血管|神经血管介入中心联合超声科完成超声引导下凝血酶注射治疗假性动脉瘤
近日 , 神经血管介入中心联合超声科完成了北京老年医院首例超声引导下注射凝血酶治疗假性动脉瘤手术 , 患者恢复良好 , 已康复出院 。
案例分享
患者张大爷 , 因“脑血管狭窄”入院 , 神经血管介入中心主任张志勇为其行脑血管造影及支架置入术 , 患者术后神经系统症状明显改善 , 张大爷非常满意 。
因张大爷长期腰椎间盘突出 , 腰痛明显 , 手术后未严格遵守平卧位及右下肢制动的要求 , 术后第二天出现了右侧股动脉穿刺处假性动脉瘤 , 经过减量抗凝药物、多次在超声科医生引导下局部加压包扎后仍未好转 。
张志勇联系超声科王红春主任及值班医师赵梦婷会诊后 , 决定为患者实施超声引导下经皮穿刺凝血酶注射假性动脉瘤封堵术 。
术中 , 在超声科赵梦婷医生的超声引导下 , 张志勇通过改良的穿刺方式 , 精准地进入假性动脉瘤瘤腔 , 通过超声引导 , 防止凝血酶误注射入股动脉或股静脉 , 经注射凝血酶500单位 , 成功封堵了瘤腔 , 动脉-瘤腔的假性通道被成功封闭 。
经过数日监测 , 患者动脉瘤未再次复发 , 未遗留任何后遗症状 , 康复出院 。
文章图片
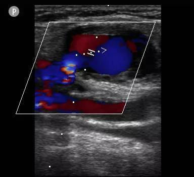
凝血酶注射前:右侧腹股沟区假性动脉瘤形成 , 其内可见红、蓝色血流信号 。
文章图片
凝血酶注射后:右侧腹股沟区假性动脉瘤内血栓形成 , 其内未见血流信号 。
手术细节回顾
患者局部皮下广泛淤血 , 属复杂型假性动脉瘤 , 在超声引导下 , 将穿刺针置于瘤腔中心 , 缓慢注射稀释后的凝血酶 , 注射中动态检测瘤腔内血流信号 , 随着凝血酶注射 , 血流信号逐渐消失 , 假性通道封闭 , 完成凝固治疗 。
术后复查患者疼痛缓解 , 无并发症发生 , 术后多次复查见漏口已完全闭塞 。
了解假性动脉瘤
假性动脉瘤(PSA)是动脉壁部分破裂 , 血液外溢至血管外被局部周围组织纤维包裹形成的囊性搏动性血肿 , 此种病变并非动脉真性扩张所致 , 不是真正的动脉瘤 , 故称为假性动脉瘤(如图) 。
【血管|神经血管介入中心联合超声科完成超声引导下凝血酶注射治疗假性动脉瘤】
文章图片
随着血管介入技术的推广 , 医源性假性动脉瘤越来越常见 , 发生率约 0.3%~8% 。 多数 PSA不能自愈 , 并不断增大而发生并发症 , 最严重的并发症是急性破裂和远端栓塞 , 其次是疼痛、肿胀、瘤腔感染、周围组织压迫至骨筋膜室综合征等 , 因此 , 患者股动脉穿刺术后加压包扎及患肢的严格制动对防止假性动脉瘤形成非常重要 , 及时发现和积极的治疗也是非常重要的 。
目前假性动脉瘤治疗方法主要有三种:
一是保守治疗 , 主要是压迫法 , 对于肥胖病人或者瘤腔较大患者效果差 , 且有皮肤坏死的风险;
二是手术治疗 , 主要是动脉修补或封堵等 , 创伤较大 , 花费多;
三是介入治疗 , 超声引导下凝血酶注射凝固法 , 具有耗时短、创伤小、并发症少、治疗费用低等优点 , 是假性动脉瘤治疗的首选方法 。
北京老年医院神经血管介入中心在不断提高自身医疗技术水平的同时 , 联合院内兄弟科室进行多学科诊疗 , 不断总结 , 持续改进 , 践行“一切以病人为中心 , 竭尽全力为患者解除病痛 , 千方百计改善患者就医体验”的人文关怀医疗理念 , 努力将团队打造成为一支技术过硬、精益求精的“医疗铁军” 。
- 排毒|女性要排毒,推荐多吃4种食物,养护皮肤,祛皱美容,血管更通畅
- 心脑血管|大荔中医医院脾胃肺病科“妙手回春”受到患者的称赞
- 心血管疾病|这个病还是“夫妻病”,你知道吗?
- 治疗|治疗运动神经元的方法有哪些呢?
- 橙子是高血脂的发物吗?滋养血管,牢记“三吃、四不吃”
- 运动神经元患者案例分享
- 清理血管|高血脂的“劲敌”被找到,并非山楂,若你爱吃,血脂或乖乖降下来
- 血管|高血脂的“特效药”被发现,每天吃一点,血管通畅,血脂轻松降
- 补充|血糖的“抑制器”已找到,并非木耳,若你爱吃,血管或洁净如初
- 神经元|吃得不对会“变笨”!饮食做到这几点,大脑更年轻!
