颈部|小肿块“绕颈”生长30年成巨大癌肿,连克难关将其完整切除
8岁开始就发现有甲状腺肿物 , 30年后这一肿物竟然绕着脖子长成了一个庞然大物——最大瘤体直径超过20厘米的甲状腺癌 。 肿瘤压迫气管、包绕颈部大血管 , 手术风险非常大 。
中山大学孙逸仙纪念医院耳鼻喉科主任黄晓明教授经过严密术前准备后 , 为患者完整切除肿瘤 , 未损伤喉气管及喉返神经 , 术后康复良好 , 目前已康复出院 。
文章图片
小肿物长成巨肿瘤 , “绕颈”生长压迫气管
何女士今年38岁 , 据她回忆 , 自己患甲状腺肿物快30年 , 10余年前肿物已经明显肿大 , 形似“大脖子” 。 在当地医院就诊时 , 医生因甲状腺肿物太大 , 与血管及神经关系密切 , 手术风险较大而不敢手术 。 十余年来肿物进一步增大 , 何女士到多家医院求医无果 , 最后经人介绍辗转到中山大学孙逸仙纪念医院 , 找到耳鼻喉科黄晓明教授 。
入院后经过超声及CT检查 , 黄晓明教授团队发现何女士的巨大甲状腺肿物已向下进入胸骨后方 , 压迫气管 , 并将喉推向一侧 。 甲状腺细针穿刺病理检查提示 , 甲状腺乳头状癌伴颈部淋巴结转移 , 最大直径超过20厘米 , 部分肿物已经探及颈后区和锁骨下方 。 术前胸部CT提示双肺多发转移瘤 。
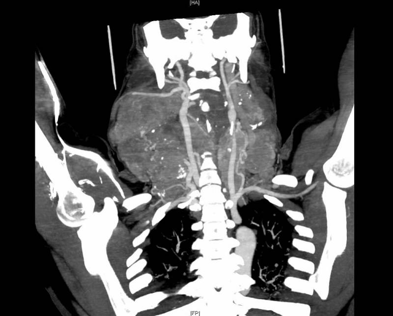
文章图片
术前CT片显示颈部巨大甲状腺癌及淋巴结转移瘤 , 包绕颈部大动脉
【颈部|小肿块“绕颈”生长30年成巨大癌肿,连克难关将其完整切除】医生克服“三大难关” , 手术完整切除肿瘤
“甲状腺乳头状癌是常见的甲状腺恶性肿瘤 , 但如此巨大的甲状腺乳头状癌实属罕见 。 ”黄晓明教授介绍 , 面对这么棘手的病例 , 团队通过多学科会诊后 , 确定以手术为主 , 术后辅以碘131治疗的综合治疗方案 。
通过严密术前准备 , 在麻醉科的配合下 , 黄晓明教授团队历时5小时 , 将这一累及全颈的巨大甲状腺癌完整整块切除 , 切除的肿物总长超过40厘米 。 手术过程未损伤喉气管及喉返神经 , 患者没有出现声嘶及呼吸困难 。 同时 , 原位保留双侧上下甲状旁腺 , 术后甲状旁腺功能良好 。 何女士康复良好 , 并于近日顺利出院 。
黄晓明教授指出 , 处理这一巨大甲状腺癌病例 , 需要面对三大难关:第一 , 肿物巨大 , 生长时间长 , 供养血管丰富 , 同时与颈部大血管关系密切 , 稍有不慎即可导致难于控制的大出血 。 因此 , 术前需仔细制定手术切除的步骤 , 及面对各种出血的应对措施 , 缩短手术时间 , 减少创面渗血 。 第二 , 甲状腺癌巨大 , 合并颈部多发淋巴结转移瘤 , 与周围结构分界欠清晰 , 导致甲状旁腺移位 , 原位保留甲状旁腺难度极大 。 而甲状旁腺原位保留 , 可避免术后患者出现低血钙 , 明显改善患者的生活质量 。 第三 , 术前检查提示气管受压 , 喉软骨受压并移位 , 术中常规保护喉返神经的基础上 , 还需考虑处理气管及喉软骨病变的可能 , 以保证术后气道安全 。
甲状腺癌虽性情“温和” , 手术切除应规范
黄晓明教授指出 , 随着现代人工作生活压力陡增及甲状腺超声体检的普及 , 甲状腺癌发病越发增多 。 最新流调显示 , 我国甲状腺癌发病率在2005到2015年之间 , 年均增加12.4% , 同时甲状腺癌死亡率同步增加 。
“大多数甲状腺乳头状癌分化较好 , 但容易早期发生颈部淋巴结转移 , 处理欠规范容易导致术后复发 , 是甲状腺癌致残及致死的重要原因 。 ”黄晓明教授介绍 , 该甲状腺癌患病时间长 , 跨度大 , 肿瘤巨大 , 手术风险高 。 因此 , 甲状腺癌虽是常见癌症 , 性情相对温和 , 但也要根据每位患者情况 , 及时手术切除 , 以免产生后患 。 同时 , 甲状腺癌有不同的起源和分化类型 , 术前需根据超声及穿刺病理结果 , 结合CT、甲状腺抗体、标记物及基因检查等结果 , 与患者沟通后 , 制定规范的治疗和手术切除方案 。
- 不要吃太饱 小心健康隐患
- 小儿咳嗽可不都是肺热?小儿咳嗽也分好多种,你知道吗
- 糖尿病的小零食,预防血糖多吃开心果
- 脊柱|邵阳学院附属第一医院脊柱骨病科、康复科携手让26岁瘫痪小伙再行走
- “我家今年卖了3万多元|盛开的“浪漫经济”!小金县新桥乡花农喜领玫瑰花款490万元
- 要求|孕妇餐后2小时血糖高咋办?
- 过几天小年,提前多吃吉利菜,下饭又开胃,招财又顺水挡都挡不住
- 湿气|冬瓜和此物一起煮来吃,湿气没了,便秘消失了,小肚子也不见了
- 市民|5小包零食等于一碗米饭,吓得我住嘴了!
- 胃黏膜|吃一口或相当于5斤小米,消化科主任:若你爱吃,胃一天比一天强壮
