实质|沟槽区胰腺炎丨临床及影像表现( 二 )
图4 女 , 60岁 , 节段型GP 。 CT增强扫描实质期示副胰管扩张(箭) , 肝内外胆管扩张 。
图5 男 , 76岁 , GP 。 CT增强扫描实质期示胰腺实质钙化并主胰管扩张(箭) , 肝内外胆管扩张 。
图6 女 , 57岁 , GP 。 增强扫描实质期示胰管钙化(箭) , 胰头区渗出性改变 , 胰周多发淋巴结炎(短箭) 。
图7 男 , 60岁 , GP 。 ERCP示十二指肠降部管壁水肿 , 胆总管下段呈逐渐变细的狭窄(箭) , 胰管呈串珠状改变 。

文章图片
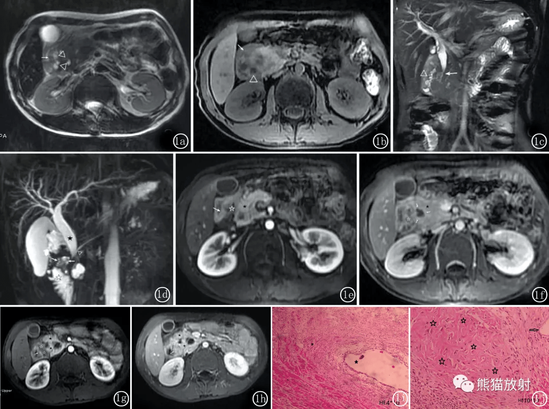
同一患者MRI图像 。
图1a.1 b 横断位T2WI 及T1WI 显示胰头增大并于十二指肠( ↑) 分界不清 , 可见十二指肠内侧多发小囊变 区( △)。
图1c 冠位T2WI 显示囊变( △) 及胆总管胰腺段狭窄( ↑)。
图1d MRCP 清晰显示多发囊变( ↑)。
图1e~1h 不同层面增强动脉期及延时期( 5min) 图像 , 显示完整的十二指肠内侧壁( ↑) 以及沟槽区延时强化的纤维瘢痕( ☆)。
图1f ( ↑) 显示囊壁延时强化 。
图1i ( HE 4 %uD7 10) : 显示肌样组织增生( 白星号) 、扩张的胰腺导管及增生的导管上皮( 黑星号)。 图1j ( HE 10 %uD7 10) : 显示病变内大范围纤维化( 白星号), 及扩张导管( 白箭)
鉴别诊断
- 胰腺癌
- 十二指肠肿瘤
- 胆管癌
↓ 部分内容来源:

文章图片

文章图片

文章图片

文章图片

文章图片
来源:熊猫放射
【版权声明】本平台属公益学习平台 , 转载系出于传递更多学习信息之目的 , 且已标明作者和出处 , 如不希望被传播的老师可与我们联系删除
【实质|沟槽区胰腺炎丨临床及影像表现】【版权声明】本平台属公益学习平台 , 转载系出于传递更多学习信息之目的 , 且已标明作者和出处 , 如不希望被传播的老师可与我们联系删除
- 科普|健康科普 | 逢年过节不得不防:急性胰腺炎!
- 胰腺炎|胰腺癌发生后,身体会发出4个提醒,若你有,要及时检查,不能拖
- 梁阿婆|致死率可达50%!喝酒后出现3个症状,可能是胰腺炎,别轻视
- 胰液|平安好医生提醒,警惕急性胰腺炎
- 胰腺炎|湖北一男子胆囊长满“煤渣”结石:爱吃鸡蛋,喝水较少
- 急性胰腺炎|消化系统出问题了,身体这3个部位会“报警”,早发现早治疗
- 胰腺炎|只顾过嘴瘾,别怪胰腺翻脸
- 【医患故事】主治医生闫斌:成功救治重症胰腺炎合并重度ARDS患者
- 引流管|饮食不节致急性胰腺炎,腹部囊肿大如足球,9岁小朋友如何脱险?
- 症状|急性胰腺炎的症状有哪些?
