近日 , 一名29岁的姑娘被钢筋扎入左眼 , 眼鼻鲜血直流 , 情况非常紧急 , 由于附近医院无法处理 , 当天下午 , 患者被紧急转诊至广西壮族自治区人民医院救治 。
【手术|吓人!广西一女子被13cm钢筋扎入眼眶,眼鼻鲜血直流……】
文章图片
医生连夜实施手术
钢筋被成功取出
医院眼科张九明副主任医师经过检查 , 发现钢筋扎得特别深 , 贯穿了整个左眼眶扎入上颌窦及鼻道中 , 严重破坏了周围的重要神经和血管 , 眼外肌及视神经已显示不清 , 患者的视力仅剩光感 , 必须紧急拔出钢筋抢救眼球 。
眼科立刻召集多学科联合会诊 , 对患者的病情进行了初步研判 , 确定了详细的手术方案 , 并启动手术救治绿色通道 , 连夜为患者实施紧急手术 。
文章图片
文章图片
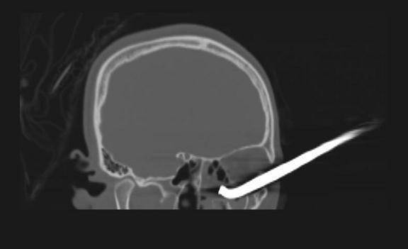
术前CT显示
钢筋贯穿左眼眶
眼眶内解剖结构复杂 , 要在尽可能保护正常组织结构的情况下完成探查并取除钢筋 , 手术难度较大 。
在麻醉科团队的配合下 , 手术由张九明医生主刀 。 在眼眶手术团队成员的协助下 , 一个多小时后 , 一根长约13cm的钢筋被小心翼翼地从患者眼眶拔出 。
紧接着 , 团队立即对钢筋损伤的组织进行修复 , 避免了其他重要神经组织的继发损伤以及大出血等情况发生 。
文章图片
文章图片
术后CT显示
患者眼球结构恢复良好
术后患者恢复良好 , 第二天即可下床活动 。 幸运的是 , 钢筋没有伤及大脑 , 手术中也较好地修复了眼球及其周围组织的完整性 , 患者将在科室接受进一步康复治疗 。
医生提醒
大家在工作的同时要注意眼防护 。 首先要树立安全意识 , 避免眼睛接近尖锐物品、强酸强碱溶液及易爆品 , 同时不要直视阳光、电焊光或有害光线;其次要采取保护措施 , 在工作区作业时要戴上防护眼镜 , 在户外作业时为避免紫外线的伤害要戴护目镜 。
- 甘肃|广西崇左、广东梅州发现核酸阳性人员,甘肃疾控紧急提醒
- 胶质瘤是脑内最常见的恶性肿瘤之一|胶质瘤能治好吗?复发后有必要再次手术吗?医生说了实话
- 检测|广西隆林第一轮全员核酸检测已出结果59726份,均为阴性
- 海绵状血管瘤|一例脑干海绵状血管瘤的手术陷阱
- 手术室冷知识:一台15万的手术,主刀医生能拿多少钱?涨知识了
- 手术|【病例-三叉神经痛】“一颗雷”埋在身上20余年,MVD手术治愈
- 采血量|【本埠】年采血量超14吨!这些血液为汕头市32家医院手术提供保障
- 快讯|广西16日新增本土确诊病例1例
- 全区|广西新增本土确诊病例1例
- 感染者|广西16日新增本土确诊病例1例
