肾上腺|益阳市中心医院成功实施全市首例肾上腺静脉采血
2021年11月17日 , 内分泌科与放射科跨学科合作 , 在湘雅二医院罗建光教授指导下 , 成功实施了益阳市第一例肾上腺静脉采血(后简称AVS) , 为一例原发性醛固酮增多症患者实施了精准诊治 , 使患者血压、血钾平稳 , 安全出院 。
吕阿姨患有高血压20多年了 , 起病时血压达200/100mmHg , 先后使用多种降压药物效果均欠佳 , 血压波动大困扰她多年 , 辗转多个医院求医 。
2021年11月 , 吕阿姨因为乏力3天入住益阳市中心医院内分泌科 , 入院查血钾3.14mmol/l 。
文章图片
彭韦霞、钟雅琴带领的内分泌科二病区团队 , 综合分析病情 , 考虑吕阿姨早发高血压 , 血压难以控制 , 且伴有低血钾 , 故考虑继发性高血压可能性大 。
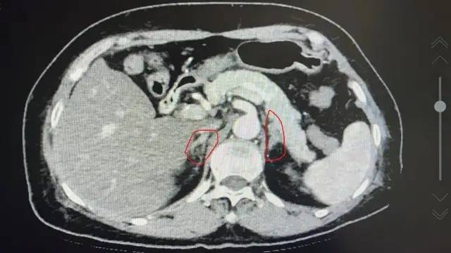
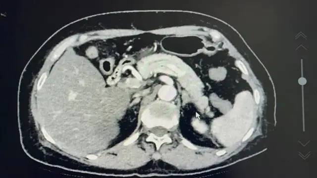
在完善一系列继发性高血压的相关检查后 , 原发性醛固酮增多症诊断明确 , 肾上腺增强CT显示 , 双侧肾上腺增厚 , 左侧肾上腺腺瘤 。
文章图片
原发性醛固酮增多症手术治愈率达30%-60% 。
但是 , 在缺乏功能分型诊断证据的情况下 , 仅依据影像学图像进行肾上腺切除手术 , 可能错误切除非优势侧肾上腺;部分患者亦因无法判断功能优势侧而失去手术治愈高血压的机会 。
与患者沟通病情后 , 患者要求手术治疗根治高血压 。
【肾上腺|益阳市中心医院成功实施全市首例肾上腺静脉采血】只有经肾上腺静脉采血(AVS)确定醛固酮是单侧优势分泌后 , 在腹腔镜下行肾上腺切除术才更有保障 。
文章图片
肾上腺静脉采血是运用导管穿刺静脉选择性插入肾上腺静脉后采集血样 , 检测某些指标判断生理、病理学改变的一种介入检查方法 , 主要用于鉴别原发性醛固酮增多症的病因 。
目前中国原发性醛固酮增多症诊疗的专家共识均推荐AVS作为原发性醛固酮增多症功能分型诊断的金标准 。
文章图片
尽管如此 , 因为AVS技术难度大、风险高、结果解读困难 , 所以在国内没有得到大范围普及 , 目前湖南省地市级医院很少开展 。
以前接诊类似患者 , 只能建议他们到省级大医院去做肾上腺静脉采血明确醛固酮的优势分泌侧 , 评估手术指征 , 确保手术效果 。
患者辗转多个医院 , 既不方便 , 经济负担也重 。
现在 , AVS技术在益阳市中心医院的顺利开展 , 标志着医院继发性高血压的诊治水平上升到一个新台阶 , 让更多的高血压患者在家门口就能享受到高水平的精准医疗服务 , 提升了老百姓就医体验 。
(编辑Rainbow 。)
湖南医聊特约作者:益阳市中心医院 朱婷 邓文旭 彭韦霞
关注@湖南医聊 , 获取更多健康科普资讯!
- 长春市中心医院|中医专家支招:哪些原因会导致腿抽筋?小腿抽筋咋缓解
- 永康|金华市中心医院援永医疗队凯旋
- 中心血站|湘潭市中心血站2021年献血者及直系亲属临床用血费用报销(含“医院直免”)情况公示
- 接种|益阳市新冠肺炎疫情防控温馨提示
- 肾上腺素|高血压的祸根找到了,少吃2黄,做好3事,血压稳定不上升
- 汇报比赛|日照市中心医院“一科一品”优质护理案例汇报比赛顺利举办
- 杨明施|重症诊疗再上新台阶 “湘雅名医杨明施教授工作室”落户市中心医院
- 病室|娄底市中心医院关节镜技术助力肩袖损伤患者康复
- 益阳日报·大益阳客户端讯(记者 江怀远 通讯员 易政研)1月12日|瞿海:提升农业科技水平 促推益阳乡村振兴
- 信阳市中心医院神经外科成功救治一颅内大量出血的耄耋老人
