筷子|危险!谨防儿童误吸误食
文章图片
如何挑选儿童玩具?这是新手爸爸妈妈们最爱问的一个问题 。 有的育儿专家建议挑选促进孩子身心发育的“益智玩具” , 有的育儿专家会建议挑选无甲醛、无重金属的“绿色玩具” , 结合临床 , 给大家介绍一下儿科医生们常见的三类“急诊玩具” 。
1、最常见的“急诊玩具”——硬币 。
作为名副其实的“吞金兽” , 硬币一直是小朋友们的最爱 , 常年高居儿童呼吸道和消化道异物榜首 。 这主要是因为孩子的咽喉部保护性反射发育不完善 , 当孩子将硬币、坚果、玻璃珠、纽扣电池、玩具零部件等这种体积小 , 且形状圆顿的玩具含在嘴里时 , 孩子的咽喉部不能有效阻挡异物 。 这类异物如果进入呼吸道 , 可引起呼吸困难或反复肺部感染 , 从而出现气促、发热、咳嗽等症状 。 若进入消化道 , 多可自行排出 , 但小部分可停留在消化道狭窄处 , 导致局部粘膜损伤或消化道梗阻 , 甚至破裂穿孔 , 从而出现顽固性恶心、呕吐、胸痛、腹痛、腹胀等症状 。
文章图片
文章图片
2、最危险的“急诊玩具”——磁力珠 。
磁力珠又称巴克球 , 因为带有磁性 , 可根据孩子的想象组合成各种各样的造型 , 有助于开发孩子的创造力和空间思维能力 , 因此曾风靡一时 。 但由于磁力珠色彩鲜艳且形状圆润 , 很多孩子易将其当作糖豆吞下 。 与糖豆不同的是 , 这一颗小小的磁力珠磁力高达4000高斯(国际规定玩具磁力上限为50高斯) 。 这些磁力强大的磁力珠进入消化道后 , 磁力珠之间会相互吸引 , 导致胃肠道贴在一起进而缺血坏死 , 危及患儿生命 。 随着近年来相关医学科普的推广 , 磁力珠已慢慢淡出儿童玩具市场 , 但是仍可在一些益智玩具上看到磁铁的零部件 , 我们门诊、急诊中也会接诊各种把磁铁类零部件误吞下的患儿 , 这需要引起爸爸妈妈们的重视 。
文章图片
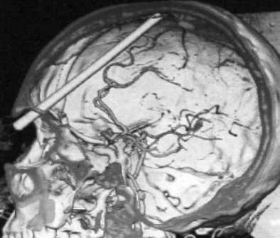
3、最意外的“急诊玩具”——筷子 。
孩子们天生好奇心强 , 只要他们能够到的物品几乎都是他们的玩具 , 筷子作为最常见的生活日用品 , 也成了孩子们经常把玩的玩具之一 。 对于学龄前期的幼童而言 , 由于运动神经发育不完善 , 孩子们走路不稳易跌倒 。 此时 , 如果孩子们把筷子含在嘴里或拿在手里 , 筷子会通过跌倒时的对冲力从孩子脸部最柔软的地方(如眼睛、口腔上颚等)直接插入大脑 , 危及生命安全 。 实际上 , 类似筷子这种看似无害的“急诊玩具”其实还有很多 , 比如裤子上的拉链、玩偶身上的绳子、工具箱里的钳子螺丝等等 。
文章图片
从上述三类“急诊玩具”不难发现 , 它们大多是生活中的日用品 , 严格意义上讲 , 并不能称为玩具 。 但正是这些意料之外的玩具 , 往往成为了家长们的监管盲区 。 所以 , 当我们在讨论该怎么挑选儿童玩具时 , 不能局限于狭义的玩具 , 而应该从孩子的视角出发思考 , 孩子们会将什么东西当作玩具 , 这类玩具在什么情况下是存在安全隐患的 , 这样才能最大程度地将“急诊玩具”拒之门外 , 保护孩子们的安全 。
作者:儿科 万露露
【筷子|危险!谨防儿童误吸误食】
- 过量食肉带来的危险 你知道么
- 双下肢|中国家长最喜欢的兴趣班,却没人提醒你它有多危险!
- 高血压是一种发病几率特别高的基础疾病|高血压患者要留心,4个“危险”的时间段,容易出现脑梗、心梗
- 抑郁症|韩国新冠抑郁症危险人群持续扩大 30多岁人群最严重
- 牙周病|35亿人有24亿人没去看牙医?牙龈出血,为何说是一个危险的信号?
- 引起体臭的5种危险食物
- 高血糖|糖尿病人,有三处地方疼痛,可不能拖延,否则危险
- 精彩生活·快乐健康奥密克戎是‘会咬人’的老人和未成年人危险了最新研究表明|奥密克戎是‘会咬人’的!老人和未成年人危险了,快记下这些要点!
- 专家提醒:染发剂最危险,染发前先注意,喜欢染发朋友赶紧看看
- 同型半胱氨酸|什么样的高血压更危险?容易发生猝死的3种高血压,你知道吗?
