福利|种植牙大咖面对面+超强福利,机不可失,11—12日能省一大笔钱!!!
?扫描或长按二维码
领取种植牙保险金
? 预约热线:8886 5533
预约可享
? 挂号费
?吴博士亲诊费
?一对一方案设计
?拍片检查费
? 手术费
费用全免!
我们在康贝佳等你!
“种植牙能用多久”?
“种植牙到底疼不疼”?
“种植牙有什么优点”?
“种植后会有不适吗”?
“种植牙有没有什么后遗症”?
“我适不适合种植牙”?
想知道的吗?
No.1
9月11—12日 吴高义博士亲诊
9月11—12日
种植牙大咖会诊日
不用排队
即可获得种植专家亲诊
为您提供针对性专属种植方案
文章图片
No.2
以下牙齿问题均可报名
文章图片
No.3
找准专家 享好口福
种植手术对医生资历、经验、技术要求非常高 , 从业时间长 , 成功案例多 , 技术自然就好 。 切莫贪图便宜 , 找一些无经验的医生 , 花小钱 , 种植牙后问题多多 , 维护花大钱 , 伤牙又费钱 。 所以选择医生一定要选择种植经验丰富 , 有医师从业资格证 , 经过专业认证的医生 , 以确保种植牙成功率和种植牙效果 , 一次种植成功 , 减少复诊次数 , 就是最大的省钱 。
文章图片
▲吴博士为患者制定方案
案例分享
姓名:魏阿姨
年龄:61岁
口腔情况:全口牙缺失 , 而且牙槽骨萎缩严重 。
治疗方案:以10颗植体当天完成全口种植修复 , 并当天完成过渡性义齿修复
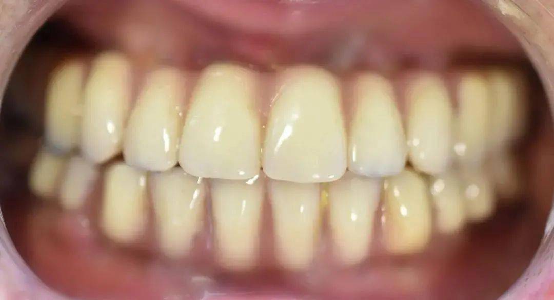
?种植牙前后口内照 , 左侧为戴牙前 , 右侧为戴牙后 。
文章图片
文章图片
?种植牙前后口内数字化影像 , 左侧为种牙前 , 右侧为种牙后 。
文章图片
文章图片
今年才60岁的魏阿姨已经有近二十年的缺牙历史 , 前前后后做过好多次修复治疗 , 不过结果都不尽如人意 。 魏阿姨的女儿经朋友介绍了解到康贝佳口腔有专家亲诊 , 抱着试试看的心态为母亲预约了亲诊名额 。
文章图片
▲吴博士为患者手术中
到院后 , 魏阿姨进行了口腔全景片以及CBCT等全方位口腔检查 , 检查结果显示魏阿姨口内牙齿全部缺失 , 牙槽骨萎缩 , 骨量不足 , 修复难度非常大 。
针对这种情况 , 吴博士根据患者口内各项情况 , 最终制定“即刻种”和“生长因子种植牙技术”方案 。 按照术前制定的位点和角度 , 在上半口植入6颗植体 , 从而增加稳定性;下半口植入4颗植体 , 最终以10颗植体当天完成全口种植修复 , 并当天完成过渡性义齿修复 。
No.4
安心保 放心种
“种植牙安心保”是诺贝尔、士卓曼联合保险公司承保 , 享有3000-5000元保险金 。 同时 , Nobel、Straumann、ITI、Hiossen、Osstem、Dentum等国际种植厂商 , 还面向大连市民发放总额高达百万元的专项看牙补贴 , 填补医保空白 , 切实提高广大市民的医疗保障受益水平 。
- 了解更多诊途直播·2022健康年货节详情可查看:多重福利值得期待!诊途直播“健康年货节”...|【年货必备】把虎年口罩戴上,虎运护体,虎笑风生!
- 烤瓷冠|北京冠美口腔满口种植牙大概多少钱?这些事不得不知道
- 救治|省杨村社会福利院与当地5家医院合作 打通服务对象医疗救治“绿色通道”
- 1月12日|市皮肤病防治院“槐荫区关爱老年人健康教育基地公益大讲堂”走进济南市社会福利院
- 红花椒青花椒藤椒洪雅县中保镇平乐藤椒种植基地。|青花椒藤椒是一回事?别混淆了,专家来正名!
- 糖尿病人|这3种植物是天然的“胰岛素”,经常做菜吃,血糖降低血脂不愁
- 3种植物的根茎,都是煲汤的好食材,药食同源作用大,你喝过吗?
- 材料|种植牙集采要来了!“一口牙一套房”将成历史,千亿市场或生变!
- 服务|种植牙暴利时代将结束,口腔行业迎来重大变局
- 山上一种植物,名字很霸气,民间俗称“护肝仙草”,你是否见过?
