病人|注意,如有人出现这种皮纹,往往提示他内脏有癌!
她是美国人,今年73岁,11个月前,她的臀部、大腿和腹部、腋下都出现了瘙痒,皮肤上还出现了一种奇怪的纹路,这种纹路很像木头的年轮纹路。

文章插图
该妇女的臀部和背部皮纹。图片来自《新英格兰医学》病例报告,我在臀沟处打了码。上图就是该妇女的臀部和背部皮纹。图片来自《新英格兰医学》病例报告,我在臀沟处打了码。她先在皮肤科诊所就诊,在接下来的4个月里,医生先给了她西替利嗪治疗,不过治疗效果不好。她体表的皮纹越来越明显。在此期间病人还出现腹痛、呕吐和腹泻。最后病人被转院到美国堪萨斯州医学中心(University?of?Kansas?Medical?Centre),在那里,经结肠镜检查及影像学检查,病人被确诊为患有IIA期肛门鳞癌。病人在开始化疗和放疗三个月后,她身上的皮纹开始消退,瘙痒缓解。

文章插图
开始化疗和放疗三个月后,她身上的皮纹开始消退。图片来自《新英格兰医学》病例报告,病人在开始化疗和放疗三个月后,她身上的皮纹开始消退。图片来自《新英格兰医学》病例报告,我在臀沟处打了码。医生随访了病人8个月,病人的肛门癌得到了缓解,患者身上的皮纹没有再次出现,也不再出现皮肤瘙痒。这是最近一期《新英格兰医学杂志》上的病例报告。这是一本顶级的医学专业期刊。这位老太太身上的皮肤纹路,叫做匐形性回状红斑(Erythema?gyratum?repens),是一种少见的体征。我读大学的时候,我们的医学系本科教科书上,还没有这个体征的描写,所以,在早年,我对这个体征有看到过却不认得。我在18年前曾经管过一个乳腺癌的女病人,她的上腹部和胸部皮肤也出现过这种类似的皮肤纹路。病人就是到皮肤科看这种皮疹和皮肤瘙痒的。当时的皮肤科医生她给她查了乳腺、腹部B超、心电图、胸片等检查,结果发现了她患有乳腺癌。当时,我并不认识这种体征,但是我记得,这个女病人在做了乳腺癌根治后,第二次来医院做化疗的时候,身上的这种皮肤纹路消失了。我觉得好多年轻的非皮肤科医生都没见到过这种体征,更别说普通人了。因此,今天我和大家来谈谈这种叫做匐形性回状红斑(Erythema?gyratum?repens)的体征。由于这种皮肤纹路很像木头的年轮纹路,所以又叫木纹。

文章插图
典型的匐形性回状红斑,图片来自美国皮肤病学会资料上面是典型的匐形性回状红斑,图片来自美国皮肤病学会资料,只知道该病人有内脏恶性肿瘤,但没有说明是什么癌。

文章插图
一位77岁女性胆管癌病人的下肢皮肤匐形性回状红斑的图片。上面的图片就是一位77岁女性胆管癌病人的下肢皮肤匐形性回状红斑的图片。图片来源于2016年2月《英国医学杂志》病例报告,由新加坡国立大学医院报告。

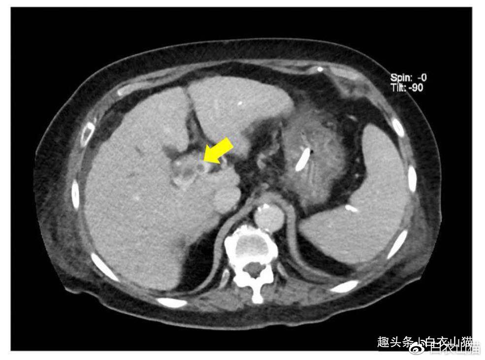
文章插图
上面那位77岁女性胆管癌病人的腹部CT图片。黄箭头所指向为肝门部胆管癌。这是上面那位77岁女性胆管癌病人的腹部CT图片。黄箭头所指向为肝门部胆管癌。图片来源于2016年2月《英国医学杂志》的病例报告,由新加坡国立大学医院报告。这位病人就诊前3周,先出现了一个小的红斑,接下来出现一圈一圈的匐形性回状红斑。三周以后出现了腹痛、腹水和黄疸,才查出是胆管癌。看到这里,你也许也问了,怎么你拿出来的皮肤图片,怎么都是患癌症的病人呢?你说对了,出现匐形性回状红斑的病人,80?上会患有内脏癌症。因此,匐形性回状红斑多认为是内脏肿瘤的皮肤表现,最常见的肿瘤是肺癌,其次是乳腺癌、胃癌。因为肛门癌和胆管癌病人出现匐形性回状红斑的机会比较少,所以会在医学期刊上出现病例报告。匐形性回状红斑在大多数情况下被认为是一种副肿瘤性疾病。特征性的同心红斑带形成木纹外观,有助于区别其他类似皮肤病。匐形性回状红斑往往在临床发现病人恶性肿瘤前出现,提早时间范围为1-72个月,平均提早9个月。在一些病人中,在发现肿瘤的同时,会出现匐形性回状红斑。简单地说,出现匐形性回状红斑往往是早期癌症的一个标志性体征。这在癌症的早发现和早治疗中,占有非常重要的地位。我们知道,癌症如果能够找发现早治疗,治疗效果会比较好。这就是我,一个给肿瘤开刀的外科医生来写皮肤科体征的原因,毕竟,外科医生要诊断癌症,也要知道这些体征。匐形性回状红斑的鉴别诊断很多,对于非皮肤科医生来说,比较难,普通人更难,但是对专业的皮肤科医生来说,并不难。因此,这里不多写鉴别诊断了。我写这个,并不是让大家学成一个皮肤科医生。这种皮纹特征鲜明,看一眼就能记住。因此,18年前的乳腺癌病人的皮纹,直到今天,我今天还记得。就算普通人,看了图片也能够记住。对于年轻医生来说,能够知道匍行回状红斑这种体征,看到病人有这种体征,可以找皮肤科医生确诊。如果确诊了是匍行回状红斑,要多留点心,给病人全面查一查,看看病人有没有患内脏恶性肿瘤。对于普通人来说,自己或者家人身上出现了这种皮纹,要及时找皮肤科医生就诊。懂得这些,就能够理解皮肤科医生给他做很多检查来查找病人内脏可能会存在的肿瘤。这就是我写这篇文章所想要达到的目标。
- 隔离|如何帮治疗、隔离中的孩子做好心理调适?专家给出建议
- 射线|北京北城甲状腺医院提醒:甲状腺疾病高发要如何预防?这5件事要做好
- 脂肪堆积|大腿吸脂快速瘦腿,会有副作用吗?术后需要注意哪些注意事项呢?
- 致癌|十多种肿瘤与“吃”密切相关,看完请注意避开!
- 苹果|冬季最应该吃的水果,苹果和梨都不如它,4元1斤,多给老人孩子吃
- 痛风也可吃火锅 但注意少吃肉食
- 常见肉类 如何吃才健康
- 一月转眼就已经过去大半,多吃3种如意果,寓意开心快活
- 本周就要放寒假了,孩子开心爱吃3种如意果,寓意福气绵绵
- 气温下降,孩子吃的好食物,寓意幸福如意,吃了身体不生病
