大脑|“腔隙性脑梗死”这个临床诊断,可以慢慢作古了
“腔隙性脑梗死”这个临床诊断 , 可以慢慢作古了
作者:邱树卫 黄渤 易昕
来源:医脉通
腔隙(lacune)这个名词 , 早已有之 , 因病理学家尸检发现脑组织上的空洞而命名 。 我们对“腔隙性脑梗死”很熟悉 , 是由于神经病学大家Fisher的卓越贡献 。 1965年 , Fisher首次系统阐述 , 腔隙是脑深部小的梗死灶 , 进而演变为腔隙性脑梗死(简称腔梗)!
腔隙性脑梗死的大行其道
后来 , 腔梗概念被影像学借鉴 , 在CT和MRI报告中广泛使用 。 中老年人头颅CT或MRI检查报告 , 总是少不了腔梗 , 甚至多发腔梗 。 腔梗的概念 , 在影像科大夫中很流行 。
神经病学教材通常将脑梗死分为“动脉粥样硬化型脑梗死、脑栓塞、腔隙性脑梗死与分水岭梗死” , 导致腔梗的概念 , 在神经内科大夫中更是根深蒂固 。
在临床上 , 我们对于中老年的头晕、头昏症状 , 有时也简单以“腔梗”敷衍了事 。 甚至 , 有人会将“腔梗”视作“良性”病变 , 将其当做纯粹生理老化的结果 , 不予重视 。
当下 , 脑小血管病研究如火如荼 , 作为脑小血管病的一员 , 腔梗的地位更进一步夯实 。
腔隙性脑梗死的尴尬地位
然而 , 2013年AHA/ASA发表的《21世纪卒中定义更新》中 , 并没有涉及腔梗定义 , 仅在正文出现两次lacunar[1] 。 2014年AHA/ASA版本与2015年中国版本的缺血性脑卒中和TIA二级预防指南 , 均未提及腔梗 。
这就尴尬了 。 一方面 , 真实世界里腔梗的使用颇为广泛;另一方面 , 针对脑梗死的重要指南中却没有涉及腔梗 。 因此 , 虽然腔梗叫得欢 , 但是指南并未将大动脉病变所致脑梗死与腔梗截然分开 。 或许专家们认为两者的发病机制是一致的 , 均由动脉粥样硬化所致 。
腔隙性脑梗死的挑战
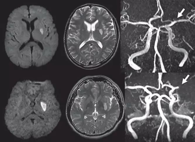
先看图 。 图2上层与下层所示 , 均为左侧基底节区梗死 , 前者最大梗死直径12.7mm , 后者最大梗死直径23.4mm[2](图1) 。 如果仅仅依据病灶大小 , 则前者可能被认定是腔梗 。 实际上 , 两者均为左侧大脑中动脉病变 , 前者狭窄后者闭塞 。

文章图片
图1
按照既往的概念 , 腔隙性梗死是颅内大动脉的深穿支动脉闭塞引起 , 病变部位常位于基底节或脑干白质内 , 病灶大小通常小于15~20 mm 。
这里涉及两个问题:其一 , 腔梗 , 最主要的诊断标准是依据病灶大小 , 也就是病灶直径 , 属于组织学或结构学诊断;其二:颅内外大动脉型病变和心源性栓塞 , 均可能导致腔梗 , 腔梗的病因很难准确界定 , 属于排除性诊断 。
因此 , 不管是尸检还是影像学检查 , 诊断腔梗都是依据梗死病灶大小和部位 。 如果病灶超过15~20mm范围 ,一般便不会诊断为腔梗 , 但是 , 其责任血管依然是可能是深穿支动脉 。 因此 , 依靠病灶直径判定腔梗 , 是时代局限性不得已而为之 , 是有争议的 , 业已受到挑战 。
韩国Kim团队早在2007年就发表文章 , 对以15mm大小作为腔隙性脑梗死诊断提出疑问[2] 。 图1所示脑梗死正是文中配图 , 直观显示病灶大小不能确定梗死类型 。
研究共纳入118例患者 , 入组标准是发病72h内的大脑中动脉供血区的深部皮层下梗死 。 依据病因分为:大脑中动脉病变(MCAD)、颈内动脉病变(ICAD)、心源性栓塞(CE)与小血管病变(SVD) , SVD进一步分为明确的SVD(dSVD)与可能的SVD(pSVD) 。
结果显示 , 临床特征与危险因素在大脑中动脉病变(MCAD)与小血管病变(SVD)两组间 , 没有统计学差异 。 更重要的是 , 在梗死灶直径比较上 , 最大的是心源性栓塞(CE) , 依次为ICAD>pSVD>MCAD>dSVD(图2) 。 MCAD直径大于dSVD , 但与SVD比较 , 没有统计学差异;而且 , 可能的SVD(pSVD)直径显著大于MCAD(图2) 。
- 红豆|四九寒天,少吃大鱼大肉,多吃这6种“根菜”,补足营养健康过年
- 口味|给孩子做个“快手菜” 营养丰富,口味独特,提高身体的免疫力
- 潜伏在我们身边的这3种“致癌”蔬菜,看完你还敢继续吃吗?
- 穆罕默德|伊朗首次通报“奥密克戎”感染者死亡病例
- 鲁南制药集团|菏泽医学专科学校“鲁南制药产业学院”揭牌
- 进行|尿毒症多半是“吃”出来的?3种食物尽量少碰,肾或许“感谢”你
- 生活|提醒:肝病多数是“拖”出来的,出现6种表现,最好查一下肝功
- 羊肉|羊肉到底是“致癌杀手”还是“营养佳品”呢?世卫组织揭晓答案
- 心脑血管|大荔中医医院脾胃肺病科“妙手回春”受到患者的称赞
- 心血管疾病|这个病还是“夫妻病”,你知道吗?
