体检|年年体检,为什么还得了晚期肺癌?体检有啥用!
有些读者问,为什么有人每年查体,后来还是得了晚期肺癌?
人类文明繁衍至今,经历过很多次烈性疾病的考验,比如鼠疫、天花、疟疾、非典……
有的是找到了特效药,阻止了大批病人死亡,比如利福平、异烟肼等控制了“痨病”;
有的是找到了阻断的方法,找到了特效的疫苗,比如天花;
还有一些疾病,正处在攻克的过程中,前途光明但眼前依然有黑暗,比如:癌症!
人们思考:既然癌症早期可以治愈,晚期大多没有良策,能否做到全部早期发现呢?
慢慢地人们总结出:很多癌症虽然早期没有明显症状,但通过定期健康体检可以及时筛查出来!比如早期胃癌、肝癌、乳腺癌、宫颈癌、肺癌等等。
那么,定期体检就不会得晚期癌症吗?
健康体检就像渔网捞鱼,只能捞大鱼,小鱼可能会漏掉。
相对的,越便宜的体检套餐网眼越大,漏的会更多一点。
举个例子:很多单位的年度体检,肺部会选择胸片而不是胸部CT。
而胸部透视、胸片对早期肺癌的漏诊率很高。

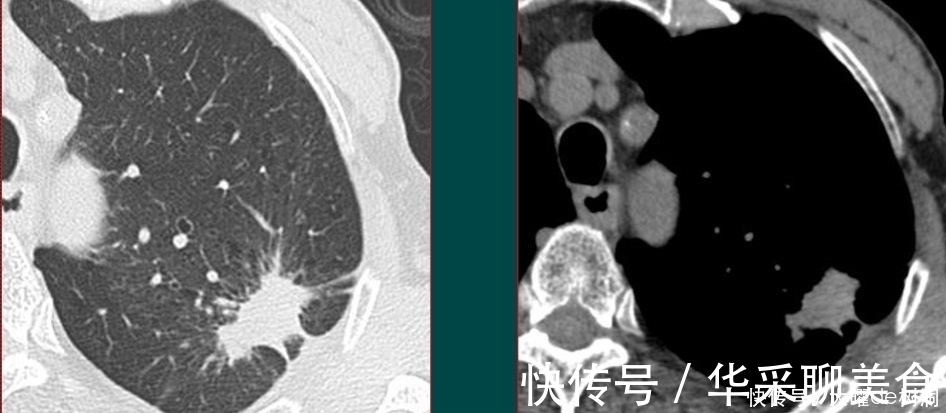
文章插图
像上图这种小肺癌,胸片漏诊率几乎是100%的,但CT可以筛查出来,早期治愈。
再看一个比较遗憾的病人:

文章插图
这位66岁的女士,钡餐体检时意外发现左肺尖高密度影。
这里的病灶常见于肺结核、尘肺等,但必须进一步CT检查除外肺癌。
遗憾的是老太太没有进一步检查,自述年轻的时候曾经经常咳嗽,也许是得过肺结核,自愈了?
结果一年以后,病灶长大了:

文章插图
并且发生了淋巴结转移,不能手术了。
不幸中的庆幸,是现在晚期肺癌也有很多治疗手段,比如化疗、放疗、射频消融术、靶向药物治疗等,可以延长生命。
这位老太太经过一年治疗之后,病灶明显缩小了:

文章插图
晚期肺癌病人生存4、5年以上的有很多,今年遇到两位生存七年以上的,都是通过化疗配合靶向治疗实现的。
期待4、5年以后,能够涌现更多、更有效的靶向药物和免疫制剂。
如果发现肺部病灶,想确定是不是肺癌,该怎么做?
一般来说,各种方式发现了肺部小病灶,首先都应做一个胸部螺旋CT,如果是实性结节,还需要增强扫描观察病灶的血供特点。
胸部CT配合增强扫描,加上肿瘤标志物检测等临床资料,可以明确大部分恶性肿瘤。

文章插图
像这个病灶,混合磨玻璃结节伴有胸膜牵拉,CT就可以明确为肺癌。
而对不典型病灶,可能需要先抗炎治疗后复查,或者进一步穿刺、支气管镜、甚至PET-CT等方法明确。

文章插图
像这位78岁的老爷子,左肺不规则结节,周围有毛刺,伴有胸膜牵拉,高度怀疑肺癌。
但是做了增强扫描发现病灶没有任何强化,提示这是一个结核球,良性。
后来穿刺证实确实是结核性肉芽肿,避免了挨一刀。
(这个病例是豪大夫的师傅,山东肿瘤医院的黄教授提供的)
查到肺结节,医生建议随访观察,会不会错过手术机会?
很多人查到肺结节会非常紧张,担心随访观察结节会长到晚期,耽误治疗。
- 喝牛奶|为什么不建议女性天天喝牛奶?提醒:喝牛奶牢记4点,更营养
- 范可尼|为什么会长白头发?
- 鼻涕|鼻炎为什么难以根治?对于鼻炎,我与它势不两立
- 新的一年全家富贵团圆,多吃3种富贵果,寓意暮暮朝朝岁岁年年
- 经验|张文宏:今年年底可能结束新冠大流行!
- 吃辣|全国痔疮地图发布:不爱吃辣的广东人为什么排第二?
- 为什么胰腺的死亡率如此高?
- 一向热衷于保护自己的肾科普的我最近在Science子刊上看到一项研究该研究称加工食物中的...|真香警告丨为什么越香的的东西越伤肾
- 压力|为什么压力大时会长白头发?这些情况要注意
- 为什么有的男性腿毛旺盛,有的却很光滑?到底哪一种才更加的健康
