叔正遭受着“内忧外患”!内忧是二尖瓣关闭不全 , 相当于房门关闭不严 , 血液容易从“门缝”返流;外患是血管堵了 , 无法正常地供应血液和氧分 。 如果心脏再这样下去 , 恐怕很难支持 。
诊断后 , 张宏考主任告知患者及家属:此时就算放置心脏支架也已经不能满足他的心脏供血 , 建议转入心胸大血管外科进行二尖瓣成形+冠脉搭桥手术 , 这是目前的最佳治疗选择!
“1+1>2”的高难度手术顺利完成!
二尖瓣成形难度已经十分高了 , 而冠脉搭桥加上二尖瓣成形使得手术更是难上加难 。
转入心胸大血管外科后 , 李晓峰博士经过仔细评估 , 认为这台冠脉搭桥手术风险极大 , 原本建议转上一级医院治疗 。 但是 , 看着病人的痛苦 , 面对家属的哀求 , 李晓峰顶着巨大的压力 , 决定迎难而上!经过积极改善心功能治疗后 , 反复评估 , 最终为他制定了体外循环下搭桥同期二尖瓣成形的手术方案 , 意味着两个手术一次进行 , 手术压力巨大!
手术日当天 , 心胸大血管外科、心血管内科、手术麻醉科、ICU、超声医学科等科室最精干的医生组成手术团队 , 对患者行全麻体外循环下二尖瓣成形+冠状动脉搭桥术 。 全麻成功 , 开胸 , 取左侧乳内动脉;另一组团队取双下肢大隐静脉 , 建立体外循环、置入二尖瓣成形环 , 行右冠状动脉、对角支、钝缘支、前降支四根病变血管冠状动脉搭桥;停止体外循环、心脏自动复跳、严密止血、关胸等一系列高难度操作后 , 历经5个小时 , 顺利完成全部过程 。 当心脏自动复跳的那一刻 , 手术室内连紧张的空气都放松了 。 此次手术不仅成功修复了瓣膜 , 还搭建了四根冠脉的桥梁 , 让他那颗“伤痕累累”的心重获新生!
文章图片
主管医生陈伟为患者拆线
患者术后次日拔除气管插管 , 第三天转出重症室 , 目前 , 患者无“胸闷、胸痛”等症状 , 顺利出院 。
此例冠脉搭桥手术的成功实施 , 实现了市一院开展心外手术以来独立完成冠脉搭桥手术的愿望 , 标志着咸阳市第一人民医院在救“心”的道路上迈出了一大步 。 李晓峰表示 , 此次手术的成功得益于市一院心胸大血管外科、心血管内科、介入科、手术麻醉科、重症医学科、超声医学科多学科的紧密配合!为患者的治疗铺出一条绿色通道 , 更得益于一直以来医院对心脏外科手术等新技术、新业务的重视 , 使得心胸大血管外科有了发展的平台并且能迅速成长 , 走在了全市该专业领域的前列 。
- 医保|昔日近70万一针的诺西那生钠注射液纳入医保 “天价药”在临沂打出第一针
- 脊柱|邵阳学院附属第一医院脊柱骨病科、康复科携手让26岁瘫痪小伙再行走
- 方面|“四九”第一天,科学养生,健康过冬
- 闭塞|长沙市第四医院:新技术让糖足不再在“截”难逃
- 结果|天津第161-200例阳性感染者详情公布,年龄最小2岁
- 结果|天津第161-200例阳性感染者详情公布
- 检测|广西隆林第一轮全员核酸检测已出结果59726份,均为阴性
- 吃辣|全国痔疮地图发布:不爱吃辣的广东人为什么排第二?
- 南昌市第三医院|南昌市第三医院新年护理培训第一课
- 早上第一杯水 不能喝这些
