肝脏|体检发现“肝囊肿”怎么办?会不会变癌?要不要吃药?医生给你说清楚
作者:胃肠病科普
来源:胃肠病
体检偶然发现了“肝囊肿”、“肝脏囊性灶”、“多发肝囊肿”等 , 你是不是吓坏了呢?难道真的是肝出了大问题?这是不是癌?
今天 , 我们就来说说 , 体检发现肝囊肿怎么办?会不会变癌?要不要吃药?

文章图片
通俗地说 , 肝囊肿就是肝脏上的水泡 , 一般不和外面相通 , 位置较浅或个头大的 , 可突出来 , 使肝表面变得不光滑 。
囊肿大小不一 , 小的如针尖 , 大的像个椰子 。
但是多数就是几毫米到几厘米大 , 可以是一个 , 也可以是好几个 , 内部结构可以是‘单间’ , 也可是‘套间’ , 囊内还会有液体 , 所以看起来就像个水泡 。

文章图片
可以这样分类:
①单纯性肝囊肿和多发性囊肿疾病(先天性疾病 , 通常肝脏及肾脏同时多发囊肿);
②包虫病、囊腺瘤、先天性肝内胆管扩张;
③罕见的有恶性肿瘤、创伤肝内血肿、肝内胆汁瘤 。
正是因为引起肝囊肿病变病因范围较广 , 所以针对不同肝囊肿病变的处理诊疗方式也是大相径庭的 。
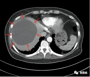
超声是最有效的初检手段 , 如果需要进一步鉴别 , 可以再做CT或者核磁共振 , 甚至穿刺针吸活检等检查 。

文章图片
CT如下图所示
大多数肝囊肿无明显症状 , 仅在B超或CT检查时偶然发现 , 少数可表现为餐后饱腹感、食欲减退、腹痛腹胀等 , 尤其是体积较大的肝囊肿 。
肝囊肿需要治疗吗?
肝囊肿的治疗应视其大小、性质变化及有无并发症而定 , 一般生长缓慢 , 大多数不需要治疗 , 定期体检复查即可 , 若肝囊肿不发生明显变化、不影响身体健康则无需特殊处理 。 目前尚无特效预防办法 。
最常见的单纯性肝囊肿 , 在超声检查中表现为肝脏内部出现的澄清液体的囊性结构 , 偶然体检发现的无症状患者不需要对肝囊肿进行治疗 , 单纯性肝囊肿也不需要反复做检查 。

文章图片
囊肿小的 , 可以1-2年复查一次彩超 , 囊肿比较大的 , 半年到1年复查一次为妥 。
巨大囊肿有自发性出血、感染、破裂及压迫胆道导致梗阻可能 , 需在医生的指导下做进一步检查及治疗 , 可行囊肿穿刺抽吸或肝切除等外科手术治疗 。
治疗方法包括囊肿穿刺抽液后无水酒精注射术、囊肿开窗术、囊肿引流术或囊肿切除术等 。
如诊断明确为包虫病 , 主要治疗方式为手术治疗 , 抗寄生虫药物辅助治疗 。
肝囊肿会癌变吗?
绝大多数的肝囊肿不会发生癌变 。
有两种情况虽然极少发生 , 但仍应该警惕:
一、诊断错误 , 原本就不是肝囊肿 , 而是肝脏囊腺癌;
二、有较长的肝囊肿病史 , 随访中影像学检查发现囊肿壁从光滑发展到呈结节状 , 可能伴有血清CA199或CA125等指标水平的升高 , 这时囊肿可能出现癌变 。
三、多发性肝囊肿有时还需要与肝内胆管囊性扩张症进行鉴别 , 后者往往与肝内胆管相通 , 如果将肝内胆管囊性扩张症当做肝囊肿治疗 , 将可能造成灾难性的后果 。 而临床上鉴别这两种疾病 , 则需要加做核磁共振肝胆管成像检查(MRC) 。
总结
总而言之 , 在体检或因不适就诊时发现“肝囊肿” , 不用慌张 , 主动向医生说出自己是否有不适 , 是否有旅游或者特殊经历病史 , 配合医生的检查及诊疗即可 。
- 血管|高血脂的“特效药”被发现,每天吃一点,血管通畅,血脂轻松降
- 甘肃|广西崇左、广东梅州发现核酸阳性人员,甘肃疾控紧急提醒
- 肝脏|喜欢喝酒的人,身体有7个“异常”,酒精肝或许来报道了,需重视
- 肝脏|男人50岁后,身体若是发出5个信号,或许是肝病正在“敲门”
- 西安市|详情!西安市新增5例均在隔离管控区发现,治愈出院146例
- 冬瓜|甲状腺结节的“天敌”终于被发现了,空闲时吃点,结节可能得缓解
- 人员|本土确诊+163,在这些地方!深圳首次发现奥密克戎病例,为一起新的独立疫情
- 孙乐琪|北京疾控:未发现海淀病例与各类风险人群有轨迹重合
- 肝脏|寿命长短,走路先知?走路有什么样的表现,寿命会比较长?
- 阳性|西安新增5例!在哪儿发现的→
