刀豆|吃了一盘家常菜 ,女子三天不排尿,还患上尿毒症!医生提醒:很多人都爱吃
李阿姨(化名)万万没想到
因为吃了一道普通的家常菜
竟导致她三天排不出尿
肾功能衰竭,患上了尿毒症
这到底是怎么一回事?
63岁李阿姨(化名)自家地里的刀豆熟了,她就采了一些回来烧晚饭。没想到刀豆炒了一半,煤气用完了,李阿姨尝了一口,像是熟了,就端上了餐桌。 李阿姨的老伴牙口不好,只吃了一两口,剩下的整盘刀豆,李阿姨一个人光盘。晚上十点多,李阿姨就出现了腹泻、呕吐、乏力等食物中毒的症状。 不明原因的李阿姨到镇上的卫生院挂了点盐水,但是直到第三天她还没有排尿,卫生院医生建议她到市区医院就诊。 于是,李阿姨赶到了医院,接诊的医生刚检查后发现,李阿姨的肾功能指标已经达到了肾功能衰竭第五期,就是我们俗称的尿毒症期。

文章插图
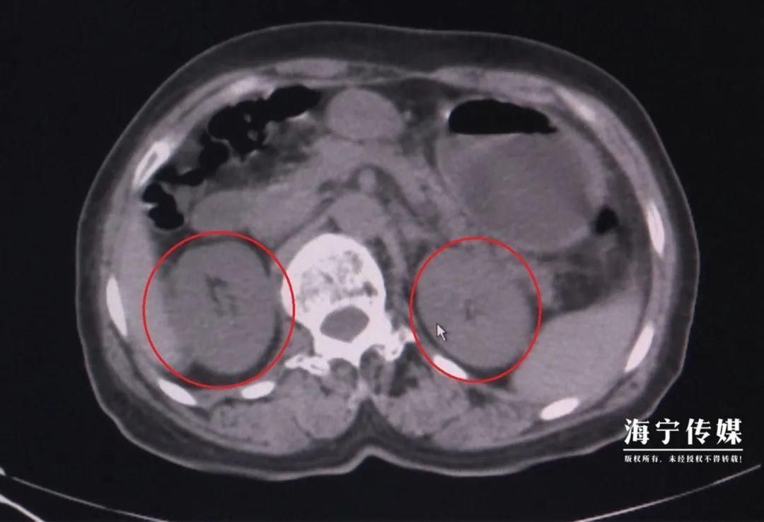
▲红圈部位为双肾肿胀 吃个刀豆怎么就中招了? “这是典型的食物中毒!”医生说,刀豆中含有生物碱,加热可分解。但李阿姨吃了整盘没烧熟的刀豆,毒素吸收导致急性肾功能衰竭,不能正常产生尿液,体内肌酐、尿素、氮尿酸等代谢废物无法排出。反映肾功能的肌酐指标一度飙升到600多,超出正常值上限的6倍。 如不及时治疗,有突然心跳停止、血循环消失、休克的危险。住院后,李阿姨接受了血液透析治疗。

文章插图
李阿姨还将接受一段时间的血透治疗,以尽可能恢复肾功能。医生也提醒,很多豆类都含有生物碱,食用时千万要注意烧熟。

文章插图
除了未煮熟的刀豆,还有一些蔬菜类食品如果食用不当也会发生食物中毒! 1 发芽土豆 发芽的土豆或变青的绿皮中,含有龙葵碱,食用后对胃肠黏膜有较强的剌激性和腐蚀性,对中枢神经有麻痹作用,严重的还会危及生命。 2 青西红柿 青西红柿含有同发芽土豆相同的有毒物质一一龙葵碱,食用后会产生恶心、呕吐、肤色青紫、流涎、头晕等中毒症状。生着吃,危险性更大!3 鲜蚕豆 有的人体内缺少6-磷酸葡萄糖脱氢酶(G6PD),食用鲜蚕豆后会引起溶血性贫血,也称“蚕豆病”。症状为全身乏力、贫血、黄疸、肝肿大、呕吐、发热等,若不及时抢救,会因极度贫血而死亡。 4 烂生姜 腐烂的生姜会产生一种叫黄樟素的致癌物质,可诱发肝癌、食道癌。 5 鲜金针菇 新鲜的金针菇中含有秋水仙碱,人食用后,容易因氧化而产生有毒的二秋水仙碱,它对胃肠黏膜和呼吸道黏膜有强烈的刺激作用,会出现咽干、恶心、呕吐、腹痛、腹泻等症状;大量食用后,还可能引起发热、水电解质平衡紊乱、便血、尿血等严重症状。 秋水仙碱易溶于水,充分加热后可以被破坏,所以,食用鲜金针菇前,应在冷水中浸泡2小时,烹饪时要把金针菇煮软煮熟。 6 未煮熟的芸豆 芸豆含有毒蛋白和皂素,前者具有凝血作用,后者是一种能破坏红细胞的溶血素并对胃肠有强烈的刺激作用。 如果没有煮熟煮透,人吃了之后1至5小时就很有可能会中毒。轻者头痛,重者恶心、呕吐、腹痛。 一般老芸豆更易引起中毒,两头含毒素较高应去掉。 7 鲜黄花菜 鲜黄花菜含有秋水仙碱,它进入人体后被氧化成毒性很大的物质二秋水仙碱,能强烈刺激胃肠和呼吸系统。成年人如果一次摄入0.1~0.2毫克的秋水仙碱(相当于鲜黄花菜1~2两)即可中毒。 一旦中毒,会出现咽干、烧心、口渴、呕吐、腹痛、腹泻等症状,严重者可出现血便、血尿或尿闭等现象。 鲜黄花菜不要多吃,吃前应先将鲜黄花菜用开水焯一下,再用清水浸泡两小时以上,捞出后挤尽汁液,彻底炒煮后再吃。8 不成熟的甜瓜根蒂 不成熟的甜瓜的瓜蒂和根部是苦味的,所含具有苦味的甜瓜毒素可以引起胃痛、吐逆、腹泻等,严重的可危及生命。 9 苦瓠子 苦瓠子含植物毒素碱糖甙,炒熟后它的毒性也不易分解,少量误食即可引起中毒。 一般苦瓠子的中毒症状在进食后1-2个小时便会出现,轻者表现为口干、头昏、恶心、呕吐、乏力、嗜睡等症状,重者则会出现腹痛、腹泻、脱水和血便等症状,甚至危及生命。来源:科普中国、广州日报、三甲传真、健康湖北
- 红豆|四九寒天,少吃大鱼大肉,多吃这6种“根菜”,补足营养健康过年
- 排毒|想长寿要会吃,三种蔬菜,常吃清理肠胃,排毒润肠,不妨一试
- 鸡蛋清性|每天晚上不妨多吃三种食物,营养丰富,延缓衰老,好吃又不贵!
- 肌肤|女性不愿老太快,坚持多吃3种食物,滋补身体,好处多多!
- 排毒|女性要排毒,推荐多吃4种食物,养护皮肤,祛皱美容,血管更通畅
- 肝明目|秋冬常吃这3样益处多多,健胃促消化 ,营养不流失 ,吃了都说好
- 零下度|冬季天气寒冷身体变虚弱了,多吃家常菜,补血养肝有利健康
- 潜伏在我们身边的这3种“致癌”蔬菜,看完你还敢继续吃吗?
- 疫苗|【992 | 速看】传播能力有所增强!有关奥密克戎变异株,最新解答来了!
- 饮食习惯|咸鱼腊肉很好吃,但吃多了真的会致癌?牢记3点,或无后顾之忧
