小儿|郑大三附院小儿神经外科成功完成河南首例脑干恶性肿瘤切除术
脑干被医学界认为人体的生命中枢 , 被称为“生命禁区” , 就是在这样的禁区 , 郑大三附院小儿神经外科在生命的禁区里成功完成一列镜下恶性肿瘤全切术 。
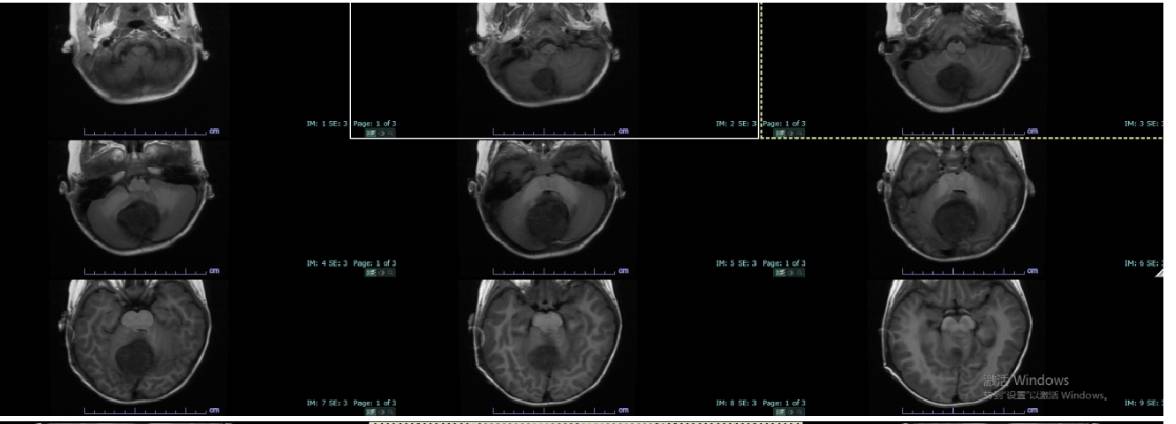
王冬冬 , 3岁 , 在1个月前无明显诱因突然意识丧失 , 肢体抽搐 , 口吐白沫并伴有恶心、剧烈呕吐 。 在当地医院做CT检查发现脑部明显积水 , 脑干背侧占位 , 进一步核磁共振检查发现脑干区实性占位 , 当地医院不敢做 , 说只有北京能做这样的手术 。
后听人说郑大三附院小儿神经外科主任杨继学会作这样的手术 , 于是便驱车几百公里来求医 , 杨主任仔细查看患者头颅磁共振 , 发现患者脑干区被肿瘤压迫严重 , 手术难度非常大 , 风险性极高 , 杨主任立即和马云富主任商量治疗方案 , 经过详细的术前讨论 , 制定缜密的手术方案 , 详细告知家属病情及手术方案 , 经过完善的术前准备 , 在杨继学主任及马云富主任联合相关科室最终完成这例显微镜下脑干区肿瘤切除手术 , 术后患者恢复良好 , 无神经功能障碍 , 术后病理诊断为:卵黄囊瘤 , 术后患儿行放化疗 。 该位置卵黄囊瘤在儿童中极其少见 , 是一种高度恶性肿瘤 。
这次“生命禁区”手术的成功 , 展示了郑大三附院小儿神经外科团队高超的技术水平 , 标志着郑州大学第三附属医院小儿神经外科在神经系统肿瘤的手术治疗上再迈新台阶 。
文章图片
杨继学; 小儿神经外科主任副主任医师,河南省医学科学普及学会儿童癫痫副主任委员兼秘书 河南省抗癫痫学会委员、癫痫外科学组副组长 河南省预防医学会儿童脑积水防治专业委员会第一届常委 河南省神经外科及脑血管病专业学会委员 河南省显微外科学会委员 河南省功能神经外科学会委员 河南省临床神经电生理专业学会委员 河南省儿外科学会青年委员
【小儿|郑大三附院小儿神经外科成功完成河南首例脑干恶性肿瘤切除术】儿童癫痫及成人癫痫的诊断和外科治疗,立体定向脑电图(SEEG)精准定位癫痫灶 。 各种癫痫灶切除手术 , 结节硬化症、大脑半球离断与切除、儿童颜面血管瘤病(Sturge-Weber综合征)、Rasmus- sen脑炎、儿童脑皮质发育不良、婴儿痉挛(WEST综合征)、LGS综合征等儿童癫痫综合征的诊治及外科治疗 。 擅长机器人辅助下微创射频毁损治疗下丘脑错构瘤、深部灰质异位、功能区皮质发育不良 , 迷走神经刺激术(VNS) , DBS植入治疗癫痫、扭转痉挛、抽动秽语综合症、梅杰综合症、帕金森病等 。 以及显微血管减压术治疗面肌痉挛、三叉神经痛、舌咽神经痛 , 微创球囊压迫技术治疗三叉神经痛 , 脑肿瘤、椎管内肿瘤、髓栓综合征、颅缝早闭、小头畸形 , 小脑扁桃体下疝、脑积水、脑外伤 , 脊髓栓系综合征 , 脑出血等的手术治疗 。
- 小儿咳嗽可不都是肺热?小儿咳嗽也分好多种,你知道吗
- 住址|郑州公布123—128号病例活动轨迹
- 住址|郑州公布6名感染者轨迹,涉及农贸市场、幼儿园
- 本轮疫情中|郑州市疾控专家:做好防护很重要 别忘正确戴口罩
- 河南|河南昨日新增本土确诊病例29例,其中郑州7例,安阳15例,许昌7例
- 郑州市|河南郑州此轮疫情确诊病例均为轻型和普通型
- 疫苗|速看!郑州市疾控专家发出建议!
- 金水区|明天9点郑州8地全员核酸检测
- 疫情|郑州市发布24号通告:1月17日金水区等8区县(市)开展新冠病毒核酸检测
- 检测|郑州市发布24号通告:明天金水区等8区县(市)开展新冠病毒核酸检测
