父亲|深圳肿瘤医院推荐广州复大肿瘤医院:肿瘤多次活检才出结果
“我如果当初没有来广州复大治疗,我可能会好不了,我们也可能无缘见面 。 ”初见面时,三病区的患者张先生说了这句话 。
文章图片
咳嗽咳血却查不到恶性肿瘤细胞
来自东北的张先生今年66岁,3年前在做常规体检时便发现右肺多发结节,但检查提示良性,便没有放在心上 。 直到去年5月他开始出现频繁咳嗽、咳痰带血以及低烧,种种症状让张先生意识到自己可能患癌了 。 但他去当地医院检查后,胸片检查却显示“未见明显占位性病变” 。
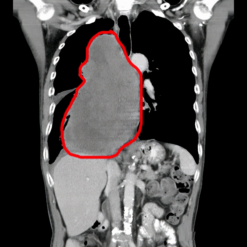
随着咳血症状不断加重,今年1月他再次去医院就诊,其全身 PET-CT显示右肺下叶有巨大混杂密度肿块,结合诸多病史,符合恶性占位,肺癌可能性很大 。 当地医院做了右肺肿瘤经皮穿刺活检、气管镜下右肺肿瘤活检,依旧没有取到恶性肿瘤细胞 。
虽然活检一直没有成功,但是从报告上基本得知自己患上癌症的张先生并没有太大的感觉 。 “我已经得过两次癌症了,这次是第三次了 。 ”原来张先生在22年前便被诊断为结肠癌并接受了右半结肠癌根治术,术后便处于半退休的状态 。 而在3年前他也因直肠癌做了根治术,庆幸的是术后定期复查显示恢复的不错 。 也正因为之前的抗癌经历,让张先生的心理承受能力逐渐强化 。
肿瘤疯长,多次活检才出结果
刚好碰上东北那边疫情严重,处于疫区的张先生哪都不能去,无法就医 。 他的女儿便四处打听哪里治疗肿瘤比较好,准备等疫情缓和后带父亲出来看病 。 最终,他们在今年的3月份来到广州复大肿瘤医院就诊 。
文章图片
张先生与其女儿
入院后,张先生完善相关检查,CT显示其脊柱右侧旁有一大小约14.4×9.7×22.7cm的巨大团块状软组织密度影 。 “耽搁了一个月肿瘤就从7cm长到22.7cm,当时我院医疗一科钱伟主任说我父亲吃不下饭呼吸困难是因为肿瘤太大挤压支气管与食道,如果再晚来个三四天情况会更严重 。 ”
为了控制肿瘤的发展,入院5天后张先生接受了右肺肿瘤穿刺活检和右肺部分肿瘤微波消融术,但因送检的病理标本是大量坏死和细胞碎片,并未能确切肿瘤性病变 。 为了明确诊断,我院再次为张先生实行右肺肿瘤穿刺活检,结果为右肺小细胞肺癌广泛期 。
“医院为我父亲的活检,真的花费很多精力与时间 。 ”张先生的女儿表示,医院坚持不懈地取了5次才取成功 。 令他们父女俩印象最深刻的是,因为取活检的需要,张先生一直趴着,这个姿势维持3个小时,医护人员还细心询问他精神与身子受得受不了 。 “作为医生在此过程中他们其实很耗费精力,但是他们依旧能细心关注患者的情况 。 ”那种责任心与细心让他们父女俩暖心且安心 。
【父亲|深圳肿瘤医院推荐广州复大肿瘤医院:肿瘤多次活检才出结果】介入治疗,肿瘤缩小
明确了病情,该如何治疗呢?小细胞肺癌是所有肺癌类型中较难处理的亚型肿瘤之一,约占整体肺癌发病率的15%-20% 。 与非小细胞肺癌相比,小细胞肺癌生长快、倍增时间短(肿瘤增大一倍的时间为21-30天)、恶性度高、转移快而广泛,很多患者确诊时,已是广泛期,没有手术机会 。
针对张先生的情况,我院介入科杨清峰与钟小军医师分别为他实行了3次介入治疗 。 影像资料显示,张先生肿瘤有所缩小,疗效评价为PR 。 (PR——部分缓解,肿瘤最大直径及最大垂直直径的乘积缩小达50%,其他病变无增大,持续超过1个月 。 )
- 深圳|广东新增本土确诊病例9例:深圳2例、珠海5例、中山1例、梅州1例
- 香港|广州复大肿瘤医院案例966:香港胰腺癌患者赴广州就医重获新生
- 感染者|广东新增本土确诊9例!深圳出现新的独立疫情,系奥密克戎
- 深圳市|最新!深圳报告两例确诊病例
- 人员|本土确诊+163,在这些地方!深圳首次发现奥密克戎病例,为一起新的独立疫情
- 检测|深圳首次发现奥密克戎病例,为一起新的独立疫情
- 早上好!上观新闻『早读』来啦!2022年1月17日 星期一 农历腊月十五上海多云到阴|早读|深圳首次发现奥密克戎独立疫情,涉妇幼保健院
- 罗湖|暂停网上购买!深圳276家药店可售39种感冒退烧类药品
- 相关|最新通告!深圳龙岗区两街道新划定重点区域
- 疫情|深圳首次出现奥密克戎确诊病例,市民如何应对?深疾控提了4点建议
