疾病|胸部CT查出肺部阴影是不是癌症,有哪些疾病会表现为肺部阴影?

文章图片

文章图片
王浩(化名)一直对自己的健康比较重视 , 在生活中每年都会定期去医院进行体检 。 在10月中旬 , 王浩去医院进行了今年的例行检查 , 等待结果的那两天里他的心情一直很轻松 。
因为之前几年检查他的身体各项指标都很健康 , 所以对于今年的体检他觉得也是“走个过场” 。 但是在检查结果出来后 , 王浩却有点笑不出来 。
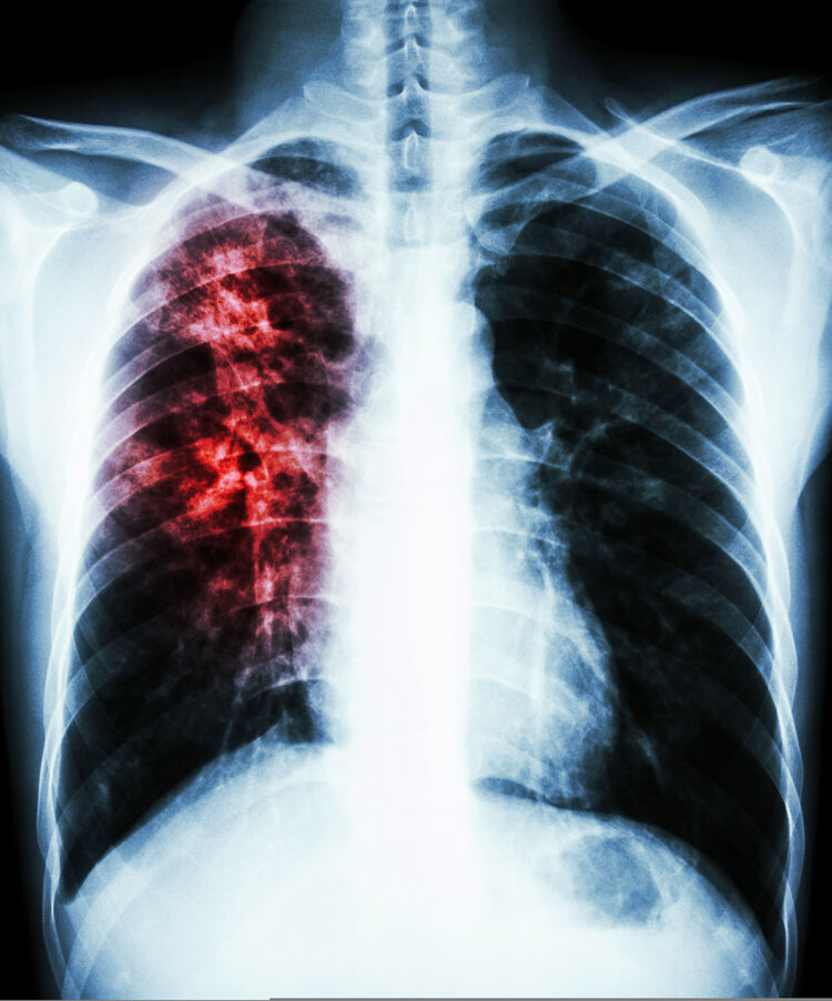
CT检查发现他的肺部存在阴影 , 医生建议他后续再进行详细的肺部检查……王浩接受了医生的建议 , 目前检查的结果还没有出来 , 他的内心十分煎熬 , 害怕自己患上了癌症 , 所以发来私信问小编 , 肺部有阴影是否一定是癌症?
?
可能是癌症 , 但是不一定全是晚期 , 一些良性的肿瘤也会在体检中出现肺部阴影:
良性肿瘤:肺部出现阴影可能是良性小结节所致 , 良性肿瘤的X光片检查多数边缘清晰、光滑 , 呈现状态为密度较高的球形阴影 , 部分患者会在片中出现钙化点 。
出现结节的情况下多数是良性肿瘤 , 通过手术治疗后可以治愈病症 。 在发现肺部存在结节时 , 不必过于恐慌 , 一定要去寻找专业医生的帮助 , 明确诊断并进行后续治疗 。
肺癌:当然了 , 肺部出现阴影也可能是肺癌所致 。 肺癌患者在临床上的检查会出现球形阴影 , 边缘非常模糊 , 会出现“毛刺”状的边缘 , 部分患者还会出现片状形态 。
罹患肺癌的患者多会伴随应激性咳嗽、声音嘶哑、发热以及消瘦等症状 。
除了肿瘤以外 , 肺部出现阴影还可能是一些其他疾病所致 , 具体有哪些?我们一起往下看 。
除了癌症 , 这5种疾病也可能会出现肺部阴影
1、肺结核
肺结核是临床上非常高发的一种肺部疾病 , 之所以会患上肺结核 , 是由于非结构感染结核杆菌所致 。
患上肺结核后 , 早期会出现咳嗽、咳血等症状 , 并且会有食欲下降、持续低热的症状 , 在影像学检查中会发现肺部存在阴影 。 想要确诊肺结核 , 需要做痰液检查 。
在早年间 , 肺结核的致死率非常高 , 但是现在肺结核已经被人类所攻克 。 通过抗结核药物可有效治疗肺结核 , 一些症状比较严重的人群 , 可能需要通过外科手术的方式来治愈肺结核 。
?2、肺部炎症
当肺部被支原体、病毒以及细菌等感染后 , 会导致肺部发生炎症 。 在影像学检查中多会出现片状阴影 , 相对而言肺部炎症和肺癌的检查结果较为类似 , 非常容易令人恐慌 。
肺炎患者往往还会出现胸闷咳嗽、呼吸困难以及发烧等症状 , 一些严重的患者甚至会出现中毒、休克等威胁生命的症状 。
确诊肺炎需要医生详细询问病史 , 后对患者进行听诊 , 当发现患者肺部出现异常冒泡声、爆裂声 , 则可确诊为肺炎 。
在确诊肺炎后 , 需要进行抗感染 , 临床上会给予患者抗生素药物治疗 。 一些存在发烧、痰量过多的患者 , 可通过服用退烧药、雾化等方式对症治疗 。
3、支气管扩张
该病属于自身免疫新疾病 , 当支气管或是肺部组织出现感染时 , 会让支气管壁的肌肉和弹性被破坏 , 导致支气管的正常功能受损 , 长期处于扩张状态下 , 易出现蜂窝状阴影 。
支气管扩张的患者会出现长期咳浓痰和咳血症状 , 急性期的患者还会出现发热和咳血等症状 。
- 射线|北京北城甲状腺医院提醒:甲状腺疾病高发要如何预防?这5件事要做好
- 心血管疾病|这个病还是“夫妻病”,你知道吗?
- 国人历来重视精神对治疗疾病、养生保健的重要作用|心平气和,有益健康的“良药”
- 肝胆疾病|女性晚上当零食吃几颗,美肤淡斑,大肚子也平了,越来越年轻
- 疾病|永州中心医院消化科成功开展内镜下内痔套扎术
- 夜间常口渴,嘴巴发苦,或是4种疾病的出现,可惜多数人忽视了!
- 接种|?哈尔滨市疾病预防控制中心发布疫情防控提醒
- 家长|杭州《青少年皮肤健康状况调研》发布,近半青少年受皮肤疾病困扰
- 疾病|这种菜是很多疾病的克星!长寿人都爱吃,你也试试!
- 宣传|额穆镇中心卫生院:开展冬季相关疾病防控知识宣传活动
