静脉|癌栓沿着静脉进入心房形势危殆,两大手术团队联手“拆弹”
心房内出现血栓、癌栓 , 一旦脱落后 , 就会成为堵塞血管的致命威胁 。 堵塞肺动脉就会形成肺栓塞 , 堵塞大脑血管就会形成脑梗 。
今年48岁的澳门居民陈先生 , 不幸于一月前被诊断为肝癌 , 而肿瘤的癌栓更是沿着肝静脉生长突破到他的右心房处 , 在心房内摇摇欲坠 , 随时可能脱落 。 由于手术难度大、风险高 , 陈先生经澳门当地医院转至中山大学孙逸仙纪念医院 。 中山大学孙逸仙纪念医院肝胆外科王捷教授、张贺云副教授和心血管外科郑俊猛教授主刀 , 为陈先生在体外循环下实施手术 , 在切除了右心房癌栓的同时 , 行扩大左半肝切除 , 完整切除了肿瘤 。 术后两周 , 陈先生顺利康复出院 。
文章图片
新华社 , 放疗设备 。
癌栓脱落可引起猝死
手术治疗刻不容缓
陈先生回忆 , 自己在三个月前开始觉得左上腹胀痛 , 刚开始并没有太在意 , 直到一个月前腹部疼痛不减 , 于是在澳门当地医院就诊 。 经过CT检查后 , 初步诊断为左肝巨块型癌伴左肝静脉、下腔静脉及右心房癌栓 。
8月31日 , 陈先生转至中山大学孙逸仙纪念医院肝胆外科后 , CT检查提示:左肝癌巨块型肝癌 , 大小约13x13x12厘米 , 左肝静脉癌栓并突入右心房 , 癌栓大小约为4.5x4x3.8厘米 , 距三尖瓣1.5厘米 。 此外 , 右肺动脉主干及右下肺动脉干内充盈缺损 , 未完全堵塞 , 这表明肺动脉里已经开始出现栓子 , 但不确定是血栓还是癌栓 。
王捷教授介绍 , 陈先生肿瘤较大并沿左肝静脉一直往上生长 , 突入到右心房 , 并有脱落征兆 , 已经出现右肺动脉主干及右下肺动脉干内充盈缺损 。 心房癌栓就像一颗“不定时炸弹” , 一旦脱落就会导致肺动脉完全堵栓 , 引起猝死 。 这意味着 , 陈先生随时可能有生命危险 , 手术治疗已经刻不容缓 。
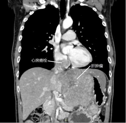
文章图片
CT检查显示 , 陈先生肝脏肿瘤突入右心房
多学科专家联手
一次手术解决两个“难题”
【静脉|癌栓沿着静脉进入心房形势危殆,两大手术团队联手“拆弹”】在王捷教授主持下 , 医院肝胆外科、心血管外科、外科ICU、麻醉科、介入科、输血科等科室专家进行多学科会诊讨论后 , 详细计划手术方案 , 决定在气管内麻、行体外循环下 , 为陈先生实施右心房取栓和扩大左半肝切除术 。
根据计划 , 手术分为三步:第一步 , 先由王捷教授离断入左肝血流 , 预留控制第一肝门、与肝下下腔静脉索带 , 在不搬动肝脏的前提下 , 离断肝周粘连及前入路离断左右叶间肝实质;第二步 , 由心血管外科郑俊猛教授为陈先生进行体外循环 , 停止心脏跳动 , 阻断主动脉弓、第一肝门 , 上、下腔静脉入心脏血流 , 切开左肝静脉及右心房取栓 。 取栓后缝合关闭心房术口 , 心脏复跳并停止体外循环 , 中和肝素引起的凝血障碍;第三步 , 交给王捷教授团队继续进行左半肝切除 , 完整切除肿物 。
在充分准备和详细计划好后 , 9月9日 , 由王捷教授和郑俊猛教授主刀 , 为陈先生在体外循环下实施手术 。 术中发现陈先生肝肿物因为生长过快、过大 , 已经发生破裂出血 , 腹腔内有积血 , 手术治疗更加迫在眉睫 。
术中按照原既定方案 , 在肝胆外科、心血管外科、麻醉科的良好配合下 , 专家团队顺利为陈先生实施了体外循环下 , 左肝静脉、右心房切开取栓和扩大左半肝切除术 。 耗时约7小时后 , 术中出血约3000ml , 手术顺利完成 , 术后转入SICU 。 围手术期陈先生恢复良好 , 术后第6天由SICU转回普通病房 , 之后按计划拔除心包、纵隔、肝创面引流管 , 并于术后第13天顺利出院 。 原本忧心忡忡的陈先生和家人 , 终于能放下心来 , 度过一个快乐祥和的中秋节 。
- 医生|手术中突然腔静脉突然撕开一个口子,麻醉医生立即大喊:快放气!
- 静脉|宝爸宝妈要记牢,小儿感冒要当心!
- 发生率|动静脉内瘘的精益化管理
- 静脉|【护理科普】带您了解抗血栓梯度压力袜
- 静脉曲张|腊八时节,喝粥、吃蒜有讲究
- 动静脉内瘘|透析老人突发内瘘闭塞!溶栓2小时,终打开“生命通道”!
- 站了好长时间之后|带您了解下肢静脉曲张
- 市场|红日药业依诺肝素钠注射液获批,用于预防静脉血栓形成等
- 静脉|身上5个部位出现“青筋凸起”,或是身体在“报警”,及时检查
- 静脉|“三九天”老年人运动安全第一
