武汉市肺科医院|肺部肿瘤期待手术除病又怕挨刀,医生找到一个不疼的“入胸”通道
来源:武汉市肺科医院
通讯员:张全录
肺出问题了,要手术,想想那明晃晃的手术刀,不少患者就怂了。别怕,9月3日,武汉市肺科医院外科还真的找到了一个不痛的通道,从此进入,术后两三天,患者就能愉快地呼吸了!
只要呼吸不停,空气中的尘埃、病菌就永远你来我往,出入我们的肺。所以,肺上某个“零部件”出问题是无法避免的。胸外科手术可以“快刀斩乱麻”,是清理坏掉的“零部件”,最直接有效方式。常规的大开胸手术的痛苦无需多言,最新的单孔胸腔镜手术,选择肋间进入,由于靠近肋间神经,或多或少会让人产生麻木,且术后初期,伴着呼吸,肋骨不断起伏,疼痛更是无法避免。不过,最近,胸外科手术疼痛的死结在武汉市肺科医院有解了。
患者吴师傅(化姓)虽然年满50岁,但一样闻手术色变。不过,他患的是胸腺瘤,一种恶性肿瘤。不动刀,没其他辙。手术无法避免,吴师傅就想着怎么能够让痛苦小点。8月底,听闻武汉市属医院中还真有医院有不痛的法子。他立即转院来到武汉市肺科医院。

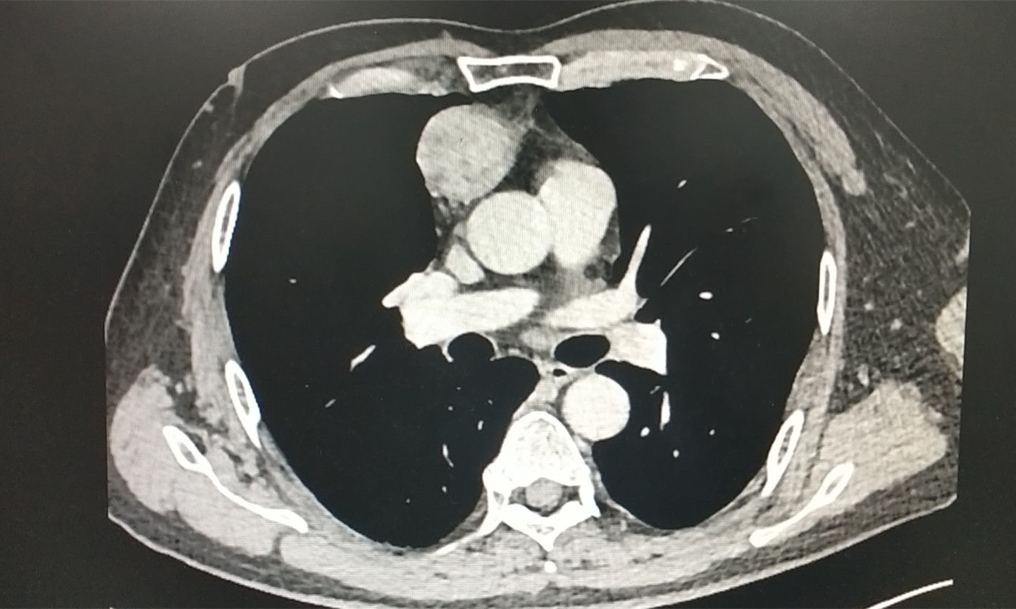
文章插图
患者胸腺病变在CT下的成像情况
外科医生蒋钰辉说,胸腺瘤异常凶险,常规的手术方式有两种:一是“劈胸”。这种方式听名字就吓人,事实上,它也真的就是字面的意思,从前胸劈开进行手术。创伤大,痛苦可想而知。第二种方式是“两肋插刀”。即左右两侧肋间同时开孔,通过胸腔镜左右进入。这一手段痛苦系数略低于第一种,但因为距离病灶远,想要干干净净地清理病灶有难度。同时,因为创口在肋间,术中,肋间神经或多或少会受影响。这就造成术后早期患者呼吸时,随着肋骨的起伏,会出现呼吸疼痛,同时,创口附近的肋间神经会产生麻木和感觉异常。
这两种方式,一定不是吴师傅能接受的。
9月3日,武汉市肺科医院外科拿出了他们的最新练就的“绝活”——剑突下切口胸腔镜手术。“这是国内最新发展起来的一项前沿技术,在武汉市属医院中,我们最先尝试!”蒋钰辉自豪地表示。
为什么这么神奇?这就与手术的入口剑突下有直接关系。
剑突在哪?胸前正中,有一块垂直向下,模样像一把剑的骨头,胸骨。剑的“尖”,是一块软骨,它便是“剑突”。剑突向下指向“心口窝”。
手术刀从剑突下进入胸腔,为什么疼痛会很少呢?原来,掀开剑突,后面是一个空洞,这里没有太多的神经经过,手术刀从此进入,游刃有余,不影响大神经,术后,给人的痛感便几乎可以忽略。
这么一个又“正”又“无痛”的通道,此前为什么一直没有被胸外科医生利用呢?这主要与手术需要的设备以及技术相关联了。
蒋钰辉说:掀开剑突,剥开脂肪等组织,露出的是一个仅1厘米左右,可进入胸腔的缝隙。此时通道太狭窄,只有借助“胸骨拉钩”这一设备,将胸骨上抬,才能让缝隙扩大到四五厘米,从而满足手术需求。而这一设备,一般综合医院因为需求量不足等因素,大多没有配置。
此外,这一通道内,大血管和心脏埋于其中,形成手术刀不可触碰的“雷区”,技术不精湛的医生很容易“触雷”。一旦伤及大血管或心脏,此时,纵有三头六臂,也无力回天。为避免“踩雷”,蒋钰辉采用的手术工具是超声刀。超声刀凭借其特有功能,可以轻松绕开这些“雷区”,只对目标进行切除、清理。

文章插图
术中胸骨拉钩拉起胸骨方便医生操作
【 武汉市肺科医院|肺部肿瘤期待手术除病又怕挨刀,医生找到一个不疼的“入胸”通道
- 肺炎|遵义120教你肺炎伴胸膜炎怎么办
- 脏腑|重庆肿瘤专科医院:中医帮你调和气血,平衡阴阳
- 心脑血管|大荔中医医院脾胃肺病科“妙手回春”受到患者的称赞
- 小儿咳嗽可不都是肺热?小儿咳嗽也分好多种,你知道吗
- 中藏医院|四川省骨科医院与松潘县中藏医院专科联盟
- 领导|邵阳召开强化新冠肺炎定点救治医院管理工作视频会议
- 报告|16日15时-24时,珠海新增3例新冠肺炎确诊病例,详情公布
- 防控|【北京疾控提醒您】关于本市海淀区新冠肺炎确诊病例的溯源情况通报
- 感染者|地坛医院在院新冠肺炎患者15例,其中奥密克戎感染者6例
- 珠海|广东珠海新增2例新冠肺炎确诊病例 将启动连续三轮全员核酸检测
