陕西省|西安交大一附院联合陕西省妇女儿童发展基金会救治双胎脑梗少年
15岁的花季 , 本可以自由的奔跑 , 可张玉顺教授眼前这个孩子只能坐在轮椅上连站立都困难 , 十分的惋惜:“要是早些时间来检查就好了 , 孩子也不至于这样受罪 。 ”看着与他同胞的哥哥 , 就幸运得多 , 经过了弟弟的前车之鉴 , 哥哥也做了相关检查 , 竟然也是同样的病 , 到底是什么病让兄弟两个及这个家庭备受折磨呢?
【陕西省|西安交大一附院联合陕西省妇女儿童发展基金会救治双胎脑梗少年】
文章图片
一个月前 , 家住安康汉滨区李先生15岁双胞胎儿子的弟弟李平(哥哥李军 , 均为化名)正在学校食堂吃饭 , 突然眼前一黑摔倒在地 , 左侧肢体无力 , 言语含糊 , 头晕头痛 。 急诊送入安康市第一人民医院 , 诊断为“右侧大面积脑梗死” , 溶栓治疗后效果差 , 左侧肢体仍无法活动 , 言语含糊 。 为了进一步治疗到交大一附院神经内科 , 颅内血管造影正常 , 相关医生找到结构性心脏病科张玉顺主任 , 经过MDT会诊后 , 得出了“先天性心脏病”是元凶的结论 。
文章图片
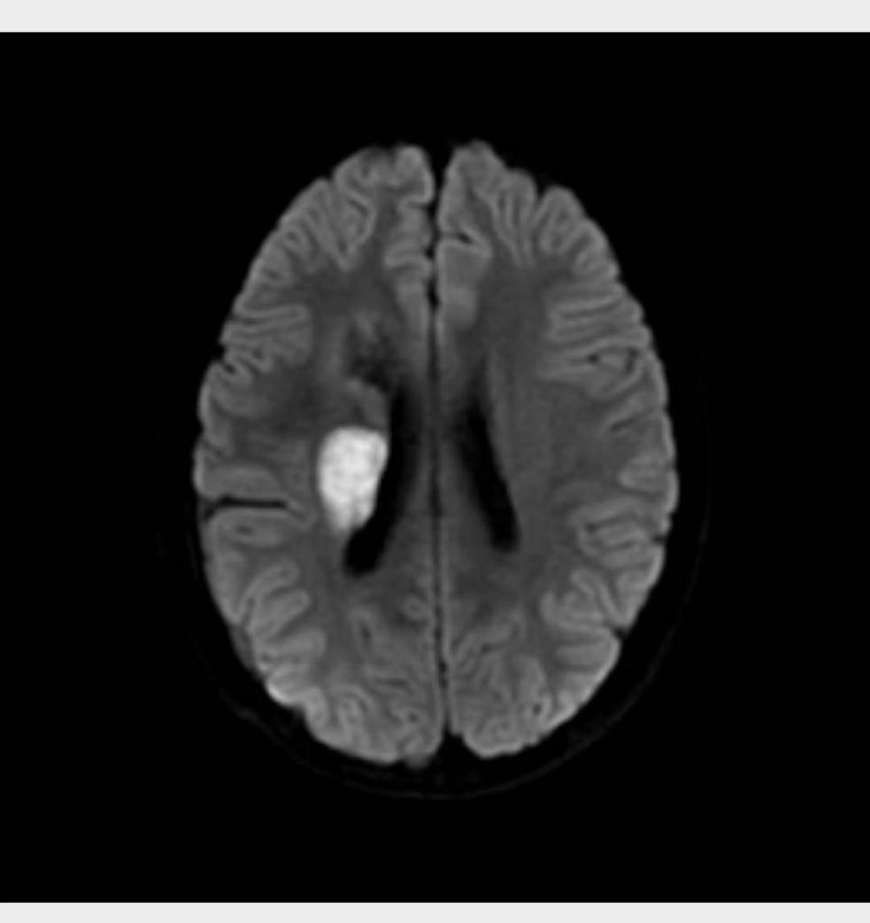
图为李平脑梗后的核磁共振检查
然而屋漏偏逢连阴雨 , 哥哥李军做检查后也发现了先天性房间隔缺损 , 对于李先生来说母亲患病多年生活无法自理 , 妻子常年患有风湿 , 十几年来一直依赖药物治疗 , 一家的生活用度主要靠他在建筑工地上打工维持 。 本来家庭负担就沉重 , 这下两个孩子查出了先心病都要做手术 , 弟弟李平后续的康复治疗更需要费用 , 无疑对他和这个家庭都是沉重的打击 。 了解到这个情况后 , 张玉顺团队专门联系了陕西妇女儿童发展基金会“本真救心基金” , 基金会在了解情况后 , 全力协助解决了俩少年的治疗费用 , 为李家解决了燃眉之急 。 9月16日和22日两天 , 在张教授的亲自带领下 , 西安交大一附院张玉顺团队为李军李平兄弟顺利实施了封堵手术 。 两例手术都非常成功 , 24小时后哥哥李军顺利出院 , 而弟弟李平经过交大一附院康复科的治疗也已经能够站立并搀扶行走 。 全家对治疗效果很满意 , 对孩子未来也表达了乐观情绪 。
文章图片
张玉顺教授表示:“如今的卵圆孔未闭、房间隔缺损等先天性疾病已不再是单纯的先心病这么简单了 , 经过我们多中心多年的研究由于几乎高达20%~30%的普通人群、50%的不明原因卒中和60%先兆型偏头痛患者都有PFO(卵圆孔未闭) , PFO相关的神经血管损伤对公共卫生有着重大影响 , 所以心源性脑卒中的预防我们有责任向大众普及 , 早预防、早干预 , 这个孩子的悲剧我们不希望再看到!也特别感谢陕西省妇女儿童发展基金会对先心病患儿的救助让更多的孩子获得健康!”
文章图片
- 统一安排|新华全媒+ | 西安首批低风险区域高校学生离校返乡
- 疫情|西安疫情进入收尾阶段 复工复产中你需要牢记这9条!
- 西安市|详情!西安市新增5例均在隔离管控区发现,治愈出院146例
- 社会面|西安累计报告本土确诊病例2044例 已连续6天无社会面病例
- 部位|西安伊美尔塑形:寻寻觅觅酷塑冷冻溶脂瘦身成功
- 阳性|西安新增5例!在哪儿发现的→
- 感染者|陕西1月16日新增新冠肺炎本土确诊病例5例 均在西安
- “60岁后,两不交,三不碰”,怎么理解?若能做到,健康受益
- 新冠肺炎|西安77个封控区降级!西安部分区域核酸检测点速看
- 来源:西安日报...|叮!中国疾控的寒假健康提示来了,家长请查收
