肺部|肺部磨玻璃结节8mm怎么办?如何判断良恶性?医生教你一招
现在越来越多的人在体检的时候发现肺部有结节,而磨玻璃结节则属于肺结节中的一种类型,那么体检发现了磨玻璃结节应该怎么办?对于8mm左右的磨玻璃结节,如何管理才科学合理?今天刘医生就给大家讲一讲磨玻璃结节的相关问题。
首先,什么是磨玻璃结节?它是肺癌吗?
我们人体肺组织内的结节,一般在影像学上可以分为三种类型,也就是实性结节、磨玻璃结节和混合密度结节。磨玻璃结节一般呈稍高密度影,它在CT图像上高于周围肺组织的密度,但是增高的程度还不足以掩盖里面的血管和支气管影,跟磨砂玻璃有点像,所以称其为磨玻璃结节影。
大部分人最为关心的就是磨玻璃结节是早期肺癌吗?那么在这里刘医生首先要告诉大家,虽然说有的早期肺癌可以表现为磨玻璃结节,但是肺部其他的一些疾病,比如炎症、感染、纤维化等,都是可能表现为磨玻璃结节影,所以大家千万不要把磨玻璃结节和肺癌划等号。而且绝大部分磨玻璃结节都是良性的,所以大家也不要过度恐慌。
对于8mm的磨玻璃结节怎么办?
一般对于磨玻璃结节,如果没有办法确定良恶性,通常都是进行随访观察,而至于随访的时间,往往需要根据结节大小不同,而选择不同的随访时间。
对于8mm的磨玻璃结节,刘医生首先建议3个月就要随访一次;如果没有任何变化,那么再间隔3个月随访一次;如果还是没有变化,那么可以间隔半年复查;随后如果结节还是没有变化或者有缩小,那么可以改为每年复查一次。而如果在随访复查的过程中结节出现了增大,或者实性成分出现了增多,那么就要高度怀疑是早期肺癌的可能,这个时候刘医生建议积极咨询专科医生,积极进行手术切除治疗。
所以从上面可以看出,对于8mm的磨玻璃结节,如果没有其他任何病灶,最主要的还是随访观察;当然如果肺部还存在其他的一些感染灶,那么建议可以进行抗炎治疗后复查,因为如果是炎症引起的磨玻璃结节,往往可以在抗炎治疗后消失。

文章插图
两个病例,告诉你随访的意义。
【 肺部|肺部磨玻璃结节8mm怎么办?如何判断良恶性?医生教你一招】接下来刘医生给大家举两个例子,让大家明显随访的意义。
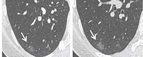
我们先来看第一个病例,如下图:

文章插图
患者第一次体检,查出右肺磨玻璃结节(上图左侧),对于这种结节,我们没有办法确定性质,于是建议随访复查,间隔半年之后,患者复查胸部CT,发现结节有增大(上图右侧),于是立即进行了手术切除,结果术后病理证实为肺腺癌。
再看第二个病例,如下图:

文章插图
患者第一次检查发现左肺结节(上图左侧),对于这种结节,我们同样也没有办法确定性质,但是结节有点大,于是建议患者三个月复查,三个月患者再次做了胸部CT(上图右侧),结果发现原来的结节消失不见了。那么对于这种消失不见的结节,我们可以很确定地说它是良性的结节。
所以通过这两个病例我们可以发现,对于第一次发现的磨玻璃结节,如果没有办法确定性质,那么就一定要做好随访观察,因为在随访复查的过程中,我们往往可以确定结节的性质;可能很多人又会问,那么可不可以发现就直接手术切掉呢?在这里刘医生告诉大家,由于大部分结节都是良性的,如果第一次发现就手术切除,那么会造成很多不必要的过度治疗,这对于患者也是一种伤害,所以最好的办法还是通过随访观察来确定其性质。
- 戒烟|长期抽烟的人,若能轻松完成这4个测试,或说明肺部保养得还不错
- 体验传统年俗磨豆腐张森摄中新网温州1月16日电(范宇斌 黄丽云)“杀猪啦!”“来|企业员工浙南山区体验别样“畲族年”:重温儿时年味
- 肺部|肺部漏气引发气胸 及时手术改善呼吸
- 刚磨好的新鲜豆浆|【新春走基层】郎溪梅渚素鸡:老手艺里的老味道
- 把它磨成粉,每天一小碗,降糖降脂,扩血管,安神……
- 中国医师协会|直播预告丨“大侦探”带您拨开磨玻璃结节迷雾
- 葛根醇|把它磨成粉,每天一小碗,助安神,血糖也帮你稳了
- 脐橙的用途 橙皮能磨去死皮
- 肺部结节|肺部结节不一定是肺癌!4类结节,不是恶性,或不会癌变
- 经常散步对肺部有好处吗?提醒:肺喜欢3件事,想养肺要常做
