神经纤维瘤|医院先后来了两个男子,毛病几乎一样脖子上长了“鹌鹑蛋”,按按手还有触电的感觉……
这天,浙大邵逸夫医院神经外科来了两个长“鹌鹑蛋”的男人。
患者张先生一进到神经外科李新伟主任医师的诊室,就指着脖子开始倾诉。“李主任啊,快给我看看,我这脖子这儿长了个块,摸起来像鹌鹑蛋!在我转头低头的时候,鹌鹑蛋会卡住脖子,有时候还会手麻……”
李新伟主任医师摸了摸张先生脖子上的肿块,圆滚滚的,还有一定的活动度,李医师建议张先生住院治疗。
张先生拿着住院预约单前脚刚走出诊室,患者赵先生后脚就进了李医师的诊室。
赵先生拉开T恤的领子,指着脖子根和李医师说,他这长了个圆圆的肿块,按压肿块时手会有触电的感觉。
医生一摸一看,这不是跟刚出门的张先生是一样的病症嘛!他建议赵先生也住院治疗。
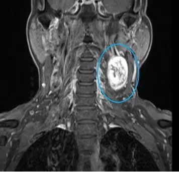
张先生和赵先生住院以后都做了颈部的磁共振检查,检查结果显示张先生的肿块长在了下颌角的边上,肿块还包绕着颈部的大血管。而赵先生的肿块是从臂丛神经上长出来的。

文章插图

文章插图
张先生颈部磁共振 医院供图

文章插图

文章插图
赵先生颈部磁共振 医院供图
李新伟主任医师为两位患者安排了手术治疗。
张先生的肿块包绕着血管,医生采取了分块切除的方式。而赵先生的肿块则是完整地剥离下来。

文章插图
赵先生的肿块 医院供图
【 神经纤维瘤|医院先后来了两个男子,毛病几乎一样脖子上长了“鹌鹑蛋”,按按手还有触电的感觉……】两位患者的手术病理结果显示均为神经鞘瘤,术后都没有出现上肢的感觉和运动障碍。
周围神经肿瘤主要分为神经鞘瘤和神经纤维瘤两类。
神经鞘瘤,多为良性肿瘤。各种年龄、不同性别均可发生。
可发生在全身各处周围神经(如颈丛、臂丛、腰丛神经、肌皮神经、坐骨神经等等),也可发生在颅内和椎管内外的神经根或交感神经。
肿瘤为散在柔软肿块,一般为单发。
症状:通常没有自觉症状,但有时伴有疼痛及压痛。比如肿瘤累及神经组织时,则可发生感觉障碍,特别是在相应的部位发生疼痛与麻木。运动障碍很少见到,最多在受累部位表现力量微弱。受累神经干途径上触及圆形或椭圆形的实质性包块,质韧,包块表面光滑,界限清楚,与周围组织无粘连。
神经纤维瘤,多发生于皮下,可单发也可多发,多发性的又称神经纤维瘤病。
神经鞘瘤中神经纤维仅是被肿瘤压迫,不切断神经也可摘出。部分神经纤维瘤的生长方式跟神经鞘瘤不一样,可能包绕大部分神经束,切除困难。
医生提醒:因为全身所有部位都可能长这种肿瘤,患者往往不知到哪个科室就诊,容易导致误诊,如果得到不恰当的治疗往往导致严重的后果。当身上摸到的肿块会引起局部疼痛麻木的时候,要及时到神经外科就诊。
采访人员 金晶
通讯员 王家铃 李文芳 朱吟心
编辑 吴晶晶

文章插图
【来源:都市快报】
声明:转载此文是出于传递更多信息之目的。若有来源标注错误或侵犯了您的合法权益,请作者持权属证明与本网联系,我们将及时更正、删除,谢谢。 邮箱地址:newmedia@xxcb.cn
- 射线|北京北城甲状腺医院提醒:甲状腺疾病高发要如何预防?这5件事要做好
- 脏腑|重庆肿瘤专科医院:中医帮你调和气血,平衡阴阳
- 心脑血管|大荔中医医院脾胃肺病科“妙手回春”受到患者的称赞
- 治疗|治疗运动神经元的方法有哪些呢?
- 需求|预约诊疗 | 齐齐哈尔市中医医院1月17日—1月23日医生出诊一览表
- 变化|邵东市中医医院:血压很“善变” 怎么办?
- 疾病|永州中心医院消化科成功开展内镜下内痔套扎术
- 运动神经元患者案例分享
- 解读|《浙江省医院门诊管理办法》政策解读
- 中藏医院|四川省骨科医院与松潘县中藏医院专科联盟
