
文章图片

文章图片

“没想到切除这么大的肿瘤还能保住食管 , 真是太感谢中肿的专家了!”近日 , 来自惠州的古先生(化名)因为巨大肿瘤来到了中山大学肿瘤防治中心黄埔院区 , 胸科杨浩贤主任医师团队联合内镜科、手术麻醉科为他实施了全孔机器人食管巨大平滑肌瘤切除术 , 并且成功保留食管 , 创造了机器人精准微创手术的又一个“奇迹”!
【肿瘤|在中肿切除巨大肿瘤后1天就下床走路,是因为......】“小毛病”变成“大麻烦”
从2010年开始 , 谷先生就一直受到反酸、嗳气和吞咽困难等症状的困扰 , 但一直保守治疗 。 3年前 , 单位体检发现他的食管有一肿物 , 但当时肿物较小就没有重视 。
直到去年年底 , 古先生感觉吞咽更加困难了 , 连吃粥都很费劲 , 再次复查竟然发现之前很小的肿物已经占据了几乎整个食管腔 , 造成食管下段严重狭窄 , 长度竟有将近8cm 。 食管在胸腔段的长度只有20cm左右 , 这么大的肿瘤把古先生吓坏了 , 急忙赶到当地大医院就诊 。
经过进一步的检查 , 当地医生判断这极可能是比较罕见的食管平滑肌瘤 。 它虽然是良性的 , 但是因为体积太大 , 传统上需要通过开胸大切口手术来切除肿瘤 。 在手术过程中 , 如果食管粘膜受到严重损伤 , 甚至需要切除部分食管 , 并开腹将胃制作成管道形状 , 在胸腔与食管对接进行消化道重建 。 这样的方式 , 手术创伤极大 , 术后常常出现吻合口瘘、营养不良等严重并发症 , 不仅增加手术风险 , 还将严重影响患者的生活质量 。
“既然是良性肿瘤 , 就没有既能完整切除肿瘤 , 又能保存食管的方法吗?”古先生实在没想到 , 几年前忽视的小肿瘤竟会发展到如此地步 。
“还是有一线希望的 , 如果使用机器人手术或许可以圆满地解决你的问题 , 你可以去中山大学肿瘤防治中心找找杨浩贤主任医师 。 ”当地医院胸外科主任明白古先生的难处 , 于是推荐他来中肿 。
在专家门诊上 , 杨浩贤主任医师仔细查看了古先生的检查结果 , 他认为食管平滑肌瘤的诊断是正确的 , 但如此巨大的平滑肌瘤实属罕见 。
“我认为可以用机器人手术试一试 , 有很大的成功机会!”杨浩贤主任医师又重新点燃了古先生的希望 。 ”
突破以往手术治疗的“禁区”
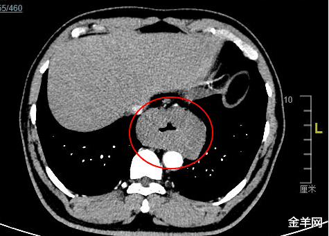
治疗前 , 杨浩贤主任医师为古先生安排了全面细致的术前检查 。 胸腹部CT检查结果提示 , 食管胸下段管壁不均匀环形增厚 , 最厚处达42mm , 长约81mm , 与胸主动脉相贴;超声胃镜检查确认了在距离门齿约35-40cm处 , 可见食管近全周粘膜下隆起肿物 , 表面粘膜光滑 , 起源于食管固有肌层 , 累及食管全周 , 病情非常复杂 。
CT图像显示肿瘤环绕食管全周 , 压迫食管腔 , 肿瘤长径达8cm
术前超声胃镜检查发现食管几乎完全堵塞
“肿瘤不仅非常大 , 而且呈O型包绕食管全周 , 手术中想要完整切除还要保护食管粘膜不受损伤 , 简直是难于登天!”看完检查结果后 , 杨浩贤主任医师认为病情比想象中更复杂 。
但是 , 机器人手术系统就是让以往不敢想象的事成真 。 基于团队丰富的机器人精准微创手术经验 , 杨浩贤团队认为在手术机器人的协助下 , 不仅能够彻底切除肿瘤 , 而且能够完整保留整条食管 , 并且是在微创切口下完成 。
- 泰康|构建“保险新生态”下的互联网普惠保险体系,泰康在线荣获“年度最佳互联网保险公司”
- 肠胃病|三种材料贴在肚脐里,可以治肠胃病,比吃药都好
- 健身|Keep,不定义边界
- 衰老|人体在三个年龄前后,容易发生“断崖式衰老”,望你早做了解
- 运动|轻断食好在哪?不仅可以瘦身,还能让你变年轻
- 大力士|突发!大力士“魔山”在卧推252.5公斤时胸肌撕裂
- 抗癌|长期喝白酒可以延年益寿,预防肿瘤?喝白酒是好还是坏?真相来了
- 饮食|少吃多动你为什么瘦不下来?4个方法让你在夏天一瘦到底
- 腹腔镜|顶尖疼痛专家共聚江城 探究疼痛治疗难题首届湖北省医师协会疼痛科医师分会学术年会在汉举办
- 输液|小时候经常打的“屁股针”,见效快又便宜,为啥现在几乎不见了?
