实质|沟槽区胰腺炎丨临床及影像表现
沟槽区胰腺炎丨临床及影像表现
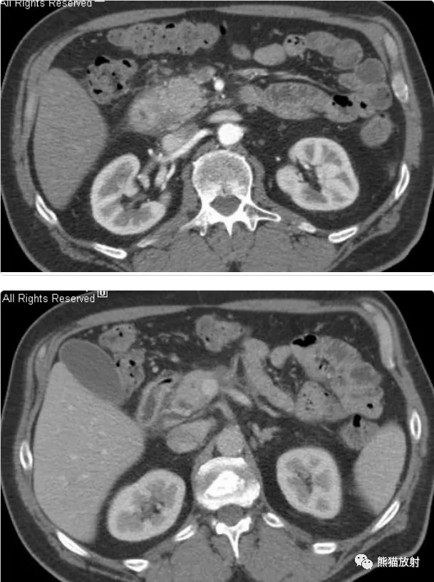
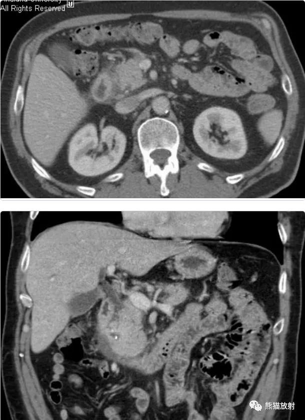
病例及相关资料展示:
男 , 60岁 , 腹痛、乏力、体重减轻 。 CA19-9正常 。
行上腹部CT增强(动脉期、实质期、冠状MPR)

文章图片

文章图片
影像表现:
- 胰头略饱满 , 胰腺实质密度尚均匀;
- 胰十二指肠沟区域间隙浑浊 , 可见等低密度灶 , 不均质轻中度强化;
- 邻近十二指肠壁略增厚 , 强化较明显;
- 主胰管无扩张 , 胆总管略窄;
- 周围未见明显肿大淋巴结 。
?? 沟槽状胰腺炎(沟槽区胰腺炎)
Groove pancreatitis

文章图片
沟槽区胰腺炎(GP)
是一种临床少见特殊类型的局限性慢性胰腺炎 , 以发生于十二指肠降部、胆总管下段和胰头背部之间的沟槽区而命名 , 该潜在解剖间隙内有淋巴组织和血管走行 , 炎性或肿瘤性病变均可以发生于该区域 , 病变可累及邻近结构 。
沟槽区指胰头、十二指肠降部、胆总管下端、胰管及副胰管等结构共同组成的特殊解剖区域 , 又称为胆胰十二指肠区域 , 该区域发生局限性胰腺炎可导致十二指肠降部肠壁增厚、囊变甚至肿块形成 。
本病多好发于40~50岁男性 , 常有长期饮酒史 , 病程可持续数周或数年 。
实验室检查:血浆胰酶(淀粉酶、脂肪酶、蛋白酶)或尿淀粉酶可有轻度升高 , 肝功能和血清肿瘤指标(如CEA、CA19-9、CA50)等通常无明显异常 。
常见CT表现:
- 分型: 根据是否累及胰腺背侧实质分为单纯型和节段型两种类型 。 单纯型GP是指病变只局限在沟槽区域 , 胰头部实质未受影响 , 而节段型GP则是沟槽区和胰头部同时有受累及 。
- 沟槽区病变: 等低密度 , 十二 指肠壁内和/或肠壁与胰头间隙的囊肿 , 病变区域瘢痕组织的渐进性强化 。
- 十二指肠降部 壁 明显增厚 , 伴随黏膜结构完整, 多数为弥漫性环状水肿 , 少部分为局部管壁增厚 , 壁内可出现囊性变 。
- 胆总管和胰管 可在病变处较长范围的渐进性狭窄 , 上游轻度扩张 。
- 周边淋巴结肿大为慢性炎性改变 , 无特异性 。
- 邻近胃十二指肠动脉一般受压推移 , 但血管较完整 , 没有血栓形成及管壁浸润等改变 。

文章图片
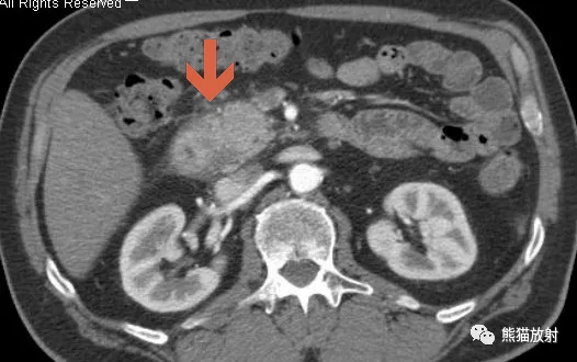
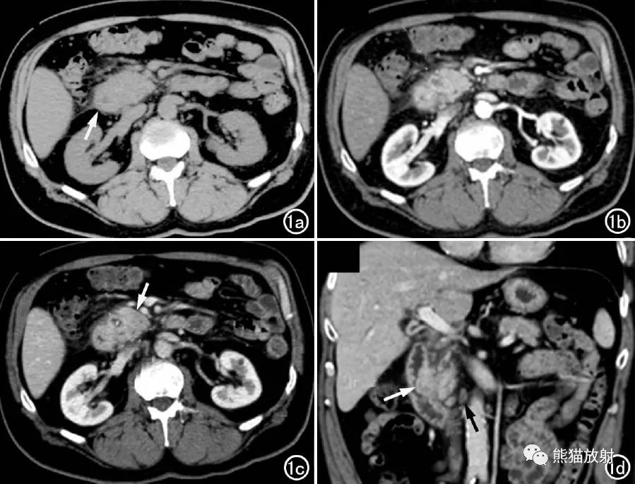
男 , 64岁 , 沟槽区慢性胰腺炎(单纯型) 。
a)CT平扫示胰头与十二指肠降部的间隙内有软组织密度灶(箭) , 边界欠清 , 周围脂肪间隙模糊、渗出;b)增强扫描动脉期显示沟槽区病灶内有囊变区 , 周围实性病灶呈不均匀强化;c)增强扫描实质期 , 显示沟槽区病灶呈渐进性延迟强化 , 中心相对低密度区缩小 。 胰头实质呈均匀强化(箭) , 边缘清;d)增强实质期冠状面重组图像 , 显示十二指肠降部副胰管区肠壁不均匀增厚(白箭) , 其内可见低密度囊变区 , 十二指肠降部呈偏心性狭窄 , 胰周多发肿大淋巴结(黑箭) 。

文章图片
图2 男 , 66岁 , 弥漫型GP 。 CT增强扫描实质期示十二指肠降部管壁环形增厚(长箭) , 胃十二指肠动脉受推移(短箭) 。
图3 男 , 73岁 , 节段型GP 。 CT增强扫描实质期示胰头部囊性病灶(长箭) , 伴有沟槽区积液(短箭) , 胆囊炎、胆囊呈香蕉状形态(*) 。
- 科普|健康科普 | 逢年过节不得不防:急性胰腺炎!
- 胰腺炎|胰腺癌发生后,身体会发出4个提醒,若你有,要及时检查,不能拖
- 梁阿婆|致死率可达50%!喝酒后出现3个症状,可能是胰腺炎,别轻视
- 胰液|平安好医生提醒,警惕急性胰腺炎
- 胰腺炎|湖北一男子胆囊长满“煤渣”结石:爱吃鸡蛋,喝水较少
- 急性胰腺炎|消化系统出问题了,身体这3个部位会“报警”,早发现早治疗
- 胰腺炎|只顾过嘴瘾,别怪胰腺翻脸
- 【医患故事】主治医生闫斌:成功救治重症胰腺炎合并重度ARDS患者
- 引流管|饮食不节致急性胰腺炎,腹部囊肿大如足球,9岁小朋友如何脱险?
- 症状|急性胰腺炎的症状有哪些?
