耳鼻|鱼刺卡喉,吞了口饭险夺命!医生提醒→
被鱼刺卡了后 , 你会习惯性去吞饭团?68岁的梁奶奶就因为这个举动 , 差点丢了命 。
10月5日 , 家住茂名市电白县的梁奶奶(化名)早上吃鱼后 , 自觉喉咙卡鱼刺了并出现胸骨后疼痛 。 梁奶奶多次用饭团吞咽 , 企图将鱼刺吞下 , 自己也没当回事 , 但胸骨后疼痛症状一直无法缓解 , 反而加重了 。 在家人的敦促下 , 梁奶奶去到附近的医院就诊 , 胸部CT检查发现 , 鱼刺不仅没有随饭团降落至胃内 , 反而到了食管中段 , 怀疑鱼刺已经刺穿食管管壁并靠近胸主动脉 。 病情十分棘手 , 当地医院建议转上级医院进一步处理 。
惊险:
鱼刺已深入主动脉腔
稍有不慎可造成大出血
10月6日下午 , 梁奶奶来到了广州医科大学附属第二医院(简称:广医二院)耳鼻咽喉科 , 首诊医生郭镇平主任医师为进一步明确鱼刺的位置和大血管之间的关系 , 立即联系放射科行急诊胸部CT平扫+增强检查 , 值班医师阅片后发现鱼刺已穿破食管壁和胸主动脉内侧壁 , 鱼刺一直深入到主动脉腔内!
耳鼻咽喉科翟锦明科主任指出 , 主动脉是人体经心脏发出的最粗大的血管 , 如果鱼刺不能及时、安全地取出 , 一方面会导致食管、主动脉破口感染 , 另一方面主动脉随时可能破裂 , 就像“大坝决堤”一样大出血导致患者死亡 。 患者的病情非常危急 , 翟锦明迅速行动 , 报告总值班协助组织耳鼻咽喉科、微创介入科、心胸外科、消化内科、麻醉科等相关科室开展MDT会诊 。
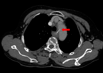
文章图片
CT图像显示:鱼刺穿破食管壁和胸主动脉内侧壁 。
放弃休假
紧急手术!
采用先进技术成功“拆弹”
【耳鼻|鱼刺卡喉,吞了口饭险夺命!医生提醒→】MDT团队认为 , 如果应用传统内镜手术或开胸手术取异物都有极大的风险 , 随即决定采用当今先进的主动脉腔内隔绝术治疗 , 通过股动脉途径送入主动脉覆膜支架系统 , 配合内镜下取出卡在食管和胸主动脉中的鱼刺 。 手术在微创介入治疗中心手术室进行 , 麻醉科团队负责全身麻醉 , 先由微创介入科团队预植入主动脉支架 , 然后消化内科团队通过内镜取出鱼刺后立即释放支架封堵主动脉破口 , 耳鼻咽喉科团队负责围手术期的准备及管理 , 心胸外科团队做好了随时转开胸手术的应急方案 。
微创介入科十余名专家放弃国庆假期宝贵的休息时间 , 投入到了患者的救治中 。
当一切准备就绪 , 患者全麻后由微创介入科医生将主动脉支架预先植入到位 , 接着消化内科医生在内镜下找到鱼刺并夹住 。 接下来的手术步骤极其关键 , 一旦鱼刺拔出后 , 若主动脉破口封堵不及时 , 就有可能导致大出血 。 因此“拔出鱼刺”和“支架封堵”的手术步骤必须依次无缝连接进行 。 此时 , 消化内科医生与微创介入科医生各就各位 , 在团队密切配合下 , 消化内科吕建忠夹住鱼刺将其拔出 , 内镜下可见鲜血从破口涌出 , 拔出后微创介入科练辉立即释放支架将主动脉破口封堵 , 此时内镜下可见出血马上停止了 。 仅仅用了5秒钟 , 手术的关键步骤顺利完成!操作的无缝连接大大地减少了病人的出血量和降低了死亡的风险!
文章图片
内镜下可见鱼刺刺入食管;用异物钳夹紧鱼刺 。
文章图片
预先植入主动脉支架 , 待鱼刺拔除后立即释放主动脉支架 , 造影未见对比剂外溢表现(无出血) 。
- 什么鱼刺少好吃肉多 鱼刺少的鱼做法
- 腺样体肥大怎么办?中医调治有妙招!|耳鼻喉医话 | 五指毛桃
- 宋西成|喜讯!山东省耳鼻喉疾病临床医学研究中心潍坊分中心正式在潍坊市中医院挂牌成立
- 手术|耳鼻咽喉头颈外科日间手术精益化管理策略
- 耳鼻|【节目早知道】2022年1月14日:冬季如何摆脱鼻炎困扰?
- 颌面|鱼刺卡喉两年跑到甲状腺 医生提醒喝醋吞饭不可取
- 鱼刺卡喉|名星遭遇了鱼刺卡喉
- 颈内动脉|“鱼刺卡着了?吞口饭就下去了吧”,医生:这非常危险
- 听力|德州市妇幼保健院耳鼻喉科王艳玲:时刻把患者放在第一位
- 生活|“疫”刻科普|疫情期间耳鼻喉疾病发作,应该怎么办?
