覆膜|西安交大一附院肾脏内科实施陕西省首例超声引导下透析通路支架植入术
通讯作者:西安交大一附院肾内科 宁婷
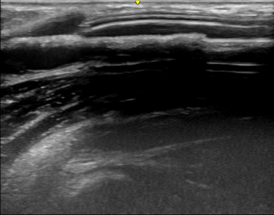
近日 , 西安交通大学第一附属医院肾脏内科透析通路团队为一位人工血管内瘘狭窄的患者成功实施了超声引导下覆膜支架植入术 , 这是陕西省首例在超声下进行的此类手术 , 标志着西安交大一附院透析通路介入治疗技术的又一次提升 。 患者为男性 , 55岁 , 诊断为慢性肾炎 , 慢性肾功能衰竭 , 使用左前臂人工血管内瘘规律透析1年 。 该患者此前因为人工血管内瘘狭窄曾接受两次经皮静脉球囊扩张术(PTA) , 但术后狭窄很快复发 , 对于这种狭窄容易复发且单纯PTA效果不佳的患者 , 覆膜支架植入术是比较好的解决方法 。 经过充分的术前准备和一个小时的手术 , 肾脏内科杨世峰副主任医师及其团队成功为该患者实施了超声引导下覆膜支架植入术 , 术后患者人工血管内瘘血流恢复通畅 , 透析过程中血流量充足、静脉压正常 , 达到了较好的手术效果 。
血液透析通路是尿毒症患者的“生命线” , 目前尿毒症患者最常用的透析通路是自体动静脉内瘘和人工血管内瘘 。 然而内瘘无法避免的并发症就是狭窄 , 长期高速的血流会引起血管内膜反应性增生 , 导致内瘘管腔狭窄和血流量不足 , 影响透析效果 , 狭窄严重时导致内瘘闭塞、血栓和失功 。 处理动静脉内瘘狭窄最有效的方法就是PTA , 通过血管腔内治疗的方法解除狭窄 , 具有创伤小、恢复快的优点 。 然而部分病例单纯PTA后狭窄容易短时间内复发 , 对于这些病例覆膜支架植入是较好的解决办法 。 传统的支架植入术是在DSA造影下进行 , 而超声引导下介入手术是近几年新兴的技术 , 超声引导具有方便、无辐射损伤 , 无造影剂损害、可显示闭塞病变等优点 , 特别适合动静脉内瘘等外周血管的介入治疗 。
【覆膜|西安交大一附院肾脏内科实施陕西省首例超声引导下透析通路支架植入术】随着近些年尿毒症患者数量的快速增长 , 透析通路的建立和维护工作也日益增多 。 为了满足临床诊疗的需要 , 西安交大一附院肾脏内科进行了专病和专业方向分组 , 成立了包括透析通路组在内的几个亚专业组 。 透析通路组成立后不断开拓新医疗技术 , 2016年率先在陕西省内开展各种超声引导下透析通路的介入治疗 , 包括内瘘狭窄球囊扩张术(PTA)、内瘘腔内取栓术、内瘘球囊扩张促成熟术、内瘘假性动脉瘤封堵修补术等 , 此次超声引导下覆膜支架植入术的开展使肾脏内科的透析通路介入治疗技术进一步完善 , 能更好地用于维护透析患者的透析通路 , 为透析患者的“生命线”保驾护航 。
文章图片
文章图片
文章图片
文章图片
文章图片
- 统一安排|新华全媒+ | 西安首批低风险区域高校学生离校返乡
- 疫情|西安疫情进入收尾阶段 复工复产中你需要牢记这9条!
- 西安市|详情!西安市新增5例均在隔离管控区发现,治愈出院146例
- 社会面|西安累计报告本土确诊病例2044例 已连续6天无社会面病例
- 部位|西安伊美尔塑形:寻寻觅觅酷塑冷冻溶脂瘦身成功
- 阳性|西安新增5例!在哪儿发现的→
- 感染者|陕西1月16日新增新冠肺炎本土确诊病例5例 均在西安
- “60岁后,两不交,三不碰”,怎么理解?若能做到,健康受益
- 新冠肺炎|西安77个封控区降级!西安部分区域核酸检测点速看
- 来源:西安日报...|叮!中国疾控的寒假健康提示来了,家长请查收
