抢救|一女子突然倒地昏厥,“大白”跪地抢救……严寒心脏该如何保养?
有这样一群人 ,
一旦有人呼救 ,
他们会果断放下手里的活 ,
义无反顾地前往救人 。
11月6日上午 , 正是哈尔滨市香坊区铁东街道全民采集核酸的时间 , 一名50岁左右的女子突然倒地 , 丧失意识 。
文章图片
为女子持续实施心外按压的 , 是黑龙江省医院泌尿外科护士伊昕昕 。
哈工大附属黑龙江省医院泌尿外科 护士 伊昕昕
作为医务人员本能第一反应必须立即抢救 , 呼叫无应答 , 摸动脉 , 动脉搏动触及不到 , 然后就立即给予心肺复苏 。
这是心源性猝死的表现 。 护士伊昕昕当时正在采集核酸 , 她穿着厚厚的防护服 , 俯下身子一遍遍地为女子按压 , 前后持续了20分钟 。 别看这个动作简单 , 实际上相当耗费体力 。
文章图片
【抢救|一女子突然倒地昏厥,“大白”跪地抢救……严寒心脏该如何保养?】哈工大附属黑龙江省医院泌尿外科 护士 伊昕昕
在医院里的话 , 心肺复苏可能三分钟就要更换一个人 , 里面衣服都湿透 , 粘在身上了 , 一度就恢复自主呼吸了 , 后来就持续给予心肺复苏 , 但是她一直就没有意识 。
伊昕昕一直坚持到120救护车赶到 。 由于防护服透气性差 , 再加上持续跪地按压 , 导致她大量出汗 , 最后几乎陷入虚脱状态 。
文章图片
哈工大附属黑龙江省医院泌尿外科 护士 伊昕昕
作为医务人员 , 我们希望每一个抢救都能是成功的 。
还是非常遗憾 , 女子没能再次苏醒、生命体征消失 。
什么叫心源性猝死 , 这个疾病到底有多大威力 , 与我们看似健康的人到底有多远?
文章图片
哈医大二院心内科主任医师 副教授 韩志刚
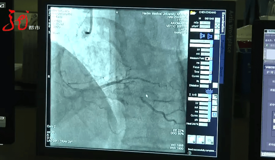
这处病变在我们判断 , 接近90%的狭窄 , 如果不及时治疗 , 它会引起病人的不适 , 引起心脏缺血 , 引起心绞痛 , 那么这时候就会导致心肌梗死 。
文章图片
这名患者心脏后降支血管堵塞90% , 也就是心梗 。 哈医大二院心内科韩志刚医生分析 , 如果任由病灶发展 , 后果将无法估量 。
哈医大二院心内科主任医师 副教授 韩志刚
中等大小的血管如果突然闭掉的话 , 那么很有可能导致的就不光是心肌梗死 , 可能导致他会突然心跳骤停 , 如果抢救不及时 , 就会引起心源性猝死 。
我国每年约有50多万人发生猝死 , 是世界心源性猝死人数最多的国家 。
哈医大二院心内科主任医师 副教授 韩志刚
每延误一分钟 , 生存的机会下降10% , 也就是说这个病人在 , 发生5分钟之后如果被发现 , 开始被抢救 , 那么他即便是在院里 , 抢救措施比较充分的条件之下 , 恐怕存活的概率也只有50% 。
气候变化 , 对心血管疾病发展有着很大的影响 。 入冬后 , 尤其是降雪降温后 , 心内科的患者急剧增加 。
哈医大二院心内科主任医师 副教授 韩志刚
气候因素会引起血管收缩 , 交感神经兴奋 , 血管的敏感性 , 易激惹性也增加 , 所以说非常容易发生心脏事件 。
心血管疾病是黑龙江省的第一高发病 , 发病死亡率占到总死亡率的52% 。 冬季到来 , 一定要保护好我们的心脏 。 首先注意保暖 , 二要合理膳食 , 过油、过咸的食物尽量少吃 。 最重要的就是 , 重视心脏发出的各种求助信号 。
- 排毒|想长寿要会吃,三种蔬菜,常吃清理肠胃,排毒润肠,不妨一试
- 收发|一图读懂 | 科学收取快递 做好健康防护
- 健康生活 薯条一个月最多吃两次
- 生活|提醒:肝病多数是“拖”出来的,出现6种表现,最好查一下肝功
- 入冬后,孩子最爱的一道美食,色泽艳丽,软糯爽嫩,越吃越想吃!
- 公司|罗欣药业:子公司注射用美罗培南通过仿制药一致性评价
- 公共场所|春节临近,这些事一定要牢记!
- 需求|预约诊疗 | 齐齐哈尔市中医医院1月17日—1月23日医生出诊一览表
- 跑步有效延长寿命,但是晨跑和夜跑哪一个好?这才是最佳时间
- 晚餐与寿命有关吗?怎么吃、吃多少,今天一次性说清楚
