胸腔积液|肺癌最可怕的不是疾病本身,而是伴随的并发症
【 胸腔积液|肺癌最可怕的不是疾病本身,而是伴随的并发症】癌症并发症是指在自然病程发展过程中,肿瘤发生侵犯、转移到某些脏器,或者是在治疗过程中因手术、放化疗而难以避免所产生的一系列综合病症,某些癌症并发症是患者首发症状。

文章插图
广州中医药大学金沙洲医院国际肿瘤医疗中心毛迪生教授提到:癌症并发症对患者的生命、生活质量均会产生不同程度的影响,严重的并发症甚至是肿瘤患者的主要死因,约有80%-90%的病人死于肿瘤并发症,而非肿瘤本身。
肺癌患者常见的并发症有哪些?
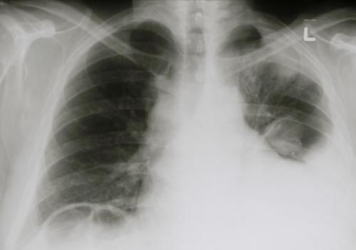
1、恶性胸腔积液
胸腔积液在肺癌中的发生率约为 7~23%,其中恶性胸腔积液约占胸腔积液的 90~95%,患者主要表现为进行性加重的呼吸困难、胸痛和干咳。呼吸困难的程度与胸腔积液量的多少、胸液形成的速度和患者本身的肺功能状态有关。

文章插图
当积液量少或形成速度缓慢,患者呼吸困难较轻,仅有胸闷、气短等;若积液量大则肺脏受压明显,患者呼吸困难程度加重,甚至可能出现端坐呼吸、发绀等。
2、血栓
血栓是由于动脉硬化或血管内壁损伤等原因,使心脏或血管内部少量血液凝结,形成的块状物。当血凝块脱落并通过血液循环向器官流动时,就会发生其他部位的栓塞。据研究表明晚期非小细胞肺腺癌患者静脉血栓的发生率为15%,而且治疗过程中,部分药物的使用也有导致血栓的风险。

文章插图
一旦血栓栓塞心脏、脑部、肺部等重要部位,可能引起严重的心、脑、肺梗塞,甚至可能危及生命。脑梗的主要症状为偏瘫、失语;心梗的主要症状为心前区绞痛;肺栓塞主要症状为剧烈胸痛、呼吸困难等;下肢血栓形成则会引起下肢肿胀、疼痛、间歇性跛行等症状。
血栓是“隐形的杀手”,常常无明显症状,或者症状轻微,很多人不以为意。就拿下肢深静脉血栓来说,早期可能仅仅为小腿酸胀不适,但是一旦出现典型症状如胸痛、呼吸困难时往往已经耽误了最佳时机。所以我们应当警惕以上症状,积极治疗,争取将血栓扼杀在摇篮之中。
3、骨关节症状
此类症状较为多见,也是肺癌早期常见的症状。由于肺癌细胞可产生某些特殊的内分泌激素(异源性激素)、抗原和酶,这些物质运转作用于骨关节部位,而致骨关节肿胀疼痛,常累及胫、腓、尺、桡等骨及关节,指趾末端往往膨大呈杵状指,x线摄片检查可见骨膜增生。
4、心血管系统并发症

文章插图
年老体弱,手术中纵隔与肺门的牵拉刺激,低钾,低氧及大出血常成为其诱因,常见的心血管系统并发症有手术后低血压,心律失常,心包填塞,心力衰竭等,对于老年病员,手术前已有心脏疾患,心功能低下者手术指征应从严掌握,手术后保持呼吸道通畅及充分给氧,密切观察血压,脉搏变化,及时补充血容量,手术后输液速度应慢速,均衡,防止过快,过量诱发肺水肿。
毛迪生教授提醒大家:肺癌不是一种疾病,而是一类疾病。每个肺癌患者的具体病情都不尽相同,尽可能多地了解疾病进展的症状,及其相关的并发症,做好充足的准备应对病情进展,早发现早治疗,才有可能获得更长的生存期。
- 疫情|天津危重病例:为肺癌患者,未接种疫苗
- 人员|天津确诊1例危重病例:为肺癌患者,入院时体温38℃,神志不清
- 呼之|天津确诊危重病例为未打疫苗肺癌患者
- 林锦|天津确诊1例新冠肺炎危重病例?为肺癌患者,未接种疫苗
- 接种|天津确诊1例新冠肺炎危重病例?为肺癌患者,未接种疫苗
- 疫苗|天津确诊1例新冠肺炎危重病例:为肺癌患者,未接种疫苗
- 肺癌早期有六个蛛丝马迹 你要注意
- 不想得肺癌,除了不抽烟,还要远离这 2 样东西
- 恶性肿瘤|吴一龙研究成果登上权威期刊,III期肺癌患者有了新方案
- 附属肿瘤医院|非小细胞肺癌PD-L1新药舒格利单抗(择捷美)上市开售,广东首单处方开出!
