内分泌|子宫“堆满垃圾”的女人,脸上多有这些“痕迹”,外人一眼能看出
子宫对女性而言是非常重要的,尤其是对处于生育阶段的女人来说,子宫的健康直接关系到她们的幸福。而子宫“堆满垃圾”的女人,脸上通常会有这些特征,外人一眼就能看出,你知道吗?

文章插图
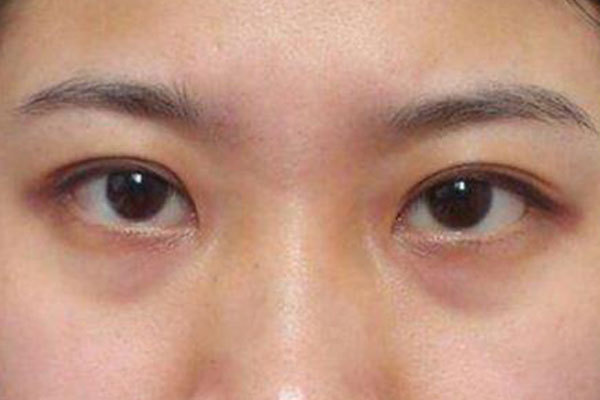
1.黑眼圈如果双眼浮肿,并且伴随着很严重的黑眼圈,女性朋友就要看看是不是内分泌出现了问题。内分泌一旦出现问题,会直接影响到子宫的健康,从而也会导致子宫的状态越来越不好。所以,这也是子宫“堆满垃圾”的一个信号。

文章插图
2.脸色苍白或萎黄女性朋友一旦出现这种状况,就说明身体可能处于贫血的状态。女性朋友一旦出现贫血的症状,对子宫的影响就会特别大,尤其是生理期的女性,可能会出现这些情况,如月经时间变短,月经量变少,就要注意,子宫是否病变了。

文章插图
3.脸上长斑女性朋友天生爱美,所以对皮肤管理都会比较严格,若是在这样的护肤下,脸上还长出许多斑点,那么女性朋友就要注意最近是不是经常会出现痛经,月经还会有淤血等情况。若是有,那就说明子宫正处于一个不健康的环境下。以上3种变化,就是我们判断女性子宫是否处于健康环境下的重要因素。当然我们除了知道子宫是否病变以外,还要知道怎么解决它。

文章插图
当子宫出现病变的时候,我们要怎么解决呢?首先要从身体作息方面改善,其次再从情绪方面调整。人是一个整体,如果情绪和作息时间都没有得到改善,那么服用药物治疗,也不会改善子宫的情况。当然除了这几个方面,我们也可以从饮食入手。

文章插图
以下2种食物,可改善子宫状态1.人参红枣茶人参补气,红枣活血,这两种在一起搭配,都可以起到补血益气的功效。并且,也可以改善气血循环的问题,让子宫变得更加健康。制作方法:准备3g的人参,10颗的大枣,放入杯里,倒入开水冲泡就可以食用了。

文章插图
2.红豆汤红豆具有养血活血的作用,不仅可以促进血液循环,使血液变得顺畅,还能将体内的淤血顺利排出体外。制作方法:准备20g的薏仁,30g的红豆,倒入锅里,等煮熟之后,就可以加入一些冰糖来调味。另外,大家需要注意红豆汤要在月经来之前喝,这两者食物都对身体有好处,大家在空闲的时候,不如试一试。除此之外,在平时也要少喝冷饮等。
- 红豆|四九寒天,少吃大鱼大肉,多吃这6种“根菜”,补足营养健康过年
- 口味|给孩子做个“快手菜” 营养丰富,口味独特,提高身体的免疫力
- 潜伏在我们身边的这3种“致癌”蔬菜,看完你还敢继续吃吗?
- 穆罕默德|伊朗首次通报“奥密克戎”感染者死亡病例
- 鲁南制药集团|菏泽医学专科学校“鲁南制药产业学院”揭牌
- 进行|尿毒症多半是“吃”出来的?3种食物尽量少碰,肾或许“感谢”你
- 生活|提醒:肝病多数是“拖”出来的,出现6种表现,最好查一下肝功
- 羊肉|羊肉到底是“致癌杀手”还是“营养佳品”呢?世卫组织揭晓答案
- 心脑血管|大荔中医医院脾胃肺病科“妙手回春”受到患者的称赞
- 心血管疾病|这个病还是“夫妻病”,你知道吗?
