医生|肺癌一查就是晚期其实双腿早就给了信号,只是大多数人都忽视了
44岁男子咳嗽多日无好转,前往医院就诊发现肺部肿瘤!44岁的刘先生是一名建筑工人,平时经常接触灰尘也不爱戴防护面具,再加上有多年的吸烟史,刘先生的肺部一直不是很好,经常支气管发炎,平时也是动不动就咳嗽。但是刘先生对于这种情况并没有当回事。最近,刘先生得了一场感冒,导致咳嗽加剧,后来自行服药后感冒痊愈了,咳嗽却久治不愈,甚至越来越厉害,刘先生又去药店买了咳嗽药,吃了一周也没效果,后来刘先生甚至直接咳出了血丝,最终刘先生在工友的陪同下前往医院就诊。

文章插图
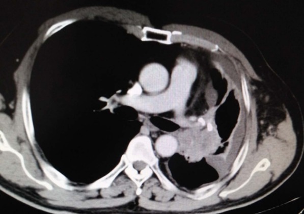
到了医院后,医生给刘先生进行简单的查体,并开了血尿常规和肺部CT的检查,检查结果提示刘先生的肺部出现了大问题。医生:“CT显示两肺之间有很多病灶,肺部淋巴结有肿大的迹象,尤其是左上叶的肺部这个病灶,不排除是肿瘤,我建议你再查一个电子支气管镜来明确病因。”刘先生:“肿瘤?是癌症吗?”医生:“这个不好说,需要看检查结果才能定下来。”刘先生在医生的要求下进行了电子支气管镜的检查。晴天霹雳,检查结果显示肿瘤确诊为肺癌晚期刘先生的检查结果出来后,找到医生进行复诊,医生对着刘先生不禁叹气。医生:“结果不是很理想,基本可以确诊为肺癌。”

文章插图
刘先生:“医生,我这是早期还是晚期?还能治好吗?”医生:“病理报告显示是晚期肺癌,我建议你最好赶紧住院治疗。”医生根据刘先生的情况写下如下病例内容(部分):患者体温36.7℃、血压128/85、身高179cm、体重72kg。肺部CT提示肺部淋巴结肿大,左上叶肺部存在肿瘤,电子支气管镜提示支气管黏膜慢性炎症伴鳞状上皮化生以及局限性癌变。左肺上叶刷片提示存在癌细胞,病理活检显示肺癌晚期。主诉:剧烈咳嗽、咳中带血、胸闷气短、全身乏力。病史:患者具有长期吸烟史,工作环境位于粉尘较多地段并且不配备防尘面具。近日因感冒引发咳嗽加剧,自行服用感冒药治愈感冒后发现咳嗽并未缓解,再次服用咳嗽药物无果,咳中带血后前往医院就诊,目前均已停药。

文章插图
刘先生:“我还有的治吗?您说我还能活多久?”医生:“其实肺癌晚期如果治疗的好,延长寿命是没问题的,你先心理上不要有负担,我们会尽力帮你治疗的。”刘先生:“到底是什么导致我肺癌晚期了?我没觉得平时肺有什么问题啊!”医生:“肺癌一般在早期没有什么症状,所以容易被忽略,你工作的环境粉尘多,你还不戴防护面具,导致肺部吸入大量的粉尘,而且你又有多年的抽烟史,这都会在无形中对肺部造成一定的负担,久而久之就会成为肺癌的诱因。”

文章插图
为何肺癌一查就是晚期?医生:其实双腿早就给了信号,只是大多数人都忽视了刘先生:“那就是说肺癌等有了症状就一定是晚期了?”医生:“也并不是,其实肺癌在刚发生的时候也给我们一些身体上面的提示,只不过大家都会习惯性的忽略掉。直到有比较明显的症状时才会想到检查,一般到那个时候都很晚了。”刘先生:“早期有什么症状?我一直感觉自己比较健康啊。”医生:“症状都是比较轻微的,要说比较明显的,就当属双腿给的提示了,平时如果你没有关节炎的情况下,双腿的骨关节处有明显的灼烧疼痛感,而且还出现了不明原因的水肿现象,除了双腿,所有的关节处都可能出现这种情况,但是疼痛感与一般的关节炎又有细微的差别,尤其是比较反复,自己好了以后又会不明原因继续疼痛,那么很可能就是身体在发出信号,说明癌细胞在攻击你的免疫系统,一定要引起重视。”刘先生:“你这么一说还真是,我之前确实有过这种情况,但是休息过后就好点儿,所以没有当回事。”医生:“这是大部分人的通病,毕竟不是什么明显的症状,另外还有在肺癌来临时,你可能会反复没有原因的发烧,甚至胸口喘不上起来,这说明肺部已经出现肿瘤等物体在压迫血管,导致血流不畅,引发这种情况发生,一般自行吃过退烧药后又会有所缓解,不过总是反复。除此之外,患者还可能表现的干咳比较严重,但是并没有痰,咳嗽进一步加剧的过程中还会出现咳血的情况,一般要是发展到这个阶段,病情已经比较严重了,需要及时就医。”
- 卫生室|《乡村医生诊疗口袋书(先行本)》面世
- 温阳|医生使用这种儿童禁用药致患儿过敏死亡,被判赔偿34万丨医法汇
- 肠镜|肠镜选无痛好还是普通好?二者有何区别?不妨听听医生的分析!
- 需求|预约诊疗 | 齐齐哈尔市中医医院1月17日—1月23日医生出诊一览表
- 一喝水,尿就多,是代表肾脏好还是不好?听听医生的分析
- 问题|常年抽烟没异常,戒烟后却浑身难受,怎么回事?医生说出了原因!
- 失眠者|长期失眠等于慢性自杀!医生建议:6种食物多吃点,帮你找回睡意
- 伯伯|“ 等我长大了,也要当像您一样的医生 ”
- 廉东波|《健谈》观点丨浅表性胃炎三五年复查一次 萎缩性胃炎一年一查
- 风险|临床医生说科普丨如何区别乳腺增生和乳腺癌
