肾脏|从高血压到尿毒症,高血压“三不”现象,但高血压时刻重视你
高血压患者普遍存在“三不”现象 , 即不长期规律服药、不坚持测量血压、不重视非药物治疗 。 但高血压时刻重视着你 , 从高血压到尿毒症 , 过程漫长、无声无息 , 当来临时 , 再去改变就晚矣 。 #打败高血压#
一个很奇怪的现象 , 很多人在退休后 , 不久就出现健康问题 , 可能是年龄的问题 , 或者其他原因 。 发生在身边的事 , 退休的一名非临床职工 , 前几天因咳嗽、气喘来找看病 , 原因是“肺炎”经门诊输液几天没好转 , 接诊后还特别告诉我 , “现在没有尿了 , 靠一星期透析3次维持......'' 。 回忆起来 , 退休前貌似听说是患有高血压 , 但并没有见过其体检、就高血压看病、服药之类的情况 , 事情发展的有点意外 , 却又在意料之中......

文章图片
高血压如何改变肾脏
高血压的病理变化本质就是血管改变 , 特别是细、小动脉血管 。 过程为细、小血管痉挛→硬化→脏器病变 。
【肾脏|从高血压到尿毒症,高血压“三不”现象,但高血压时刻重视你】早期的痉挛 , 引起的血压变化特点是血压波动 , 经休息或治疗 , 可恢复血压正常;出现硬化后血压失去波动性 , 需服降压药维持;因血压引起的脏器病变则属后期 。
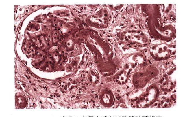
肾的入球动脉是细动脉玻璃样变最易累及的地方之一 。 由于细动脉的长期痉挛 , 及血管内皮细胞受高血压刺激 , 易致细动脉管壁增厚 , 管腔缩小甚至闭塞 。 这是病理改变经过 。

文章图片
早期是否有症状 , 如何发现?
人体肾脏有两个 , 储备性及代偿性很强大 , 早期一般不出现肾功能改变 。 当病变的肾单位越来越多 , 进入晚期 , 肾血流量逐渐减少 , 肾小球的滤过率逐渐降低 , 就会出现水肿、蛋白尿和肾病综合征 , 甚至尿毒症 。
肾小球可以被看做是一个毛细血管球 。 发生病变的因缺血而萎缩 , 一些病变相对较轻的肾小球会代偿性肥大 , 肾小管也代偿性扩张 。 结果:肾脏缩小、质地变硬 , 肾表面凹凸不平 , 如下图 。 但这时发现并非早期了 。

文章图片
慢性肾衰竭早期发现很困难 , 且有隐匿性 , 看肾功能减退的分期 , 4期
I期:肾储备能力下降期
假设肾功能正常时 , 肾小球的滤过率(GFR)为100% 。 此期GFR减少至正常的约50%~80% , 但血肌酐正常 , 身体无症状 。
II期:氮质血症期
为早期肾衰竭 , GFR减少至正常的约25%~50% , 出现氮质血症 , 血肌酐高于正常 , 但<450umol/L 。 此期也可无明显症状 , 可有轻度贫血、多尿和夜尿 。
III期:肾衰竭期
GFR减少至正常的约10%~25% , 血肌酐显著升高(约为450~707umol/L) , 贫血较明显 , 夜尿增多及血中钠、钾、氯、钙等电解质失调 , 可有恶心、呕吐、腹泻等消化道症状 , 或心血管和神经系统症状 。
IV期:尿毒症期
为肾衰晚期 , GFR减少至正常10%以下 , 血肌酐>707umol/L , 肾衰症状及血生化指标异常十分显著 。

文章图片
最后 , 高血压其实不可怕 , 存在“三不”现象及侥幸心理才可怕 。 假设高血压是敌人 , 作为敌对关系 , 存在藐视心理及行为 , 败的也理所当然 。 防治的重点应是纠正“三不”现象 , 及早干预 , 才是正道 。
- 一喝水,尿就多,是代表肾脏好还是不好?听听医生的分析
- 克星|颈椎病的克星:聊聊颈椎那些事,让颈椎病从此和你说拜拜!
- 肾脏|年轻人惹上肾衰竭,可能这3件事是“祸端”,早知道早受益
- 降血压|高血压患者,经常做这4个运动,或有助于控制血压,不妨试试
- 饮食|患有慢性肾炎,饮食要牢记这4点,以免增加肾脏负担,需了解
- 高血压|花生是高血压恶化的“助推器”?医生提醒:1种水果要忌口,以免心梗“上门”
- 肾脏|尿蛋白4+、严重水肿,如何稳住不加重?消肿降蛋白药要注意三点
- 进行|肾脏病症状有“5字决”,哪些人是高危人群?常见治疗有7类用药
- 肾脏|一天中,男性排尿如果接近“这个数”或为正常值,看看你符合吗?
- 疫情防控,从“心”开始!天津市心理援助热线增席接听您的来电
