检查|【新闻快递】呼吸重症监护室成功开展两例危重症患者“床旁超声引导下经皮肺穿刺组织活检术”
随着危重症医学的迅速发展 , 重症患者床旁超声引导下经皮肺穿刺组织活检术(PTLB)的运用日益受到专科医师关注 。
【检查|【新闻快递】呼吸重症监护室成功开展两例危重症患者“床旁超声引导下经皮肺穿刺组织活检术”】近日 , 新疆医科大学附属中医医院(自治区中医医院)呼吸重症监护 室成功开展两例危重症患者“床旁超声引导下经皮肺穿刺组织活检术” , 为肺部病变及重症感染的诊断提供新的方法, 在新疆危重症微创超声介入检查领域开创了先例 。
病例一
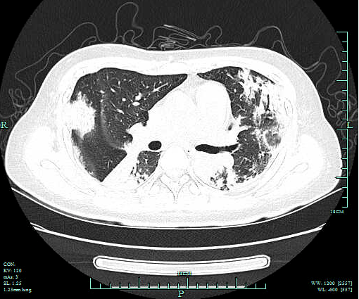
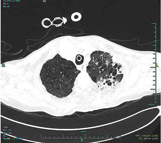
患者吴磊(化名) , 男 , 80岁 , 由于咳嗽、咳痰1周 , 加重并发热3天收住我院呼吸重症监护室 , 胸部CT提示双肺多发渗出实变 , 且患者合并呼吸衰竭 , 病因尚不明确 。 入院立即予以气管插管辅助机械通气、积极抗感染、利尿、呼吸支持等 , 症状未见明显改善 , 为患者实施胸水脱落细胞学检查提示:发现异形细胞 , 高度怀疑肿瘤 。
因患者病情危重 , 出科检查及进行有创操作的风险极高 , 为进一步明确诊断 , 医师与家属协商后在床旁 超声下行“超声定位引导下左肺穿刺活检术” 。
文章图片
文章图片
整个过程实时动态观察 , 操作流畅 , 医师配合默契 , 顺利获取组织 , 患者无不适反应 , 操作过程全程心电监测 。 活检标本送病理科 , 随访病理诊断:肺穿刺活检组织——浸润性腺癌(低分化) 。
文章图片
文章图片
文章图片
文章图片
文章图片
病例二
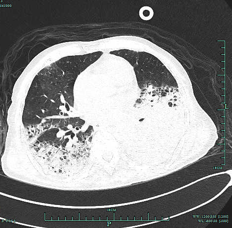
李琴(化名) , 女 , 47岁 , 因间断发热10天 , 胸闷、气喘加重1天收 住我院呼吸重症监护室 。 入院肺部CT提示两肺上叶、下叶背段多发感染 , 左肺下叶少许间质纤维化伴间质性炎症 , 两侧胸腔积液 。 入院予以无创辅助通气(高流量氧支持) ,积极抗感染、补液、纠正内环境等对症支持治疗 , 效果欠佳 , 在院期间完善痰、尿、便检验及院外肺泡灌洗液NGS , 均未寻找到可靠病原学依据来指导临床 。鉴于患者病情危重 , 治疗效果不理想 , 感染病因难以明确 , 预后较差 , 经 家属同意 , 医师在床旁行“超声定位引导下右肺穿刺活检术” , 后期 随访病理诊断:机化性肺炎 。 后经系统治疗患者临床症状改善 , 好转出院 。
文章图片
文章图片
文章图片
诊断优势
重症监护室伴有肺部病变的危重症患者多属病情危重且错综复杂 , 传统的检验及检查往往不能够明确诊断 , 此种情况下 , 在床旁实时超声引导下经皮肺穿刺活检术 , 穿刺过程全程可视 , 超声实时引导进针、切割 , 不仅减少进针时间 , 还能区别肿块、不张和炎症 , 避免损伤重要的结构及反复穿刺而导致并发症的发生 。 PTLB安全、微创、有效的优势值得在危重症医学领域应用推广 。
- 疫苗|【992 | 速看】传播能力有所增强!有关奥密克戎变异株,最新解答来了!
- 血压|主动脉夹层可夺命?这五类人是高危人群,需高度重视
- 肺炎|遵义120教你肺炎伴胸膜炎怎么办
- 新闻|天津本轮本土疫情已报告294+22例
- 公司|罗欣药业:子公司注射用美罗培南通过仿制药一致性评价
- 相关|【中国实用外科杂志】肥胖代谢病合并甲状腺癌外科治疗中国专家共识(2021版)
- 范可尼|为什么会长白头发?
- 常崇旺|【视频回放】脑瘫患者常用外科术式及适应症
- 深圳|广东新增本土确诊病例9例:深圳2例、珠海5例、中山1例、梅州1例
- 痛风也可吃火锅 但注意少吃肉食
