弹簧|图解21种腹部疼痛原因
图解21种腹部疼痛原因
1 急性阑尾炎

文章图片
2 急性胆囊炎

文章图片
3 急性胰腺炎
4 空腔器官穿孔

文章图片
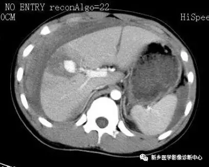
5 肝破裂出血

文章图片
6 胰腺破裂

文章图片
7 脾脏破裂

文章图片
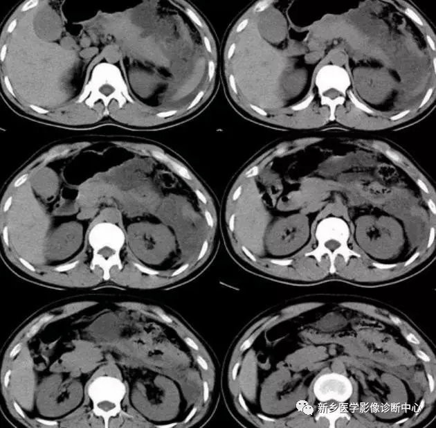
8 肾破裂

文章图片
9 十二指肠闭锁

文章图片
10 环状胰腺

文章图片
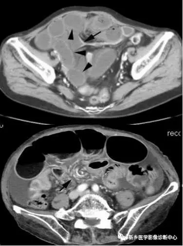
11 腹股沟疝

文章图片
12 肠套叠

文章图片
13 肠梗阻

文章图片
1.肠梗阻:中腹部多发阶梯状 , 马蹄状液平 。 2.空肠不全性梗阻 。
1.空肠不全性梗阻:空肠扩展呈弹簧状 。 2.空肠机械性梗阻:弹簧征

文章图片

文章图片

文章图片

文章图片
14 小肠扭转

文章图片
15 腹内疝伴绞窄性肠梗阻

文章图片
16 肠系膜静脉梗死

文章图片
17 夹层动脉瘤

文章图片

文章图片
18 肺动脉栓塞

文章图片
19 强直性脊柱炎

文章图片
【弹簧|图解21种腹部疼痛原因】20 肾结石

文章图片
21 异位妊娠

文章图片
来源:新乡医学影像诊断中心
【版权声明】本平台属公益学习平台 , 转载系出于传递更多学习信息之目的 , 且已标明作者和出处 , 如不希望被传播的老师可与我们联系删除
- 按摩|图解:上病取下,百病治足!
- 报告|图解核酸检测!带你了解从“捅签签”到“绿码码”全过程
- |中医:小小舌头,大有乾坤;认识几种常见的经典舌头,带详细图解
- 全身|18个全身拉伸动作图解,赶快收藏
- 上海市|【图解】一图读懂上海市公立医院高质量发展的实施方案
- 灭痘不同阶段,不同手法【图解】
- 弹簧床垫5年换一次
- 2021年最后一波福利啦!倒计时不足最后10天是时候告别牙齿缺牙、牙齿不齐、牙齿松动脱落...|2021种植牙年终回馈,名额有限,限时申领!
- 瑜伽|图解瑜伽体式|加强侧伸展,到底加强哪里的伸展?
- 糖尿病|疾病高发和区域口味有关?这种口味地图解答了,你是哪一种呢?
