父亲|深圳肿瘤医院推荐广州复大肿瘤医院:肿瘤多次活检才出结果( 二 )
文章图片
第一次治疗
文章图片
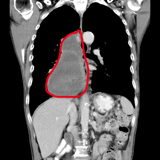
第三次治疗
“介入化疗后,我父亲的肿瘤二十多厘米缩小到现在的十几厘米 。 ”张先生的女儿表示,父亲做介入治疗没有像其他化疗一样出现恶心、呕吐的副作用,而且第一个疗程结束后,回家休养了3天便能下地走路,呼吸也没问题了 。 对比第一次从东北来广州就诊,全程轮椅,咽不下饭,呼吸困难,现在的情况让她很满意 。
专家介绍,介入治疗是属于微创技术,它是利用微导管将几种化疗药物直接注入肿瘤的供血动脉,以提高药物在肿瘤内的浓度;由于是局部用药,所以药物的全身毒副作用小、而且时间短,消化道反应轻;同时还可以通过微导管向肿瘤供血动脉内注入栓塞剂,阻断肿瘤的血液供应,使肿瘤细胞缺血、缺氧死亡,这也被称为“饥饿疗法” 。
文章图片
好医院、好服务、好治疗
入院4次后,张先生直言“住了这家医院,就不想去其他医院了 。 ”他表示自己来是女儿一个人带着坐在轮椅的他坐飞机过来的,当然能顺利到达广州少不了一路上工作人员的帮忙,而能顺利就诊更少不了广州复大直接派专车到机场接送以及提前安排好入院前准备工作,这样的人性化服务让他们少折腾也节省了很多时间 。
不仅如此,在住院期间,医护人员会细心告知他们肺癌会导致如肺炎、感染、气管堵塞等问题并教他们如何预防与处理 。 “在我们看来,广州复大治疗技术精湛有效,还用心服务、照顾患者 。 ”
文章图片
文章图片
张先生父女俩赠予我院的锦旗
随着本次治疗阶段的结束,张先生也要回家休养 。 现在的他,入院是坐着轮椅进来,出院的时候自己拎包走的,一点看不出曾经虚弱的样子 。 他觉得治病除了医生的帮助,自身的调整不可或缺 。 他也开始期待下一次复查带来的新消息 。
- 深圳|广东新增本土确诊病例9例:深圳2例、珠海5例、中山1例、梅州1例
- 香港|广州复大肿瘤医院案例966:香港胰腺癌患者赴广州就医重获新生
- 感染者|广东新增本土确诊9例!深圳出现新的独立疫情,系奥密克戎
- 深圳市|最新!深圳报告两例确诊病例
- 人员|本土确诊+163,在这些地方!深圳首次发现奥密克戎病例,为一起新的独立疫情
- 检测|深圳首次发现奥密克戎病例,为一起新的独立疫情
- 早上好!上观新闻『早读』来啦!2022年1月17日 星期一 农历腊月十五上海多云到阴|早读|深圳首次发现奥密克戎独立疫情,涉妇幼保健院
- 罗湖|暂停网上购买!深圳276家药店可售39种感冒退烧类药品
- 相关|最新通告!深圳龙岗区两街道新划定重点区域
- 疫情|深圳首次出现奥密克戎确诊病例,市民如何应对?深疾控提了4点建议
