主动脉瘤|险!主动脉里长出青芒大的瘤

文章插图
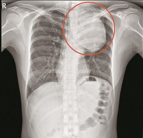
▲胸片显示动脉瘤很大
深圳晚报讯 (采访人员 王宇 通讯员 王小欢) 吵架生气、赶个公交、爬层楼梯就可能引爆的人体“不定时炸弹”,深圳90后小茹最近不幸查出体内长了一个青芒一般大的瘤子,医生说这虽然不是肿瘤,却比肿瘤更凶险,随时会危及生命。
小茹很年轻,今年才27岁,一个月前的一个周末,她像往常一样在电脑前煲剧,一看就是四个小时,之后就开始觉得胸闷,继而有刺痛感,她以为是坐太久了,就起来活动一下筋骨,胸闷胸痛的情况果然缓解了。
可是之后的一两周内,她反复出现同样的症状,痛的地方也都一样,在两侧锁骨中间,范围是半个巴掌大小,她摸着,好像有块肿物,在“突突”地跳动。于是她到医院检查,被诊断体内有个巨大主动脉瘤。她和家人顿时蒙了。
“患者的胸主动脉瘤非常大,位于主动脉弓降部,它会像吹气球一样,越长越大。正常人的主动脉弓部只有香肠那么大,而患者的主动脉瘤直径达75mm,已经有青芒那么大了,是正常人的5倍,瘤子像一条蟒蛇一样,从颈部长到膈肌,深入隐藏在患者体内。”南方医科大学深圳医院心脏与血管外科主任杨建安说。
医生说,主动脉瘤不是肿瘤,没有良、恶之分,通俗地讲就是血管上的瘤子,其实是体内主动脉某部分血管壁出现病理性扩张,向外“瘤样”膨出,扩张程度一般超过正常血管的50%。但是巨大的主动脉瘤比肿瘤更凶险,因为主动脉是全身最大的动脉,是输送血液的“主干道”,心脏泵出的血液都要经过主动脉输送到各脏器及全身毛细血管。一旦主动脉瘤破裂,势必危及生命,因此主动脉瘤常被称为人体的“不定时炸弹”。
根据病因、内径或病变部位,胸主动脉瘤每年可扩张0.1cm至1cm,一般胸主动脉瘤的内径越大,扩张速度也越快。未经治疗的胸主动脉瘤患者的一年、三年、五年存活率分别为65%、36%和20%。
【 主动脉瘤|险!主动脉里长出青芒大的瘤】而患者小茹的胸主动脉瘤已经是正常人的5倍,血管壁已经被撑得很薄,管壁只有1mm,随时可能破裂,血压一旦升高,比如生气、解大便、跑步等,都可能引起瘤子破裂,必须马上“拆弹”。
这个“拆弹”手术是一种难度极高的手术,技术要求高,手术时间长,风险也大,需要多学科合作,省内仅有少数大医院能够独立开展。辗转省内、市内多家医院,小茹终于在南方医科大学深圳医院安排上了手术。
在麻醉科、影像科、输血科等科室的大力支持下,心脏与血管外科展开了惊心动魄的手术。整个手术十分顺利、高效。经过一段时间的康复,小茹已经出院。
据悉,胸主动脉瘤多发病于50至60岁,男性多见,可单独发生,也能同时合并腹主动脉瘤。每年10万人中发病率约为5.6至10.4人,近年来因人口老龄化和检查方法的进步,发病率有增加趋势。
其实,血管瘤不难发现,心脏彩超、CT、X光片都能把它“揪”出来。医生建议,市民每年都应该进行一次全面的身体检查,特别是40岁以上的人群建议每年体检做一次胸部、腹部、超声或CT的检查,提早发现身体的安全隐患,做到早发现,早治疗。血管疾病虽然偏爱老年人,但年轻人一旦出现不明原因的血压升高、胸部疼痛、肢体发凉、活动后疲劳、摸不到脉搏等,都可能是血管疾病的表现,应该尽快到医院检查,排除主动脉瘤的可能。
作者:王宇
来源:深圳晚报
- 人员|速扩!江西疾控刚刚发布新冠疫情紧急风险提醒!这些人须集中隔离!
- 血压|主动脉夹层可夺命?这五类人是高危人群,需高度重视
- 宜温阳|郭德尚:肝硬化腹水的主要病机
- 过量食肉带来的危险 你知道么
- 两地|河南新安县两地调整为低风险地区,县域内全面解封
- 救治|丨绿色通道丨多学科通力合作抢救无保护左主干前壁心梗患者
- 两地|河南洛阳两地调整为低风险地区,洛阳全域均为低风险
- 洛阳|河南洛阳新安县全域均为低风险地区
- 统一安排|新华全媒+ | 西安首批低风险区域高校学生离校返乡
- 胰岛|45岁大姐浑身瘙痒难耐,确诊糖尿病,内科主任:吃一口堪比10斤糖
